Antibody data
- Antibody Data
- Antigen structure
- References [2]
- Comments [0]
- Validations
- Western blot [2]
- Immunocytochemistry [3]
- Immunohistochemistry [1]
- Flow cytometry [2]
- Other assay [1]
Submit
Validation data
Reference
Comment
Report error
- Product number
- MA5-17041 - Provider product page

- Provider
- Invitrogen Antibodies
- Product name
- CD105 Monoclonal Antibody (3A9)
- Antibody type
- Monoclonal
- Antigen
- Purifed from natural sources
- Description
- MA5-17041 targets CD105 in indirect ELISA, FACS, ICC, IF, IHC, and WB applications and shows reactivity with Human samples. The MA5-17041 immunogen is purified recombinant fragment of human CD105 expressed in E. Coli. MA5-17041 detects CD105 which has a predicted molecular weight of approximately 71kDa.
- Reactivity
- Human
- Host
- Mouse
- Isotype
- IgG
- Antibody clone number
- 3A9
- Vial size
- 100 μL
- Concentration
- Conc. Not Determined
- Storage
- Store at 4°C short term. For long term storage, store at -20°C, avoiding freeze/thaw cycles.
Submitted references A study to identify and characterize the stem/progenitor cell in rabbit meniscus.
Endoglin, VEGF, and its receptors in predicting metastases in endometrial carcinoma.
Huang H, Wang S, Gui J, Shen H
Cytotechnology 2016 Oct;68(5):2083-103
Cytotechnology 2016 Oct;68(5):2083-103
Endoglin, VEGF, and its receptors in predicting metastases in endometrial carcinoma.
Saarelainen SK, Staff S, Peltonen N, Lehtimäki T, Isola J, Kujala PM, Vuento MH, Mäenpää JU
Tumour biology : the journal of the International Society for Oncodevelopmental Biology and Medicine 2014 May;35(5):4651-7
Tumour biology : the journal of the International Society for Oncodevelopmental Biology and Medicine 2014 May;35(5):4651-7
No comments: Submit comment
Supportive validation
- Submitted by
- Invitrogen Antibodies (provider)
- Main image

- Experimental details
- Western blot analysis of CD105/endoglin using CD105/endoglin monoclonal antibody (Product # MA5-17041) in HEK293 (1) and CD105 (AA: 331-567) human IgG Fc transfected HEK293 (2) cell lysate.
- Submitted by
- Invitrogen Antibodies (provider)
- Main image

- Experimental details
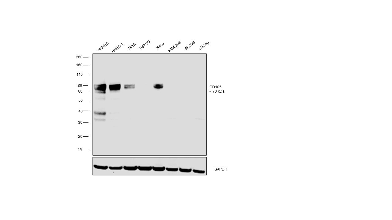
- Western blot was performed using CD105 Monoclonal Antibody (3A9) (Product # MA5-17041) and a ~70 kDa band corresponding to CD105 was observed in HUVEC, HMEC-1, T98G and HeLa, as reported. Whole cell extracts (30 µg lysate) of HUVEC (Lane 1), HMEC-1 (Lane 2), T98G (Lane 3), U-87 MG (Lane 4), HeLa (Lane 5), HEK-293 (Lane 6), SK-O-V3 (Lane 7), LNCaP (Lane 8) were electrophoresed using NuPAGE™ 4-12% Bis-Tris Protein Gel (Product # NP0321BOX), 10 well. Resolved proteins were then transferred onto a nitrocellulose membrane (Product # IB23001) by iBlot® 2 Dry Blotting System (Product # IB21001). The blot was probed with the primary antibody (1:1000) and detected by chemiluminescence with Goat anti-Mouse IgG (H+L) Superclonal™ Recombinant Secondary Antibody, HRP (Product # A28177, 1:20,000) using the iBright™ FL1500 Imaging System (Product # A44115). Chemiluminescent detection was performed using SuperSignal™ West Dura Extended Duration Substrate (Product # 34076).
Supportive validation
- Submitted by
- Invitrogen Antibodies (provider)
- Main image

- Experimental details
- Immunofluorescence analysis of HepG2 cells using CD105/endoglin monoclonal antibody (Product # MA5-17041) (Green). Blue: DRAQ5 fluorescent DNA dye. Red: actin filaments have been labeled with phalloidin.
- Submitted by
- Invitrogen Antibodies (provider)
- Main image

- Experimental details
- Immunofluorescence analysis of HepG2 cells using CD105/endoglin monoclonal antibody (Product # MA5-17041) (Green). Blue: DRAQ5 fluorescent DNA dye. Red: actin filaments have been labeled with phalloidin.
- Submitted by
- Invitrogen Antibodies (provider)
- Main image

- Experimental details
- Immunofluorescence analysis of HepG2 cells using CD105/endoglin monoclonal antibody (Product # MA5-17041) (Green). Blue: DRAQ5 fluorescent DNA dye. Red: actin filaments have been labeled with phalloidin.
Supportive validation
- Submitted by
- Invitrogen Antibodies (provider)
- Main image

- Experimental details
- Immunohistochemical analysis of paraffin-embedded kidney cancer tissues (left) and stomach cancer tissues (right) using CD105/endoglin monoclonal antibody (Product # MA5-17041) followed with DAB staining.
Supportive validation
- Submitted by
- Invitrogen Antibodies (provider)
- Main image

- Experimental details
- Flow cytometric analysis of HepG2 cells using CD105/endoglin monoclonal antibody (Product # MA5-17041) (green) and negative control (purple).
- Submitted by
- Invitrogen Antibodies (provider)
- Main image

- Experimental details
- Flow cytometric analysis of HepG2 cells using CD105/endoglin monoclonal antibody (Product # MA5-17041) (green) and negative control (purple).
Supportive validation
- Submitted by
- Invitrogen Antibodies (provider)
- Main image

- Experimental details
- NULL