Antibody data
- Antibody Data
- Antigen structure
- References [0]
- Comments [0]
- Validations
- Western blot [1]
- ELISA [1]
- Immunohistochemistry [1]
Submit
Validation data
Reference
Comment
Report error
- Product number
- AM31110PU-N - Provider product page

- Provider
- OriGene
- Product name
- MTLRP (GHRL) (1-118) mouse monoclonal antibody, clone 4B8, Purified
- Antibody type
- Monoclonal
- Description
- MTLRP (GHRL) (1-118) mouse monoclonal antibody, clone 4B8, Purified
- Host
- Mouse
- Conjugate
- Unconjugated
- Epitope
- GHRL
- Isotype
- IgG
- Antibody clone number
- 4B8
- Vial size
- 50 µg
- Concentration
- 0.45 mg/ml
No comments: Submit comment
Supportive validation
- Submitted by
- OriGene (provider)
- Main image

- Experimental details
- Western Blot analysis of GHRL expression in HeLa cells with GHRL monoclonal antibody, clone 4B8.
- Validation comment
- WB
Supportive validation
- Submitted by
- OriGene (provider)
- Main image

- Experimental details
- Detection limit for recombinant GST tagged GHRL is approximately 1ng/ml as a capture antibody.
- Validation comment
- ELISA
Supportive validation
- Submitted by
- OriGene (provider)
- Main image

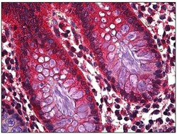
- Experimental details
- Human Colon, Epithelium: Formalin-Fixed, Paraffin-Embedded (FFPE)
- Validation comment
- IHC