Antibody data
- Antibody Data
- Antigen structure
- References [0]
- Comments [0]
- Validations
- Western blot [1]
- Immunohistochemistry [2]
Submit
Validation data
Reference
Comment
Report error
- Product number
- A303-669A - Provider product page

- Provider
- Invitrogen Antibodies
- Product name
- SRp55 Polyclonal Antibody
- Antibody type
- Polyclonal
- Antigen
- Other
- Reactivity
- Human, Mouse
- Host
- Rabbit
- Isotype
- IgG
- Vial size
- 100 µL
- Concentration
- 1 mg/mL
- Storage
- 4° C
No comments: Submit comment
Supportive validation
- Submitted by
- Invitrogen Antibodies (provider)
- Main image

- Experimental details
- Detection of human and mouse SRp55 by western blot (h and m) and immunoprecipitation (h). Samples: Whole cell lysate from HeLa (15 and 50 µg for WB; 1 mg for IP, 20% of IP loaded), 293T (T; 50 µg), Jurkat (J; 50 µg) and mouse NIH3T3 (M; 50 µg) cells. Antibodies: Affinity purified rabbit anti-SRp55 antibody A303-669A used for WB at 0.1 µg/ml (A) and 1 µg/ml (B) and used for IP at 6 µg/mg lysate. SRp55 was also immunoprecipitated by rabbit anti-SRp55 antibody BL13266, which recognizes an upstream epitope. Detection: Chemiluminescence with exposure times of 3 minutes (A) and 30 seconds (B).
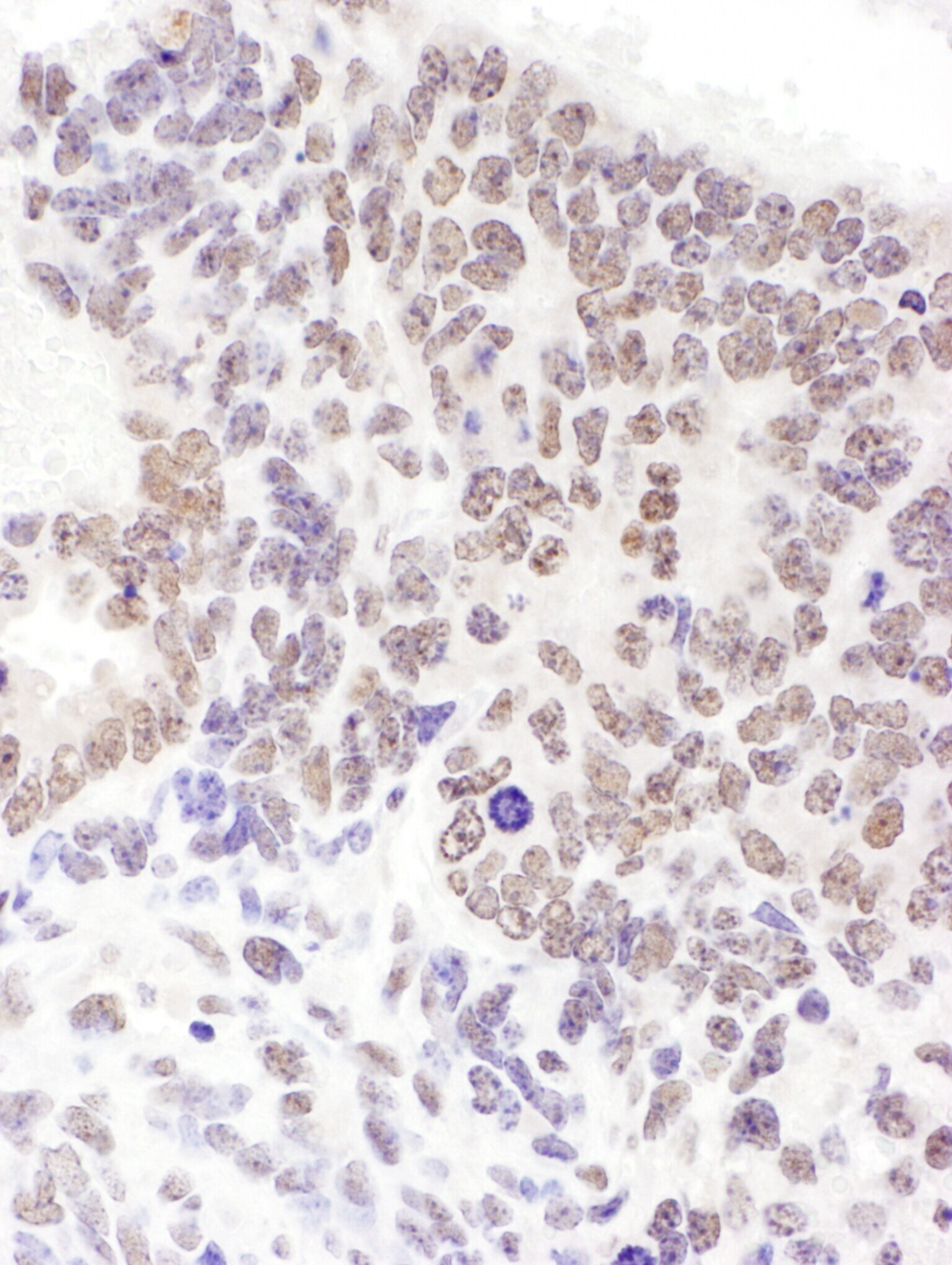
Supportive validation
- Submitted by
- Invitrogen Antibodies (provider)
- Main image

- Experimental details
- Detection of mouse SRp55 by immunohistochemistry. Sample: FFPE section of mouse teratoma. Antibody: Affinity purified rabbit anti- SRp55 (Cat. No. A303-669A Lot1) used at a dilution of 1:1,000 (1µg/ml). Detection: DAB.
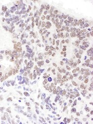
- Submitted by
- Invitrogen Antibodies (provider)
- Main image

- Experimental details
- Detection of human SRp55 by immunohistochemistry. Sample: FFPE section of human prostate carcinoma. Antibody: Affinity purified rabbit anti- SRp55 (Cat. No. A303-669A Lot1) used at a dilution of 1:1,000 (1µg/ml). Detection: DAB. Counterstain: Hematoxylin (blue).