Antibody data
- Antibody Data
- Antigen structure
- References [19]
- Comments [0]
- Validations
- Western blot [1]
- Immunoprecipitation [1]
- Immunohistochemistry [1]
Submit
Validation data
Reference
Comment
Report error
- Product number
- 12751-1-AP - Provider product page

- Provider
- Proteintech Group
- Proper citation
- Proteintech Cat#12751-1-AP, RRID:AB_2262528
- Product name
- SEC5/EXOC2 antibody
- Antibody type
- Polyclonal
- Description
- KD/KO validated SEC5/EXOC2 antibody (Cat. #12751-1-AP) is a rabbit polyclonal antibody that shows reactivity with human, mouse, rat and has been validated for the following applications: IF, IHC, IP, WB,ELISA.
- Reactivity
- Human, Mouse, Rat
- Host
- Rabbit
- Conjugate
- Unconjugated
- Isotype
- IgG
- Vial size
- 20ul, 150ul
Submitted references Exosome secretion related gene signature predicts chemoresistance in patients with colorectal cancer.
The exocyst complex and intracellular vesicles mediate soluble protein trafficking to the primary cilium.
The exocyst complex regulates C. elegans germline stem cell proliferation by controlling membrane Notch levels.
VWF maturation and release are controlled by 2 regulators of Weibel-Palade body biogenesis: exocyst and BLOC-2.
The chaperone ERp29 is required for tunneling nanotube formation by stabilizing MSec.
The exocyst complex and Rab5 are required for abscission by localizing ESCRT III subunits to the cytokinetic bridge.
Phosphorylation of the exocyst protein Exo84 by TBK1 promotes insulin-stimulated GLUT4 trafficking.
Intracellular periodontal pathogen exploits recycling pathway to exit from infected cells.
A kinase-independent role for EGF receptor in autophagy initiation.
A role for exocyst in maturation and bactericidal function of staphylococci-containing endothelial cell phagosomes.
Exocyst sec5 regulates exocytosis of newcomer insulin granules underlying biphasic insulin secretion.
The deubiquitylase USP33 discriminates between RALB functions in autophagy and innate immune response.
LST1 promotes the assembly of a molecular machinery responsible for tunneling nanotube formation.
The anti-inflammatory TIPE2 is an inhibitor of the oncogenic Ras.
Proteomic analysis of HIV-1 Nef cellular binding partners reveals a role for exocyst complex proteins in mediating enhancement of intercellular nanotube formation.
Myo1c regulates lipid raft recycling to control cell spreading, migration and Salmonella invasion.
Ral GTPases regulate cell-mediated cytotoxicity in NK cells.
Exit of intracellular Porphyromonas gingivalis from gingival epithelial cells is mediated by endocytic recycling pathway.
M-Sec promotes membrane nanotube formation by interacting with Ral and the exocyst complex.
Ming L, Tang J, Qin F, Qin Y, Wang D, Huang L, Cao Y, Huang Z, Yin Y
Pathology, research and practice 2024 May;257:155313
Pathology, research and practice 2024 May;257:155313
The exocyst complex and intracellular vesicles mediate soluble protein trafficking to the primary cilium.
Niedziółka SM, Datta S, Uśpieński T, Baran B, Skarżyńska W, Humke EW, Rohatgi R, Niewiadomski P
Communications biology 2024 Feb 21;7(1):213
Communications biology 2024 Feb 21;7(1):213
The exocyst complex regulates C. elegans germline stem cell proliferation by controlling membrane Notch levels.
Pushpa K, Dagar S, Kumar H, Pathak D, Mylavarapu SVS
Development (Cambridge, England) 2021 Aug 1;148(15)
Development (Cambridge, England) 2021 Aug 1;148(15)
VWF maturation and release are controlled by 2 regulators of Weibel-Palade body biogenesis: exocyst and BLOC-2.
Sharda AV, Barr AM, Harrison JA, Wilkie AR, Fang C, Mendez LM, Ghiran IC, Italiano JE, Flaumenhaft R
Blood 2020 Dec 10;136(24):2824-2837
Blood 2020 Dec 10;136(24):2824-2837
The chaperone ERp29 is required for tunneling nanotube formation by stabilizing MSec.
Pergu R, Dagar S, Kumar H, Kumar R, Bhattacharya J, Mylavarapu SVS
The Journal of biological chemistry 2019 May 3;294(18):7177-7193
The Journal of biological chemistry 2019 May 3;294(18):7177-7193
The exocyst complex and Rab5 are required for abscission by localizing ESCRT III subunits to the cytokinetic bridge.
Kumar H, Pushpa K, Kumari A, Verma K, Pergu R, Mylavarapu SVS
Journal of cell science 2019 Jul 17;132(14)
Journal of cell science 2019 Jul 17;132(14)
Phosphorylation of the exocyst protein Exo84 by TBK1 promotes insulin-stimulated GLUT4 trafficking.
Uhm M, Bazuine M, Zhao P, Chiang SH, Xiong T, Karunanithi S, Chang L, Saltiel AR
Science signaling 2017 Mar 21;10(471)
Science signaling 2017 Mar 21;10(471)
Intracellular periodontal pathogen exploits recycling pathway to exit from infected cells.
Takeuchi H, Takada A, Kuboniwa M, Amano A
Cellular microbiology 2016 Jul;18(7):928-48
Cellular microbiology 2016 Jul;18(7):928-48
A kinase-independent role for EGF receptor in autophagy initiation.
Tan X, Thapa N, Sun Y, Anderson RA
Cell 2015 Jan 15;160(1-2):145-60
Cell 2015 Jan 15;160(1-2):145-60
A role for exocyst in maturation and bactericidal function of staphylococci-containing endothelial cell phagosomes.
Rauch L, Hennings K, Aepfelbacher M
Traffic (Copenhagen, Denmark) 2014 Oct;15(10):1083-98
Traffic (Copenhagen, Denmark) 2014 Oct;15(10):1083-98
Exocyst sec5 regulates exocytosis of newcomer insulin granules underlying biphasic insulin secretion.
Xie L, Zhu D, Kang Y, Liang T, He Y, Gaisano HY
PloS one 2013;8(7):e67561
PloS one 2013;8(7):e67561
The deubiquitylase USP33 discriminates between RALB functions in autophagy and innate immune response.
Simicek M, Lievens S, Laga M, Guzenko D, Aushev VN, Kalev P, Baietti MF, Strelkov SV, Gevaert K, Tavernier J, Sablina AA
Nature cell biology 2013 Oct;15(10):1220-30
Nature cell biology 2013 Oct;15(10):1220-30
LST1 promotes the assembly of a molecular machinery responsible for tunneling nanotube formation.
Schiller C, Diakopoulos KN, Rohwedder I, Kremmer E, von Toerne C, Ueffing M, Weidle UH, Ohno H, Weiss EH
Journal of cell science 2013 Feb 1;126(Pt 3):767-77
Journal of cell science 2013 Feb 1;126(Pt 3):767-77
The anti-inflammatory TIPE2 is an inhibitor of the oncogenic Ras.
Gus-Brautbar Y, Johnson D, Zhang L, Sun H, Wang P, Zhang S, Zhang L, Chen YH
Molecular cell 2012 Mar 9;45(5):610-8
Molecular cell 2012 Mar 9;45(5):610-8
Proteomic analysis of HIV-1 Nef cellular binding partners reveals a role for exocyst complex proteins in mediating enhancement of intercellular nanotube formation.
Mukerji J, Olivieri KC, Misra V, Agopian KA, Gabuzda D
Retrovirology 2012 Jun 22;9:33
Retrovirology 2012 Jun 22;9:33
Myo1c regulates lipid raft recycling to control cell spreading, migration and Salmonella invasion.
Brandstaetter H, Kendrick-Jones J, Buss F
Journal of cell science 2012 Apr 15;125(Pt 8):1991-2003
Journal of cell science 2012 Apr 15;125(Pt 8):1991-2003
Ral GTPases regulate cell-mediated cytotoxicity in NK cells.
Sánchez-Ruiz J, Mejías R, García-Belando M, Barber DF, González-García A
Journal of immunology (Baltimore, Md. : 1950) 2011 Sep 1;187(5):2433-41
Journal of immunology (Baltimore, Md. : 1950) 2011 Sep 1;187(5):2433-41
Exit of intracellular Porphyromonas gingivalis from gingival epithelial cells is mediated by endocytic recycling pathway.
Takeuchi H, Furuta N, Morisaki I, Amano A
Cellular microbiology 2011 May;13(5):677-91
Cellular microbiology 2011 May;13(5):677-91
M-Sec promotes membrane nanotube formation by interacting with Ral and the exocyst complex.
Hase K, Kimura S, Takatsu H, Ohmae M, Kawano S, Kitamura H, Ito M, Watarai H, Hazelett CC, Yeaman C, Ohno H
Nature cell biology 2009 Dec;11(12):1427-32
Nature cell biology 2009 Dec;11(12):1427-32
No comments: Submit comment
Supportive validation
- Submitted by
- Proteintech Group (provider)
- Main image

- Experimental details
- mouse brain tissue were subjected to SDS PAGE followed by western blot with 12751-1-AP(SEC5 antibody) at dilution of 1:500
- Sample type
- tissue
Supportive validation
- Submitted by
- Proteintech Group (provider)
- Main image

- Experimental details
- IP Result of anti-SEC5 (IP:12751-1-AP, 5ug; Detection:12751-1-AP 1:500) with mouse brain tissue lysate 3000ug.
- Sample type
- tissue
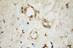
Supportive validation
- Submitted by
- Proteintech Group (provider)
- Main image

- Experimental details
- The SEC5 /EXOC2 antibody from Proteintech is a rabbit polyclonal antibody to a recombinant protein of human SEC5 /EXOC2. This antibody recognizes human,mouse,rat antigen. The SEC5 /EXOC2 antibody has been validated for the following applications: ELISA, WB, IHC, IP analysis.