TA349124
antibody from OriGene
Targeting: EDA
ED1, ED1-A1, ED1-A2, EDA-A1, EDA-A2, EDA1, EDA2, HED, ODT1, XHED, XLHED
Antibody data
- Antibody Data
- Antigen structure
- References [0]
- Comments [0]
- Validations
- Western blot [1]
- Immunocytochemistry [1]
- Immunohistochemistry [1]
Submit
Validation data
Reference
Comment
Report error
- Product number
- TA349124 - Provider product page

- Provider
- OriGene
- Product name
- Rabbit Polyclonal Anti-EDA1 Antibody
- Antibody type
- Polyclonal
- Description
- Rabbit Polyclonal Anti-EDA1 Antibody
- Host
- Rabbit
- Conjugate
- Unconjugated
- Epitope
- EDA
- Isotype
- IgG
- Antibody clone number
- NULL
- Vial size
- 100 µg
- Concentration
- 1 mg/mL
No comments: Submit comment
Supportive validation
- Submitted by
- OriGene (provider)
- Main image

- Experimental details
- Western blot analysis of EDA1 in mouse kidney tissue lysate with EDA1 antibody at 1 ug/mL in (A) the absence and (B) the presence of blocking peptide.
- Validation comment
- WB
Supportive validation
- Submitted by
- OriGene (provider)
- Main image

- Experimental details
- Immunofluorescence of EDA1 in mouse kidney tissue with EDA1 antibody at 20 ug/mL.
- Validation comment
- IF
Supportive validation
- Submitted by
- OriGene (provider)
- Main image

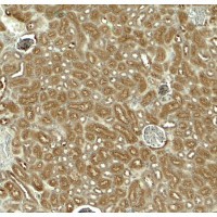
- Experimental details
- Immunohistochemistry of EDA1 in mouse kidney tissue with EDA1 antibody at 5 ug/mL.
- Validation comment
- IHC