Antibody data
- Antibody Data
- Antigen structure
- References [0]
- Comments [0]
- Validations
- Western blot [2]
- Immunohistochemistry [12]
Submit
Validation data
Reference
Comment
Report error
- Product number
- NBP1-86147 - Provider product page

- Provider
- Novus Biologicals
- Proper citation
- Novus Cat#NBP1-86147, RRID:AB_11004309
- Product name
- Rabbit Polyclonal PYGL Antibody
- Antibody type
- Polyclonal
- Description
- Immunogen affinity purified. Specificity of human PYGL antibody verified on a Protein Array containing target protein plus 383 other non-specific proteins.
- Reactivity
- Human
- Host
- Rabbit
- Isotype
- IgG
- Vial size
- 0.1 ml
- Storage
- Store at 4C short term. Aliquot and store at -20C long term. Avoid freeze-thaw cycles.
No comments: Submit comment
Supportive validation
- Submitted by
- Novus Biologicals (provider)
- Main image

- Experimental details
- Western Blot: PYGL Antibody [NBP1-86147] - Lane 1: Marker [kDa] 230, 110, 82, 49, 32, 26, 18. Lane 2: Human cell line RT-4. Lane 3: Human cell line U-251MG sp. Lane 4: Human plasma (IgG/HSA depleted). Lane 5: Human liver tissue
- Submitted by
- Novus Biologicals (provider)
- Main image

- Experimental details
- Western Blot: PYGL Antibody [NBP1-86147] - Analysis in human cell lines PC-3 and SK-MEL-30 using anti-PYGL antibody. Corresponding PYGL RNA-seq data are presented for the same cell lines. Loading control: anti-PFN1.
Supportive validation
- Submitted by
- Novus Biologicals (provider)
- Main image

- Experimental details
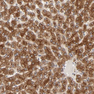
- Immunohistochemistry-Paraffin: PYGL Antibody [NBP1-86147] - Staining of human liver shows strong cytoplasmic positivity in hepatocytes.
- Submitted by
- Novus Biologicals (provider)
- Main image

- Experimental details
- Immunohistochemistry-Paraffin: PYGL Antibody [NBP1-86147] - Staining of human pancreas shows low expression as expected.
- Submitted by
- Novus Biologicals (provider)
- Main image

- Experimental details
- Immunohistochemistry-Paraffin: PYGL Antibody [NBP1-86147] - Staining of human cerebral cortex.
- Submitted by
- Novus Biologicals (provider)
- Main image

- Experimental details
- Immunohistochemistry-Paraffin: PYGL Antibody [NBP1-86147] - Staining of human testis.
- Submitted by
- Novus Biologicals (provider)
- Main image

- Experimental details
- Immunohistochemistry-Paraffin: PYGL Antibody [NBP1-86147] - Staining of human bone marrow.
- Submitted by
- Novus Biologicals (provider)
- Main image

- Experimental details
- Immunohistochemistry-Paraffin: PYGL Antibody [NBP1-86147] - Analysis in human liver and pancreas tissues. Corresponding PYGL RNA-seq data are presented for the same tissues.
- Submitted by
- Novus Biologicals (provider)
- Main image

- Experimental details
- Immunohistochemistry-Paraffin: PYGL Antibody [NBP1-86147] - Staining of human testis shows very weak positivity in cells in seminiferous ducts.
- Submitted by
- Novus Biologicals (provider)
- Main image

- Experimental details
- Immunohistochemistry-Paraffin: PYGL Antibody [NBP1-86147] - Staining of human pancreas shows very weak positivity in exocrine glandular cells.
- Submitted by
- Novus Biologicals (provider)
- Main image

- Experimental details
- Immunohistochemistry-Paraffin: PYGL Antibody [NBP1-86147] - Staining of human bone marrow, cerebral cortex, liver and testis using Anti-PYGL antibody (A) NBP1-86147 shows similar protein distribution across tissues to independent antibody NBP1-86182 (B).
- Submitted by
- Novus Biologicals (provider)
- Main image

- Experimental details
- Immunohistochemistry-Paraffin: PYGL Antibody [NBP1-86147] - Staining of human cerebral cortex shows very weak positivity in neuronal cells.
- Submitted by
- Novus Biologicals (provider)
- Main image

- Experimental details
- Immunohistochemistry-Paraffin: PYGL Antibody [NBP1-86147] - Staining of human liver shows strong cytoplasmic positivity in hepatocytes.
- Submitted by
- Novus Biologicals (provider)
- Main image

- Experimental details
- Immunohistochemistry-Paraffin: PYGL Antibody [NBP1-86147] - Staining of human bone marrow shows moderate cytoplasmic positivity in hematopoietic cells.