Antibody data
- Antibody Data
- Antigen structure
- References [0]
- Comments [0]
- Validations
- Western blot [2]
- Immunocytochemistry [1]
- Immunohistochemistry [2]
Submit
Validation data
Reference
Comment
Report error
- Product number
- RQ4046 - Provider product page

- Provider
- NSJ Bioreagents
- Product name
- OGG1 Antibody
- Antibody type
- Polyclonal
- Description
- This highly specific OGG1 antibody is suitable for use in Western blot applications with human and rat samples.
- Reactivity
- Human, Rat
- Host
- Rabbit
- Conjugate
- Unconjugated
- Vial size
- 100 ug
- Concentration
- 0.5mg/ml if reconstituted with 0.2ml sterile DI water
- Storage
- After reconstitution, the OGG1 antibody can be stored for up to one month at 4oC. For long-term, aliquot and store at -20oC. Avoid repeated freezing and thawing.
No comments: Submit comment
Supportive validation
- Submitted by
- NSJ Bioreagents (provider)
- Main image

- Experimental details
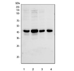
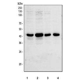
- Western blot testing of rat 1) spleen, 2) thymus, 3) liver and 4) testis lysate with OGG1 antibody at 0.5ug/ml. Predicted molecular weight ~39 kDa.
- Submitted by
- NSJ Bioreagents (provider)
- Main image

- Experimental details
- Western blot testing of human 1) A549, 2) HepG2, 3) HeLa and 4) 293T cell lysate with OGG1 antibody at 0.5ug/ml. Predicted molecular weight ~39 kDa.
Supportive validation
- Submitted by
- NSJ Bioreagents (provider)
- Main image

- Experimental details
- Immunofluorescent staining of FFPE human HeLa cells with OGG1 antibody (green) and Alpha Tubulin mAb (red). HIER: steam section in pH6 citrate buffer for 20 min.
Supportive validation
- Submitted by
- NSJ Bioreagents (provider)
- Main image

- Experimental details
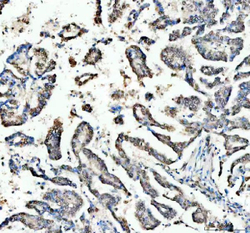
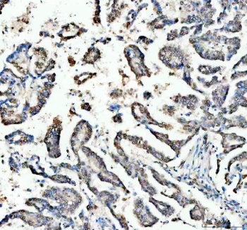
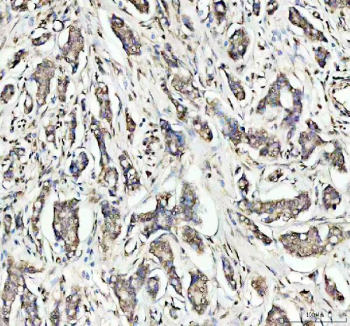
- IHC staining of FFPE human lung cancer tissue with OGG1 antibody. HIER: boil tissue sections in pH8 EDTA for 20 min and allow to cool before testing.
- Submitted by
- NSJ Bioreagents (provider)
- Main image

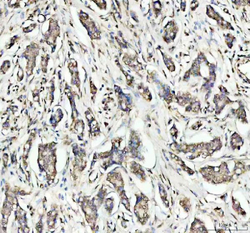
- Experimental details
- IHC staining of FFPE human breast cancer tissue with OGG1 antibody. HIER: boil tissue sections in pH8 EDTA for 20 min and allow to cool before testing.