Antibody data
- Antibody Data
- Antigen structure
- References [4]
- Comments [0]
- Validations
- Immunohistochemistry [1]
Submit
Validation data
Reference
Comment
Report error
- Product number
- bs-4063R - Provider product page

- Provider
- Bioss
- Proper citation
- Bioss Cat#bs-4063R, RRID:AB_10856788
- Product name
- HMGCR (Ser872) Polyclonal Antibody
- Antibody type
- Polyclonal
- Description
- KLH conjugated synthetic phosphopeptide derived from human HMGCR around the phosphorylation site of Ser872
- Reactivity
- Human, Mouse, Rat
- Host
- Rabbit
- Conjugate
- Unconjugated
- Isotype
- IgG
- Vial size
- 100ul
- Concentration
- 1ug/ul
- Storage
- Aqueous buffered solution containing 1% BSA, 50% glycerol and 0.09% sodium azide. Store at -20°C for 12 months.
Submitted references miR‑29a‑3p represses proliferation and metastasis of gastric cancer cells via attenuating HAS3 levels.
Recovery from trauma induced amnesia correlates with normalization of thrombin activity in the mouse hippocampus.
Endosulfan induces cell dysfunction through cycle arrest resulting from DNA damage and DNA damage response signaling pathways.
Peripheral serotonin regulates postoperative intra-abdominal adhesion formation in mice.
Bai F, Jiu M, You Y, Feng Y, Xin R, Liu X, Mo L, Nie Y
Molecular medicine reports 2018 Jun;17(6):8145-8152
Molecular medicine reports 2018 Jun;17(6):8145-8152
Recovery from trauma induced amnesia correlates with normalization of thrombin activity in the mouse hippocampus.
Ben Shimon M, Zeimer T, Shavit Stein E, Artan-Furman A, Harnof S, Chapman J, Eisenkraft A, Pick CG, Maggio N
PloS one 2017;12(11):e0188524
PloS one 2017;12(11):e0188524
Endosulfan induces cell dysfunction through cycle arrest resulting from DNA damage and DNA damage response signaling pathways.
Wei J, Zhang L, Ren L, Zhang J, Liu J, Duan J, Yu Y, Li Y, Peng C, Zhou X, Sun Z
The Science of the total environment 2017 Jul 1;589:97-106
The Science of the total environment 2017 Jul 1;589:97-106
Peripheral serotonin regulates postoperative intra-abdominal adhesion formation in mice.
Bi J, Zhang S, Du Z, Zhang J, Deng Y, Liu C, Zhang J
Scientific reports 2017 Aug 30;7(1):10001
Scientific reports 2017 Aug 30;7(1):10001
No comments: Submit comment
Supportive validation
- Submitted by
- Bioss (provider)
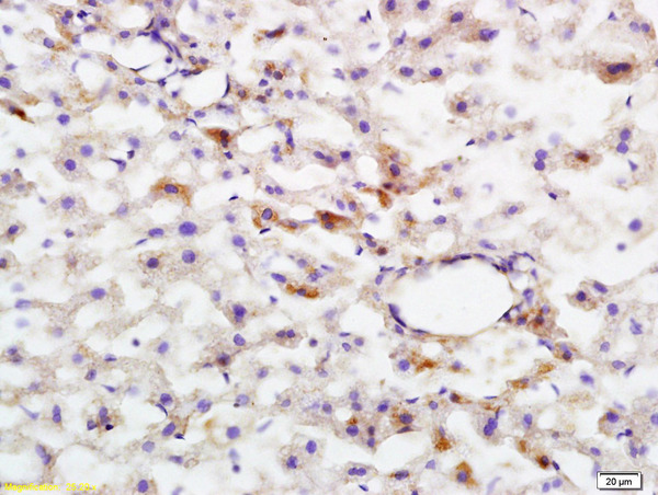
- Main image

- Experimental details
- Formalin-fixed and paraffin embedded rat liver tissue labeled with Anti-phospho-HMGCR(Ser872) Polyclonal Antibody, Unconjugated (bs-4063R) at 1:200 followed by conjugation to the secondary antibody and DAB staining
- Sample type
- Rat
- Other comments
- Liver