Antibody data
- Antibody Data
- Antigen structure
- References [2]
- Comments [0]
- Validations
- Western blot [3]
- Immunohistochemistry [6]
Submit
Validation data
Reference
Comment
Report error
- Product number
- NBP1-85358 - Provider product page

- Provider
- Novus Biologicals
- Proper citation
- Novus Cat#NBP1-85358, RRID:AB_11023265
- Product name
- Rabbit Polyclonal Cyclophilin B Antibody
- Antibody type
- Polyclonal
- Description
- Immunogen affinity purified. Specificity of human Cyclophilin B antibody verified on a Protein Array containing target protein plus 383 other non-specific proteins.
- Reactivity
- Human, Mouse, Rat
- Host
- Rabbit
- Isotype
- IgG
- Vial size
- 0.1 ml
- Concentration
- 0.1 mg/ml
- Storage
- Store at 4C short term. Aliquot and store at -20C long term. Avoid freeze-thaw cycles.
Submitted references Galectin-4, a novel predictor for lymph node metastasis in lung adenocarcinoma.
PPIB mutations cause severe osteogenesis imperfecta.
Hayashi T, Saito T, Fujimura T, Hara K, Takamochi K, Mitani K, Mineki R, Kazuno S, Oh S, Ueno T, Suzuki K, Yao T
PloS one 2013;8(12):e81883
PloS one 2013;8(12):e81883
PPIB mutations cause severe osteogenesis imperfecta.
van Dijk FS, Nesbitt IM, Zwikstra EH, Nikkels PG, Piersma SR, Fratantoni SA, Jimenez CR, Huizer M, Morsman AC, Cobben JM, van Roij MH, Elting MW, Verbeke JI, Wijnaendts LC, Shaw NJ, Högler W, McKeown C, Sistermans EA, Dalton A, Meijers-Heijboer H, Pals G
American journal of human genetics 2009 Oct;85(4):521-7
American journal of human genetics 2009 Oct;85(4):521-7
No comments: Submit comment
Supportive validation
- Submitted by
- Novus Biologicals (provider)
- Main image

- Experimental details
- Western Blot: Cyclophilin B Antibody [NBP1-85358] - Lane 1: Marker [kDa] 230, 130, 95, 72, 56, 36, 28, 17, 11. Lane 2: Human cell line RT-4. Lane 3: Human cell line U-251MG sp. Lane 4: Human plasma (IgG/HSA depleted). Lane 5: Human liver tissue. Lane 6: Human tonsil tissue
- Submitted by
- Novus Biologicals (provider)
- Main image

- Experimental details
- Western Blot: Cyclophilin B Antibody [NBP1-85358] - Analysis in U-251MG cells transfected with control siRNA, target specific siRNA probe #1 and #2. Remaining relative intensity is presented. Loading control: Anti-GAPDH.
- Submitted by
- Novus Biologicals (provider)
- Main image

- Experimental details
- Western Blot: Cyclophilin B Antibody [NBP1-85358] - Analysis in mouse cell line NIH-3T3 and rat cell line NBT-II.
Supportive validation
- Submitted by
- Novus Biologicals (provider)
- Main image

- Experimental details
- Immunohistochemistry-Paraffin: Cyclophilin B Antibody [NBP1-85358] - Staining of human skeletal muscle shows low expression as expected.
- Submitted by
- Novus Biologicals (provider)
- Main image

- Experimental details
- Immunohistochemistry-Paraffin: Cyclophilin B Antibody [NBP1-85358] - Staining of human thyroid gland shows high expression.
- Submitted by
- Novus Biologicals (provider)
- Main image

- Experimental details
- Immunohistochemistry-Paraffin: Cyclophilin B Antibody [NBP1-85358] - Staining in human thyroid gland and skeletal muscle tissues using anti-PPIB antibody. Corresponding PPIB RNA-seq data are presented for the same tissues.
- Submitted by
- Novus Biologicals (provider)
- Main image

- Experimental details
- Immunohistochemistry-Paraffin: Cyclophilin B Antibody [NBP1-85358] - Staining of human endometrium shows moderate granular cytoplasmic positivity in glandular cells.
- Submitted by
- Novus Biologicals (provider)
- Main image

- Experimental details
- Immunohistochemistry-Paraffin: Cyclophilin B Antibody [NBP1-85358] - Staining of human placenta shows strong granular cytoplasmic positivity in trophoblastic cells.
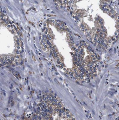
- Submitted by
- Novus Biologicals (provider)
- Main image

- Experimental details
- Immunohistochemistry-Paraffin: Cyclophilin B Antibody [NBP1-85358] - Staining of human prostate shows weak granular cytoplasmic positivity in glandular cells.