340061-RBM13-P0
antibody from Invitrogen Antibodies
Targeting: STING1
ERIS, FLJ38577, MITA, MPYS, NET23, STING, TMEM173
Antibody data
- Antibody Data
- Antigen structure
- References [0]
- Comments [0]
- Validations
- Immunohistochemistry [2]
Submit
Validation data
Reference
Comment
Report error
- Product number
- 340061-RBM13-P0 - Provider product page
- Provider
- Invitrogen Antibodies
- Product name
- STING1/TMEM173 Recombinant Rabbit Monoclonal Antibody (STING1/8187R)
- Antibody type
- Monoclonal
- Antigen
- Recombinant protein fragment
- Reactivity
- Human
- Host
- Rabbit
- Isotype
- IgG
- Antibody clone number
- STING1/8187R
- Vial size
- 20 µg
- Concentration
- 200 µg/mL
- Storage
- 4° C, do not freeze
No comments: Submit comment
Supportive validation
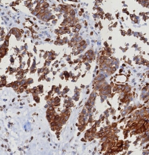
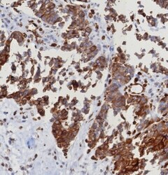
- Submitted by
- Invitrogen Antibodies (provider)
- Main image
- Experimental details
- Formalin-fixed, paraffin-embedded human serous ovarian carcinoma stained with STING1 Recombinant Rabbit Monoclonal Antibody (STING1/8187R). HIER: Tris/EDTA, pH9.0, 45 min. 2 °: HRP-polymer, 30 min. DAB, 5 min.
- Submitted by
- Invitrogen Antibodies (provider)
- Main image
- Experimental details
- Formalin-fixed, paraffin-embedded human spleen stained with STING1 Recombinant Rabbit Monoclonal Antibody (STING1/8187R). HIER: Tris/EDTA, pH9.0, 45 min. 2 °: HRP-polymer, 30 min. DAB, 5 min.