Antibody data
- Antibody Data
- Antigen structure
- References [0]
- Comments [0]
- Validations
- Western blot [1]
- Immunohistochemistry [3]
Submit
Validation data
Reference
Comment
Report error
- Product number
- LS-C747675 - Provider product page

- Provider
- LSBio
- Product name
- GHRL / Ghrelin Preproprotein Antibody LS-C747675
- Antibody type
- Polyclonal
- Description
- Affinity purified
- Reactivity
- Human, Rat
- Host
- Rabbit
- Isotype
- IgG
- Storage
- Store at -20°C. Avoid freeze-thaw cycles.
No comments: Submit comment
Enhanced validation
- Submitted by
- LSBio (provider)
- Enhanced method
- Genetic validation
- Main image

- Experimental details
- Western blot analysis of extracts of rat liver, using GHRL antibody at 1:1000 dilution. The secondary antibody used was an HRP Goat Anti-Rabbit IgG (H+L) at 1:10000 dilution. Lysates were loaded 25ug per lane and 3% nonfat dry milk in TBST was used for blocking. An ECL Kit was used for detection and the exposure time was 90s.
Supportive validation
- Submitted by
- LSBio (provider)
- Main image

- Experimental details
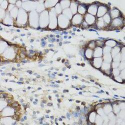
- Immunohistochemistry of paraffin-embedded human stomach using GHRL antibody at dilution of 1:100 (40x lens).
- Submitted by
- LSBio (provider)
- Main image

- Experimental details
- Immunohistochemistry of paraffin-embedded human rectum using GHRL antibody at dilution of 1:100 (40x lens).
- Submitted by
- LSBio (provider)
- Main image

- Experimental details
- Immunohistochemistry of paraffin-embedded human rectal cancer using GHRL antibody at dilution of 1:100 (40x lens).