Antibody data
- Antibody Data
- Antigen structure
- References [0]
- Comments [0]
- Validations
- Western blot [1]
- Immunohistochemistry [1]
Submit
Validation data
Reference
Comment
Report error
- Product number
- PAB26891 - Provider product page

- Provider
- Abnova Corporation
- Product name
- TMPRSS3 polyclonal antibody
- Antibody type
- Polyclonal
- Description
- Rabbit polyclonal antibody raised against synthetic peptide of TMPRSS3.
- Storage
- Store at 4°C. For long term storage store at -20°C.Aliquot to avoid repeated freezing and thawing.
No comments: Submit comment
Supportive validation
- Submitted by
- Abnova Corporation (provider)
- Main image

- Experimental details
- Western blot analysis of HUVEC cell lysate with TMPRSS3 polyclonal antibody (Cat # PAB26891).
Supportive validation
- Submitted by
- Abnova Corporation (provider)
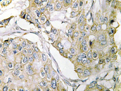
- Main image

- Experimental details
- Immunohistochemical analysis of paraffin-embedded human breast cancer tissue using TMPRSS3 polyclonal antibody (Cat # PAB26891).
- Validation comment
- Immunohistochemistry (Formalin/PFA-fixed paraffin-embedded sections)