Antibody data
- Antibody Data
- Antigen structure
- References [3]
- Comments [0]
- Validations
- Immunohistochemistry [1]
Submit
Validation data
Reference
Comment
Report error
- Product number
- sc-9098 - Provider product page

- Provider
- Santa Cruz Biotechnology
- Proper citation
- Santa Cruz Biotechnology Cat#sc-9098, RRID:AB_2291289
- Product name
- Anti-CD46
- Antibody type
- Polyclonal
- Antigen
- Recombinant full-length protein
- Reactivity
- Human
- Host
- Rabbit
Submitted references Purification of infectious human herpesvirus 6A virions and association of host cell proteins.
Murine ccl2/cx3cr1 deficiency results in retinal lesions mimicking human age-related macular degeneration.
Improved gene delivery to intestinal mucosa by adenoviral vectors bearing subgroup B and d fibers.
Hammarstedt M, Ahlqvist J, Jacobson S, Garoff H, Fogdell-Hahn A
Virology journal 2007 Oct 19;4:101
Virology journal 2007 Oct 19;4:101
Murine ccl2/cx3cr1 deficiency results in retinal lesions mimicking human age-related macular degeneration.
Tuo J, Bojanowski CM, Zhou M, Shen D, Ross RJ, Rosenberg KI, Cameron DJ, Yin C, Kowalak JA, Zhuang Z, Zhang K, Chan CC
Investigative ophthalmology & visual science 2007 Aug;48(8):3827-36
Investigative ophthalmology & visual science 2007 Aug;48(8):3827-36
Improved gene delivery to intestinal mucosa by adenoviral vectors bearing subgroup B and d fibers.
Lecollinet S, Gavard F, Havenga MJ, Spiller OB, Lemckert A, Goudsmit J, Eloit M, Richardson J
Journal of virology 2006 Mar;80(6):2747-59
Journal of virology 2006 Mar;80(6):2747-59
No comments: Submit comment
Supportive validation
- Submitted by
- per
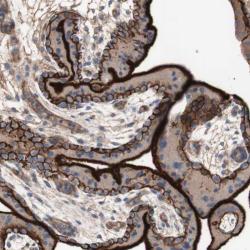
- Main image

- Experimental details
- Immunohistochemical staining of human placenta shows strong membranous positivity in trophoblastic cells.
- Validation comment
- Staining pattern partly consistent with experimental and/or bioinformatic data.