Antibody data
- Antibody Data
- Antigen structure
- References [1]
- Comments [0]
- Validations
- Western blot [2]
- Immunohistochemistry [1]
Submit
Validation data
Reference
Comment
Report error
- Product number
- GTX124222 - Provider product page 
- Provider
- GeneTex
- Proper citation
- GeneTex Cat#GTX124222, RRID:AB_11168763
- Product name
- JMJD3 antibody [C2], C-term
- Antibody type
- Polyclonal
- Reactivity
- Human
- Host
- Rabbit
Submitted references		The histone demethylase jumonji coordinates cellular senescence including secretion of neural stem cell-attracting cytokines.
				
		
	
			Perrigue PM, Silva ME, Warden CD, Feng NL, Reid MA, Mota DJ, Joseph LP, Tian YI, Glackin CA, Gutova M, Najbauer J, Aboody KS, Barish ME
Molecular cancer research : MCR 2015 Apr;13(4):636-50
		Molecular cancer research : MCR 2015 Apr;13(4):636-50
				No comments: Submit comment	
	
			
							
					Supportive validation
					
									
				
				- Submitted by
- GeneTex (provider)
- Main image
 
- Experimental details
- Sample (30 ug of whole cell lysate) A: HepG2 5% SDS PAGE GTX124222 diluted at 1:2000
- Validation comment
- WB
- Submitted by
- GeneTex (provider)
- Main image
 
- Experimental details
- JMJD3 antibody [C2], C-term detects JMJD3 protein by western blot analysis.A. 30 ?g 293T whole cell lysate/extractB. 30 ?g A375 whole cell lysate/extract5% SDS-PAGEJMJD3 antibody [C2], C-term (GTX124222) dilution: 1:1000The HRP-conjugated anti-rabbit IgG antibody (GTX213110-01) was used to detect the primary antibody.
							
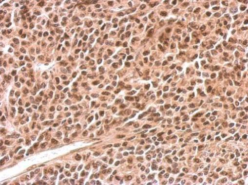
					Supportive validation
					
									
				
		- Submitted by
- GeneTex (provider)
- Main image
 
- Experimental details
- JMJD3 antibody [C2], C-term detects KDM6B protein at cytosol and nucleus on BT483 xenograft by immunohistochemical analysis. Sample: Paraffin-embedded BT483 xenograft. JMJD3 antibody [C2], C-term (GTX124222) dilution: 1:500.