Antibody data
- Antibody Data
- Antigen structure
- References [0]
- Comments [0]
- Validations
- Western blot [1]
- Immunohistochemistry [1]
Submit
Validation data
Reference
Comment
Report error
- Product number
- TA309413 - Provider product page

- Provider
- OriGene
- Product name
- Mouse Monoclonal anti-KCNJ12 Antibody
- Antibody type
- Monoclonal
- Description
- Mouse Monoclonal anti-KCNJ12 Antibody
- Host
- Mouse
- Conjugate
- Unconjugated
- Epitope
- KCNJ12
- Isotype
- IgG
- Antibody clone number
- S124B-38
- Vial size
- 100 µg
- Concentration
- NULL
No comments: Submit comment
Supportive validation
- Submitted by
- OriGene (provider)
- Main image

- Experimental details
- Western blot analysis of Kir2.2 in a human cell line mix using a 1:1000 dilution of TA309413.
- Validation comment
- WB
Supportive validation
- Submitted by
- OriGene (provider)
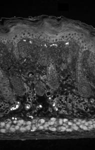
- Main image

- Experimental details
- IHC analysis of Kir2.2 in mouse backskin sections.
- Validation comment
- IHC