Antibody data
- Antibody Data
- Antigen structure
- References [62]
- Comments [0]
- Validations
- Western blot [1]
- Immunoprecipitation [1]
- Immunohistochemistry [2]
Submit
Validation data
Reference
Comment
Report error
- Product number
- 10862-1-AP - Provider product page

- Provider
- Proteintech Group
- Proper citation
- Proteintech Cat#10862-1-AP, RRID:AB_2098906
- Product name
- Endoglin/CD105 antibody
- Antibody type
- Polyclonal
- Description
- Endoglin/CD105 antibody (Cat. #10862-1-AP) is a rabbit polyclonal antibody that shows reactivity with human, mouse, rat and has been validated for the following applications: IHC, IP, WB,ELISA.
- Reactivity
- Human, Mouse, Rat
- Host
- Rabbit
- Conjugate
- Unconjugated
- Isotype
- IgG
- Vial size
- 20ul, 150ul
Submitted references Spatiotemporally programming the immune-osteogenic cascade with a dual-immunomodulatory scaffold for functional bone regeneration.
The impact of mesenchymal stromal cells on the proliferation and functional maturation of liver organoids.
Phase 1 dose-escalation trial of sub-endometrial injection of human embryonic stem cells-derived immunity-and-matrix-regulatory cells to promote endometrial angiogenesis in refractory intrauterine adhesion.
Dopamine-functionalized bioinspired pre-chondrogenic hydrogel for cell-free cartilage regeneration.
PSMA-Targeting Macrophage Membrane-Coated Nanoparticles for Precision Diagnosis and Combination Therapy of Prostate Cancer.
Overexpression of Decorin Optimizes the Treatment Efficacy of Umbilical Cord Mesenchymal Stem Cells in Bleomycin-Induced Pulmonary Fibrosis in Rats.
Air pollutants and adverse pregnancy outcomes: A multi-method integration of Mendelian randomization, meta-analysis, and animal models.
LncRNA uc003pxg.1 Interacts With miR-339-5p Promote Vascular Endothelial Cell Proliferation, Migration and Angiogenesis.
BACH1 deficiency improves placental angiogenesis via SLC25A51-mediated mitochondrial NAD(+) transport in intrahepatic cholestasis of pregnancy.
Dentin sialoprotein acts as an angiogenic factor through association with the membrane receptor endoglin.
Identification and Validation of Circadian Rhythm-Related Genes Involved in Intervertebral Disc Degeneration and Analysis of Immune Cell Infiltration via Machine Learning.
Injectable pH Responsive Conductive Hydrogel for Intelligent Delivery of Metformin and Exosomes to Enhance Cardiac Repair after Myocardial Ischemia-Reperfusion Injury.
CD105 blockade restores osimertinib sensitivity in drug-resistant EGFR-mutant non-small cell lung cancer.
CircSPG21 ameliorates oxidative stress-induced senescence in nucleus pulposus-derived mesenchymal stem cells and mitigates intervertebral disc degeneration through the miR-217/SIRT1 axis and mitophagy.
Thrombin cleaves membrane-bound endoglin potentially contributing to the heterogeneity of circulating endoglin in preeclampsia.
Adipose-derived stem cells using fibrin gel as a scaffold enhances post-hepatectomy liver regeneration.
Machine learning-enabled spatial multi-omics uncovers lactate-driven targets and tumor microenvironmental reprogramming in cancer.
Dentin sialoprotein promotes endothelial differentiation of dental pulp stem cells through DSP(aa34-50)-endoglin-AKT1 axis.
Injectable ECM-mimetic dynamic hydrogels abolish ferroptosis-induced post-discectomy herniation through delivering nucleus pulposus progenitor cell-derived exosomes.
Evaluation of ENG/CD105 expression, methylation, immuno-response, and cordycepin (CD) regulation as a novel biomarker of breast invasive carcinoma (BRCA).
Lyophilizable Stem Cell-Hybrid Liposome with Long-Term Stability and High Targeting Capacity.
Dynamically cultured, differentiated bovine adipose-derived stem cell spheroids as building blocks for biofabricating cultured fat.
Controlled release of hydrogel-encapsulated mesenchymal stem cells-conditioned medium promotes functional liver regeneration after hepatectomy in metabolic dysfunction-associated steatotic liver disease.
Lysate of bovine adipose-derived stem cells accelerates in-vitro development and increases cryotolerance through reduced content of lipid in the in vitro fertilized embryos.
Tobacco toxins trigger bone marrow mesenchymal stem cells aging by inhibiting mitophagy.
Biomaterial Fg/P(LLA-CL) regulates macrophage polarization and recruitment of mesenchymal stem cells after endometrial injury.
Endothelial progenitor cells control remodeling of uterine spiral arteries for the establishment of utero-placental circulation.
Human umbilical cord mesenchymal stem cell-based gene therapy for hemophilia B using scAAV-DJ/8-LP1-hFIXco transduction.
Inhibition of cGAS-STING pathway by stress granules after activation of M2 macrophages by human mesenchymal stem cells against drug induced liver injury.
The ENG/VEGFα Pathway Is Likely Affected by a Nonsense Variant of Endoglin (ENG)/CD105, Causing Hereditary Hemorrhagic Telangiectasia Type 1 (HHT1) in a Chinese Family.
Biological characteristics of Muse cells derived from MenSCs and their application in acute liver injury and intracerebral hemorrhage diseases.
Hydrogel and Microgel Collaboration for Spatiotemporal Delivery of Biofactors to Awaken Nucleus Pulposus-Derived Stem Cells for Endogenous Repair of Disc.
Posterior iliac crest vs. proximal tibia: distinct sources of anti-inflammatory and regenerative cells with comparable 6-month clinical outcomes in treatment of osteoarthritis.
Correlation between Periostin Expression and Pro-Angiogenic Factors in Non-Small-Cell Lung Carcinoma.
Early rhombic lip Protogenin(+ve) stem cells in a human-specific neurovascular niche initiate and maintain group 3 medulloblastoma.
Adipose-derived mesenchymal stem cells (MSCs) are a superior cell source for bone tissue engineering.
Phenotypic and Functional Characterization of Bovine Adipose-Derived Mesenchymal Stromal Cells.
LncRNA PVT1 promotes strong stemness and endothelial progenitor cell characteristics in renal carcinoma stem cells.
Catalpol Alleviates Ischemic Stroke Through Promoting Angiogenesis and Facilitating Proliferation and Differentiation of Neural Stem Cells via the VEGF-A/KDR Pathway.
Initial and ongoing tobacco smoking elicits vascular damage and distinct inflammatory response linked to neurodegeneration.
METTL3 promotes SMSCs chondrogenic differentiation by targeting the MMP3, MMP13, and GATA3.
Resveratrol May Reduce the Degree of Periodontitis by Regulating ERK Pathway in Gingival-Derived MSCs.
Quercetin ameliorates oxidative stress-induced senescence in rat nucleus pulposus-derived mesenchymal stem cells via the miR-34a-5p/SIRT1 axis.
GATA6 coordinates cross-talk between BMP10 and oxidative stress axis in pulmonary arterial hypertension.
Appropriate Dose of Dapagliflozin Improves Cardiac Outcomes by Normalizing Mitochondrial Fission and Reducing Cardiomyocyte Apoptosis After Acute Myocardial Infarction.
Endoglin aggravates peritoneal fibrosis by regulating the activation of TGF-β/ALK/Smads signaling.
Response of TGF-β isoforms in epithelial-mesenchymal transition of enamel epithelial cells.
Cancer-associated fibroblasts promote the stemness and progression of renal cell carcinoma via exosomal miR-181d-5p.
The additive effects of photobiomodulation and bioactive glasses on enhancing early angiogenesis.
WISP2/CCN5 Suppresses Vasculogenic Mimicry through Inhibition of YAP/TAZ Signaling in Breast Cancer Cells.
Regulation of Blood-Brain Barrier Transporters by Transforming Growth Factor-β/Activin Receptor-Like Kinase 1 Signaling: Relevance to the Brain Disposition of 3-Hydroxy-3-Methylglutaryl Coenzyme A Reductase Inhibitors (i.e., Statins).
Endoglin Modulates TGFβR2 Induced VEGF and Proinflammatory Cytokine Axis Mediated Angiogenesis in Prolonged DEHP-Exposed Breast Cancer Cells.
Roquin2 suppresses breast cancer progression by inhibiting tumor angiogenesis via selectively destabilizing proangiogenic factors mRNA.
Umbilical artery tissue contains p75 neurotrophin receptor-positive pericyte-like cells that possess neurosphere formation capacity and neurogenic differentiation potential.
Urolithin a alleviates oxidative stress-induced senescence in nucleus pulposus-derived mesenchymal stem cells through SIRT1/PGC-1α pathway.
Human umbilical cord mesenchymal stem cells regulate CD54 and CD105 in vascular endothelial cells and suppress inflammation in Kawasaki disease.
Inhibition of DNA Methyltransferase by RG108 Promotes Pluripotency-Related Character of Porcine Bone Marrow Mesenchymal Stem Cells.
MMP-14 aggravates onset of severe preeclampsia by mediating soluble endoglin release.
Inhibiting transforming growth factor-β signaling regulates in vitro maintenance and differentiation of bovine bone marrow mesenchymal stem cells.
Imbalance of angiogenic factors and avascular edematous cystic villi in a trisomy 13 pregnancy: a case report.
Placental expression of anti-angiogenic proteins in mirror syndrome: a case report.
Oxidative stress-induced S100B protein from placenta and amnion affects soluble Endoglin release from endothelial cells.
Zhao H, Wang Q, Lin W, Qiao R, Wang Y, Xu T, Xing H, Wei Y, Chen J, Lai Q
Bioactive materials 2026 Sep;63:556-577
Bioactive materials 2026 Sep;63:556-577
The impact of mesenchymal stromal cells on the proliferation and functional maturation of liver organoids.
Luo S, Mao C, Wu F, Huang X, Wu W, Huang T, Liu D
Biology direct 2026 Mar 10;21(1)
Biology direct 2026 Mar 10;21(1)
Phase 1 dose-escalation trial of sub-endometrial injection of human embryonic stem cells-derived immunity-and-matrix-regulatory cells to promote endometrial angiogenesis in refractory intrauterine adhesion.
Li Q, Liao Z, Hu X, Hao J, Lai Y, Sui C, Zhou J, Fang Z, Tian Y, Zhou Y, Li J, Gao T, Fan J, Nan F, Guo Y, Liu W, Wei W, Deng Y, Li Z, Huang B, Zhang H, Feng G, Wang L, Li W, Zhou Q, Jin L, Wu J, Hu B, Qian K
Molecular therapy : the journal of the American Society of Gene Therapy 2026 Jan 7;34(1):423-442
Molecular therapy : the journal of the American Society of Gene Therapy 2026 Jan 7;34(1):423-442
Dopamine-functionalized bioinspired pre-chondrogenic hydrogel for cell-free cartilage regeneration.
Zhu Q, Zhu L, Lang J, Zhu J, Chen D, Huang Y, Zhang J, Wu X, Hu J, Ji J, Yang Q, Du Y
Journal of controlled release : official journal of the Controlled Release Society 2026 Jan 10;389:114407
Journal of controlled release : official journal of the Controlled Release Society 2026 Jan 10;389:114407
PSMA-Targeting Macrophage Membrane-Coated Nanoparticles for Precision Diagnosis and Combination Therapy of Prostate Cancer.
Zhang K, Gao B, Wang J, Li Y, Xu C, Yang F, Liu S, Li H, Zhang C, Meng X, Shi Z, Zhang R, Zhang R, Wang Z, Wen W, Zhang Q, Zou Y, Han D, Bian H, Qin W
Exploration (Beijing, China) 2026 Apr;6(2):20240393
Exploration (Beijing, China) 2026 Apr;6(2):20240393
Overexpression of Decorin Optimizes the Treatment Efficacy of Umbilical Cord Mesenchymal Stem Cells in Bleomycin-Induced Pulmonary Fibrosis in Rats.
Zhi Y, Shu M, Tang P, Li Y, Guo M, Deng J, Mo H, Wu M, Liu B, Mai Y, Ling J, Zhao X, Zhang X, Zuo W
Stem cells international 2025;2025:6324980
Stem cells international 2025;2025:6324980
Air pollutants and adverse pregnancy outcomes: A multi-method integration of Mendelian randomization, meta-analysis, and animal models.
Zhou W, Shao J, Huang J, Gan J, Wang Y, Chen J, Chen Y, Zi Y, Xu Q, Zhou Q, Zhao H, Li X
Ecotoxicology and environmental safety 2025 Sep 1;302:118699
Ecotoxicology and environmental safety 2025 Sep 1;302:118699
LncRNA uc003pxg.1 Interacts With miR-339-5p Promote Vascular Endothelial Cell Proliferation, Migration and Angiogenesis.
Li P, Wang F, Yue A, Xuan Y, Huang Y, Xu J, Weng J, Li Y, Sun K
Korean circulation journal 2025 May;55(5):440-455
Korean circulation journal 2025 May;55(5):440-455
BACH1 deficiency improves placental angiogenesis via SLC25A51-mediated mitochondrial NAD(+) transport in intrahepatic cholestasis of pregnancy.
Li S, Zhu W, Xing Z, Chen D, Zhao H, Zhang Y, Zhang W, Sun J, Wu Y, Ai L, Pang Q
Molecular medicine (Cambridge, Mass.) 2025 May 1;31(1):162
Molecular medicine (Cambridge, Mass.) 2025 May 1;31(1):162
Dentin sialoprotein acts as an angiogenic factor through association with the membrane receptor endoglin.
Xu X, Fu J, Yang G, Chen Z, Chen S, Yuan G
The Journal of biological chemistry 2025 Mar;301(3):108279
The Journal of biological chemistry 2025 Mar;301(3):108279
Identification and Validation of Circadian Rhythm-Related Genes Involved in Intervertebral Disc Degeneration and Analysis of Immune Cell Infiltration via Machine Learning.
Zhang Y, Chen L, Yang S, Dai R, Sun H, Zhang L
JOR spine 2025 Jun;8(2):e70066
JOR spine 2025 Jun;8(2):e70066
Injectable pH Responsive Conductive Hydrogel for Intelligent Delivery of Metformin and Exosomes to Enhance Cardiac Repair after Myocardial Ischemia-Reperfusion Injury.
Cheng N, Luo Q, Yang Y, Shao N, Nie T, Deng X, Chen J, Zhang S, Huang Y, Hu K, Luo L, Xiao Z
Advanced science (Weinheim, Baden-Wurttemberg, Germany) 2025 Jun;12(24):e2410590
Advanced science (Weinheim, Baden-Wurttemberg, Germany) 2025 Jun;12(24):e2410590
CD105 blockade restores osimertinib sensitivity in drug-resistant EGFR-mutant non-small cell lung cancer.
Thiruvalluvan M, Billet S, Liu Z, Lownik J, Waissengrin B, Kim H, Villamejor AL, Milshteyn L, Li X, Gayhart M, Araña M, Sankar K, Posadas EM, Lopategui J, You S, Reckamp KL, Bhowmick NA
Drug resistance updates : reviews and commentaries in antimicrobial and anticancer chemotherapy 2025 Jul;81:101237
Drug resistance updates : reviews and commentaries in antimicrobial and anticancer chemotherapy 2025 Jul;81:101237
CircSPG21 ameliorates oxidative stress-induced senescence in nucleus pulposus-derived mesenchymal stem cells and mitigates intervertebral disc degeneration through the miR-217/SIRT1 axis and mitophagy.
Zhang Y, Yang S, You X, Li Z, Chen L, Dai R, Sun H, Zhang L
Stem cell research & therapy 2025 Feb 7;16(1):49
Stem cell research & therapy 2025 Feb 7;16(1):49
Thrombin cleaves membrane-bound endoglin potentially contributing to the heterogeneity of circulating endoglin in preeclampsia.
El Hamaoui D, Marchelli A, Gandrille S, Reboul E, Stepanian A, Palmier B, Jovine L, Lebrin F, Smadja DM, Bernabeu C, Denis CV, Gaussem P, Pasquali S, Kauskot A, Rossi E
Communications biology 2025 Feb 26;8(1):316
Communications biology 2025 Feb 26;8(1):316
Adipose-derived stem cells using fibrin gel as a scaffold enhances post-hepatectomy liver regeneration.
Imamura H, Tomimaru Y, Kobayashi S, Harada A, Kita S, Sasaki K, Iwagami Y, Yamada D, Noda T, Takahashi H, Hokkoku D, Kado T, Toya K, Kodama T, Saito S, Shimomura I, Miyagawa S, Doki Y, Eguchi H
Scientific reports 2025 Feb 21;15(1):6334
Scientific reports 2025 Feb 21;15(1):6334
Machine learning-enabled spatial multi-omics uncovers lactate-driven targets and tumor microenvironmental reprogramming in cancer.
Tan Y, Tan W, Liang Y, Long Y, Chen S, Hu Q, Ou Y, Fu J, Chen H, Ren F, Ye J, Zhou Q, Li S, He X, Wang Q, Shen Y, Lu H, Wu D, Gao A, Chen X, Li Y
NPJ digital medicine 2025 Dec 30;9(1):109
NPJ digital medicine 2025 Dec 30;9(1):109
Dentin sialoprotein promotes endothelial differentiation of dental pulp stem cells through DSP(aa34-50)-endoglin-AKT1 axis.
Xu X, Fu J, Yang G, Chen Z, Chen S, Yuan G
The Journal of biological chemistry 2025 Apr;301(4):108380
The Journal of biological chemistry 2025 Apr;301(4):108380
Injectable ECM-mimetic dynamic hydrogels abolish ferroptosis-induced post-discectomy herniation through delivering nucleus pulposus progenitor cell-derived exosomes.
Wang W, Cheng Z, Yu M, Liu K, Duan H, Zhang Y, Huang X, Li M, Li C, Hu Y, Luo Z, Liu M
Nature communications 2025 Apr 1;16(1):3131
Nature communications 2025 Apr 1;16(1):3131
Evaluation of ENG/CD105 expression, methylation, immuno-response, and cordycepin (CD) regulation as a novel biomarker of breast invasive carcinoma (BRCA).
Li D, Zheng M, Zhang W, He J, Zhang L, Tan Q, Maghsoudloo M, Liu K, Li T, Yao R, Wei C, Cheng J, Fu J
Journal of Cancer 2024;15(16):5244-5257
Journal of Cancer 2024;15(16):5244-5257
Lyophilizable Stem Cell-Hybrid Liposome with Long-Term Stability and High Targeting Capacity.
Zhang T, Zheng X, Lin R, Sun H, Wu H, Zhang J, Chen S, Li Y, Xu D, Gao J
Advanced healthcare materials 2024 Sep;13(22):e2400704
Advanced healthcare materials 2024 Sep;13(22):e2400704
Dynamically cultured, differentiated bovine adipose-derived stem cell spheroids as building blocks for biofabricating cultured fat.
Klatt A, Wollschlaeger JO, Albrecht FB, Rühle S, Holzwarth LB, Hrenn H, Melzer T, Heine S, Kluger PJ
Nature communications 2024 Oct 22;15(1):9107
Nature communications 2024 Oct 22;15(1):9107
Controlled release of hydrogel-encapsulated mesenchymal stem cells-conditioned medium promotes functional liver regeneration after hepatectomy in metabolic dysfunction-associated steatotic liver disease.
Kasahara N, Teratani T, Doi J, Yokota S, Shimodaira K, Kaneko Y, Ohzawa H, Sakuma Y, Sasanuma H, Fujimoto Y, Urahashi T, Yoshitomi H, Yamaguchi H, Kitayama J, Sata N
Stem cell research & therapy 2024 Nov 4;15(1):395
Stem cell research & therapy 2024 Nov 4;15(1):395
Lysate of bovine adipose-derived stem cells accelerates in-vitro development and increases cryotolerance through reduced content of lipid in the in vitro fertilized embryos.
Manabe N, Hoshino Y, Himaki T, Sakaguchi K, Matsumoto S, Yamamoto T, Murase T
Biochemical and biophysical research communications 2024 Nov 26;735:150834
Biochemical and biophysical research communications 2024 Nov 26;735:150834
Tobacco toxins trigger bone marrow mesenchymal stem cells aging by inhibiting mitophagy.
Xiang K, Ren M, Liu F, Li Y, He P, Gong X, Chen T, Wu T, Huang Z, She H, Liu K, Jing Z, Yang S
Ecotoxicology and environmental safety 2024 Jun 1;277:116392
Ecotoxicology and environmental safety 2024 Jun 1;277:116392
Biomaterial Fg/P(LLA-CL) regulates macrophage polarization and recruitment of mesenchymal stem cells after endometrial injury.
Song S, Wang A, Wu S, Li H, He H
Journal of materials science. Materials in medicine 2024 Jul 29;35(1):39
Journal of materials science. Materials in medicine 2024 Jul 29;35(1):39
Endothelial progenitor cells control remodeling of uterine spiral arteries for the establishment of utero-placental circulation.
Tan B, Lin L, Yuan Y, Long Y, Kang Y, Huang B, Huang LF, Li JH, Tong C, Qi HB
Developmental cell 2024 Jul 22;59(14):1842-1859.e12
Developmental cell 2024 Jul 22;59(14):1842-1859.e12
Human umbilical cord mesenchymal stem cell-based gene therapy for hemophilia B using scAAV-DJ/8-LP1-hFIXco transduction.
Bu Z, Lou J, Xu W, Zhang L, Tang Y
Stem cell research & therapy 2024 Jul 18;15(1):210
Stem cell research & therapy 2024 Jul 18;15(1):210
Inhibition of cGAS-STING pathway by stress granules after activation of M2 macrophages by human mesenchymal stem cells against drug induced liver injury.
Wang Y, She S, Li W, Zhu J, Li X, Yang F, Dai K
Molecular immunology 2024 Jan;165:42-54
Molecular immunology 2024 Jan;165:42-54
The ENG/VEGFα Pathway Is Likely Affected by a Nonsense Variant of Endoglin (ENG)/CD105, Causing Hereditary Hemorrhagic Telangiectasia Type 1 (HHT1) in a Chinese Family.
Liu K, Fu J, Guo K, Maghsoudloo M, Cheng J, Fu J
Genes 2024 Feb 27;15(3)
Genes 2024 Feb 27;15(3)
Biological characteristics of Muse cells derived from MenSCs and their application in acute liver injury and intracerebral hemorrhage diseases.
Li H, Wei J, Li M, Li Y, Zhang T, Tian J, Liu X, Li K, Lin J
Regenerative therapy 2024 Dec;27:48-62
Regenerative therapy 2024 Dec;27:48-62
Hydrogel and Microgel Collaboration for Spatiotemporal Delivery of Biofactors to Awaken Nucleus Pulposus-Derived Stem Cells for Endogenous Repair of Disc.
Wang J, Huang Y, Luan T, Shi P, Guo L, Zhang Q, Shi G, Hao Z, Chen T, Zhang L, Li J
Small (Weinheim an der Bergstrasse, Germany) 2024 Dec;20(49):e2404732
Small (Weinheim an der Bergstrasse, Germany) 2024 Dec;20(49):e2404732
Posterior iliac crest vs. proximal tibia: distinct sources of anti-inflammatory and regenerative cells with comparable 6-month clinical outcomes in treatment of osteoarthritis.
Mormone E, Savastano L, Rossi G, Maruccia F, Di Maggio G, Sinisi NP, Sandri M, Copetti M, De Santis E, Guerra V, Biancofiore G, Cisternino C, Caradonna E, Graziano P, Gorgoglione FL
Journal of translational medicine 2024 Dec 4;22(1):1101
Journal of translational medicine 2024 Dec 4;22(1):1101
Correlation between Periostin Expression and Pro-Angiogenic Factors in Non-Small-Cell Lung Carcinoma.
Wasik A, Podhorska-Okolow M, Dziegiel P, Piotrowska A, Kulus MJ, Kmiecik A, Ratajczak-Wielgomas K
Cells 2024 Aug 23;13(17)
Cells 2024 Aug 23;13(17)
Early rhombic lip Protogenin(+ve) stem cells in a human-specific neurovascular niche initiate and maintain group 3 medulloblastoma.
Visvanathan A, Saulnier O, Chen C, Haldipur P, Orisme W, Delaidelli A, Shin S, Millman J, Bryant A, Abeysundara N, Wu X, Hendrikse LD, Patil V, Bashardanesh Z, Golser J, Livingston BG, Nakashima T, Funakoshi Y, Ong W, Rasnitsyn A, Aldinger KA, Richman CM, Van Ommeren R, Lee JJY, Ly M, Vladoiu MC, Kharas K, Balin P, Erickson AW, Fong V, Zhang J, Suárez RA, Wang H, Huang N, Pallota JG, Douglas T, Haapasalo J, Razavi F, Silvestri E, Sirbu O, Worme S, Kameda-Smith MM, Wu X, Daniels C, MichaelRaj AK, Bhaduri A, Schramek D, Suzuki H, Garzia L, Ahmed N, Kleinman CL, Stein LD, Dirks P, Dunham C, Jabado N, Rich JN, Li W, Sorensen PH, Wechsler-Reya RJ, Weiss WA, Millen KJ, Ellison DW, Dimitrov DS, Taylor MD
Cell 2024 Aug 22;187(17):4733-4750.e26
Cell 2024 Aug 22;187(17):4733-4750.e26
Adipose-derived mesenchymal stem cells (MSCs) are a superior cell source for bone tissue engineering.
Gou Y, Huang Y, Luo W, Li Y, Zhao P, Zhong J, Dong X, Guo M, Li A, Hao A, Zhao G, Wang Y, Zhu Y, Zhang H, Shi Y, Wagstaff W, Luu HH, Shi LL, Reid RR, He TC, Fan J
Bioactive materials 2024 Apr;34:51-63
Bioactive materials 2024 Apr;34:51-63
Phenotypic and Functional Characterization of Bovine Adipose-Derived Mesenchymal Stromal Cells.
Maldonado VV, Pokharel S, Powell JG, Samsonraj RM
Animals : an open access journal from MDPI 2024 Apr 25;14(9)
Animals : an open access journal from MDPI 2024 Apr 25;14(9)
LncRNA PVT1 promotes strong stemness and endothelial progenitor cell characteristics in renal carcinoma stem cells.
Wang L, Yang G, Guo P, Lv Y, Fu B, Bai Y, Xiong F, Zhao D, Li C, Zhang J, Bai S, Zeng F, Xu W
FASEB journal : official publication of the Federation of American Societies for Experimental Biology 2023 Sep;37(9):e23118
FASEB journal : official publication of the Federation of American Societies for Experimental Biology 2023 Sep;37(9):e23118
Catalpol Alleviates Ischemic Stroke Through Promoting Angiogenesis and Facilitating Proliferation and Differentiation of Neural Stem Cells via the VEGF-A/KDR Pathway.
Sun S, Xu Y, Yu N, Zhang M, Wang J, Wan D, Tian Z, Zhu H
Molecular neurobiology 2023 Nov;60(11):6227-6247
Molecular neurobiology 2023 Nov;60(11):6227-6247
Initial and ongoing tobacco smoking elicits vascular damage and distinct inflammatory response linked to neurodegeneration.
Garza AP, Morton L, Pállinger É, Buzás EI, Schreiber S, Schott BH, Dunay IR
Brain, behavior, & immunity - health 2023 Mar;28:100597
Brain, behavior, & immunity - health 2023 Mar;28:100597
METTL3 promotes SMSCs chondrogenic differentiation by targeting the MMP3, MMP13, and GATA3.
Hu B, Zou X, Yu Y, Jiang Y, Xu H
Regenerative therapy 2023 Mar;22:148-159
Regenerative therapy 2023 Mar;22:148-159
Resveratrol May Reduce the Degree of Periodontitis by Regulating ERK Pathway in Gingival-Derived MSCs.
Jiang H, Ni J, Hu L, Xiang Z, Zeng J, Shi J, Chen Q, Li W
International journal of molecular sciences 2023 Jul 10;24(14)
International journal of molecular sciences 2023 Jul 10;24(14)
Quercetin ameliorates oxidative stress-induced senescence in rat nucleus pulposus-derived mesenchymal stem cells via the miR-34a-5p/SIRT1 axis.
Zhao WJ, Liu X, Hu M, Zhang Y, Shi PZ, Wang JW, Lu XH, Cheng XF, Tao YP, Feng XM, Wang YX, Zhang L
World journal of stem cells 2023 Aug 26;15(8):842-865
World journal of stem cells 2023 Aug 26;15(8):842-865
GATA6 coordinates cross-talk between BMP10 and oxidative stress axis in pulmonary arterial hypertension.
Toyama T, Kudryashova TV, Ichihara A, Lenna S, Looney A, Shen Y, Jiang L, Teos L, Avolio T, Lin D, Kaplan U, Marden G, Dambal V, Goncharov D, Delisser H, Lafyatis R, Seta F, Goncharova EA, Trojanowska M
Scientific reports 2023 Apr 22;13(1):6593
Scientific reports 2023 Apr 22;13(1):6593
Appropriate Dose of Dapagliflozin Improves Cardiac Outcomes by Normalizing Mitochondrial Fission and Reducing Cardiomyocyte Apoptosis After Acute Myocardial Infarction.
Fan ZG, Xu Y, Chen X, Ji MY, Ma GS
Drug design, development and therapy 2022;16:2017-2030
Drug design, development and therapy 2022;16:2017-2030
Endoglin aggravates peritoneal fibrosis by regulating the activation of TGF-β/ALK/Smads signaling.
Huang Q, Xiao R, Lu J, Zhang Y, Xu L, Gao J, Sun J, Wang H
Frontiers in pharmacology 2022;13:973182
Frontiers in pharmacology 2022;13:973182
Response of TGF-β isoforms in epithelial-mesenchymal transition of enamel epithelial cells.
Miyakawa Y, Chiba-Ohkuma R, Karakida T, Yamamoto R, Kobayashi S, Yamakoshi Y, Asada Y
Archives of oral biology 2022 Nov;143:105540
Archives of oral biology 2022 Nov;143:105540
Cancer-associated fibroblasts promote the stemness and progression of renal cell carcinoma via exosomal miR-181d-5p.
Ding M, Zhao X, Chen X, Diao W, Kan Y, Cao W, Chen W, Jiang B, Qin H, Gao J, Zhuang J, Zhang Q, Guo H
Cell death discovery 2022 Nov 1;8(1):439
Cell death discovery 2022 Nov 1;8(1):439
The additive effects of photobiomodulation and bioactive glasses on enhancing early angiogenesis.
Huang L, Gong W, Huang G, Li J, Wu J, Wang Y, Dong Y
Biomedical materials (Bristol, England) 2022 May 13;17(4)
Biomedical materials (Bristol, England) 2022 May 13;17(4)
WISP2/CCN5 Suppresses Vasculogenic Mimicry through Inhibition of YAP/TAZ Signaling in Breast Cancer Cells.
Ferrand N, Fert A, Morichon R, Radosevic-Robin N, Zaoui M, Sabbah M
Cancers 2022 Mar 14;14(6)
Cancers 2022 Mar 14;14(6)
Regulation of Blood-Brain Barrier Transporters by Transforming Growth Factor-β/Activin Receptor-Like Kinase 1 Signaling: Relevance to the Brain Disposition of 3-Hydroxy-3-Methylglutaryl Coenzyme A Reductase Inhibitors (i.e., Statins).
Betterton RD, Abdullahi W, Williams EI, Lochhead JJ, Brzica H, Stanton J, Reddell E, Ogbonnaya C, Davis TP, Ronaldson PT
Drug metabolism and disposition: the biological fate of chemicals 2022 Jul;50(7):942-956
Drug metabolism and disposition: the biological fate of chemicals 2022 Jul;50(7):942-956
Endoglin Modulates TGFβR2 Induced VEGF and Proinflammatory Cytokine Axis Mediated Angiogenesis in Prolonged DEHP-Exposed Breast Cancer Cells.
Jadhao M, Chen CL, Liu W, Deshmukh D, Liao WT, Chen JY, Urade R, Tsai EM, Hsu SK, Wang LF, Chiu CC
Biomedicines 2022 Feb 10;10(2)
Biomedicines 2022 Feb 10;10(2)
Roquin2 suppresses breast cancer progression by inhibiting tumor angiogenesis via selectively destabilizing proangiogenic factors mRNA.
Zhou M, Lu W, Li B, Yuan X, Liu M, Han J, Liu X, Li A
International journal of biological sciences 2021;17(11):2884-2898
International journal of biological sciences 2021;17(11):2884-2898
Umbilical artery tissue contains p75 neurotrophin receptor-positive pericyte-like cells that possess neurosphere formation capacity and neurogenic differentiation potential.
Fujii-Tezuka R, Ishige-Wada M, Nagoshi N, Okano H, Mugishima H, Takahashi S, Morioka I, Matsumoto T
Regenerative therapy 2021 Mar;16:1-11
Regenerative therapy 2021 Mar;16:1-11
Urolithin a alleviates oxidative stress-induced senescence in nucleus pulposus-derived mesenchymal stem cells through SIRT1/PGC-1α pathway.
Shi PZ, Wang JW, Wang PC, Han B, Lu XH, Ren YX, Feng XM, Cheng XF, Zhang L
World journal of stem cells 2021 Dec 26;13(12):1928-1946
World journal of stem cells 2021 Dec 26;13(12):1928-1946
Human umbilical cord mesenchymal stem cells regulate CD54 and CD105 in vascular endothelial cells and suppress inflammation in Kawasaki disease.
Chen T, Xu T, Cheng M, Fang H, Shen X, Tang Z, Zhao J
Experimental cell research 2021 Dec 15;409(2):112941
Experimental cell research 2021 Dec 15;409(2):112941
Inhibition of DNA Methyltransferase by RG108 Promotes Pluripotency-Related Character of Porcine Bone Marrow Mesenchymal Stem Cells.
Li Q, Zhai Y, Man X, Zhang S, An X
Cellular reprogramming 2020 Apr;22(2):82-89
Cellular reprogramming 2020 Apr;22(2):82-89
MMP-14 aggravates onset of severe preeclampsia by mediating soluble endoglin release.
Zhang XH, Zhang HY, Lu S, Jiang LL, Wu J, Yang YL, Zhang SA
European review for medical and pharmacological sciences 2018 Mar;22(5):1209-1215
European review for medical and pharmacological sciences 2018 Mar;22(5):1209-1215
Inhibiting transforming growth factor-β signaling regulates in vitro maintenance and differentiation of bovine bone marrow mesenchymal stem cells.
Zhao XX, An XL, Zhu XC, Jiang Y, Zhai YH, Zhang S, Cai NN, Tang B, Li ZY, Zhang XM
Journal of experimental zoology. Part B, Molecular and developmental evolution 2018 Dec;330(8):406-416
Journal of experimental zoology. Part B, Molecular and developmental evolution 2018 Dec;330(8):406-416
Imbalance of angiogenic factors and avascular edematous cystic villi in a trisomy 13 pregnancy: a case report.
Kakigano A, Mimura K, Kanagawa T, Nakayama M, Kanayama T, Fujita S, Kinugasa-Taniguchi Y, Endo M, Tomimatsu T, Kimura T
Placenta 2013 Jul;34(7):628-30
Placenta 2013 Jul;34(7):628-30
Placental expression of anti-angiogenic proteins in mirror syndrome: a case report.
Graham N, Garrod A, Bullen P, Heazell AE
Placenta 2012 Jun;33(6):528-31
Placenta 2012 Jun;33(6):528-31
Oxidative stress-induced S100B protein from placenta and amnion affects soluble Endoglin release from endothelial cells.
Tskitishvili E, Sharentuya N, Temma-Asano K, Mimura K, Kinugasa-Taniguchi Y, Kanagawa T, Fukuda H, Kimura T, Tomimatsu T, Shimoya K
Molecular human reproduction 2010 Mar;16(3):188-99
Molecular human reproduction 2010 Mar;16(3):188-99
No comments: Submit comment
Supportive validation
- Submitted by
- Proteintech Group (provider)
- Main image

- Experimental details
- mouse lung tissue were subjected to SDS PAGE followed by western blot with 10862-1-AP(ENG antibody) at dilution of 1:300
- Sample type
- tissue
Supportive validation
- Submitted by
- Proteintech Group (provider)
- Main image

- Experimental details
- IP Result of anti-ENG (IP:10862-1-AP, 3ug; Detection:10862-1-AP 1:300) with mouse lung tissue lysate 4000ug.
- Sample type
- tissue
Supportive validation
- Submitted by
- Proteintech Group (provider)
- Main image

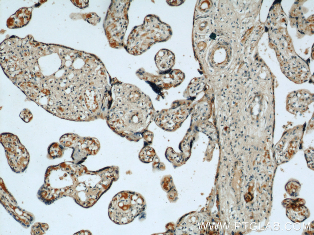
- Experimental details
- Immunohistochemical of paraffin-embedded human placenta using 10862-1-AP(ENG antibody) at dilution of 1:50 (under 10x lens)
- Sample type
- tissue
- Submitted by
- Proteintech Group (provider)
- Main image

- Experimental details
- The Endoglin/CD105 antibody from Proteintech is a rabbit polyclonal antibody to a recombinant protein of human Endoglin/CD105. This antibody recognizes human,mouse,rat antigen. The Endoglin/CD105 antibody has been validated for the following applications: ELISA, WB, IP, IHC analysis.