Antibody data
- Antibody Data
- Antigen structure
- References [0]
- Comments [0]
- Validations
- Western blot [1]
- ELISA [1]
- Immunohistochemistry [1]
Submit
Validation data
Reference
Comment
Report error
- Product number
- AM31109PU-N - Provider product page

- Provider
- Acris Antibodies GmbH
- Proper citation
- Acris Antibodies GmbH Cat#AM31109PU-N, RRID:AB_10975825
- Product name
- anti Ghrelin / GHRL (1-118)
- Antibody type
- Monoclonal
- Antigen
- GHRL / Ghrelin antibody was raised against gHRL (AAH25791, 1 a.a. ~ 118 a.a) full length recombinant protein with GST tag. MW of the GST tag alone is 26 KDa.
- Reactivity
- Human
- Host
- Mouse
- Isotype
- IgG
- Antibody clone number
- 2F4
- Vial size
- 50 µg
- Concentration
- 0,5 mg/ml
No comments: Submit comment
Supportive validation
- Submitted by
- Acris Antibodies GmbH (provider)
- Main image

- Experimental details
- GHRL monoclonal antibody (M01), clone 2F4. Western Blot analysis of GHRL expression in HeLa.
Supportive validation
- Submitted by
- Acris Antibodies GmbH (provider)
- Main image

- Experimental details
- Detection limit for recombinant GST tagged GHRL is approximately 0.1ng/ml as a capture antibody.
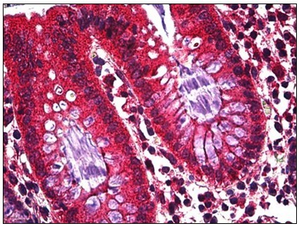
Supportive validation
- Submitted by
- Acris Antibodies GmbH (provider)
- Main image

- Experimental details
- Human Colon, Epithelium: Formalin-Fixed, Paraffin-Embedded (FFPE)