Antibody data
- Antibody Data
- Antigen structure
- References [0]
- Comments [0]
- Validations
- Immunohistochemistry [1]
Submit
Validation data
Reference
Comment
Report error
- Product number
- AF3406a - Provider product page

- Provider
- Abcepta
- Product name
- TIAM2 Antibody (N-Term)
- Antibody type
- Polyclonal
- Antigen
- Synthetic peptide
- Description
- Peptide-affinity purified goat antibody
- Reactivity
- Mouse, Rat, Bovine, Canine, Porcine, Rabbit
- Host
- Goat
- Conjugate
- Unconjugated
- Isotype
- IgG
- Vial size
- 0.1mg
- Storage
- Maintain refrigerated at 2-8°C for up to 6 months. For long term storage store at -1105°C in small aliquots to prevent freeze-thaw cycles.
No comments: Submit comment
Supportive validation
- Submitted by
- Abcepta (provider)
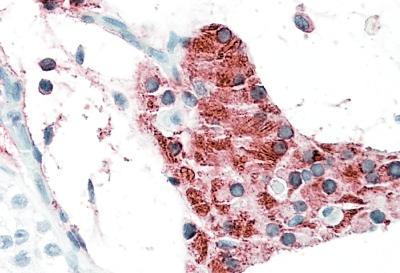
- Main image

- Experimental details
- "AF3406a (5 µg/ml) staining of paraffin embedded Human Testis. Steamed antigen retrieval with citrate buffer pH 6, AP-staining."