Antibody data
- Antibody Data
- Antigen structure
- References [0]
- Comments [0]
- Validations
- Immunohistochemistry [2]
Submit
Validation data
Reference
Comment
Report error
- Product number
- TA340641 - Provider product page

- Provider
- OriGene
- Product name
- Rabbit Polyclonal Anti-CHRM4 Antibody (Cytoplasmic Domain)
- Antibody type
- Polyclonal
- Description
- Rabbit Polyclonal Anti-CHRM4 Antibody (Cytoplasmic Domain)
- Reactivity
- Canine
- Host
- Rabbit
- Conjugate
- Unconjugated
- Epitope
- CHRM4
- Antibody clone number
- NULL
- Vial size
- 50 µg
- Concentration
- 1 mg/ml
No comments: Submit comment
Supportive validation
- Submitted by
- OriGene (provider)
- Main image

- Experimental details
- Anti-CHRM4 antibody IHC of human brain, neurons and glia. Immunohistochemistry of formalin-fixed, paraffin-embedded tissue after heat-induced antigen retrieval.
- Validation comment
- IHC
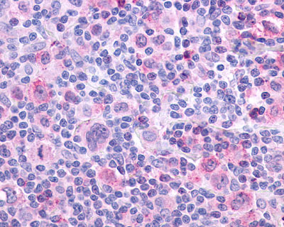
- Submitted by
- OriGene (provider)
- Main image

- Experimental details
- Anti-CHRM4 / M4 antibody IHC of human Lymph Node, Hodgkins Lymphoma. Immunohistochemistry of formalin-fixed, paraffin-embedded tissue after heat-induced antigen retrieval.
- Validation comment
- IHC