Antibody data
- Antibody Data
- Antigen structure
- References [1]
- Comments [0]
- Validations
- Western blot [1]
- Immunohistochemistry [9]
Submit
Validation data
Reference
Comment
Report error
- Product number
- NBP2-45995 - Provider product page

- Provider
- Novus Biologicals
- Product name
- Mouse Monoclonal TDO2 Antibody
- Antibody type
- Monoclonal
- Description
- Affinity purified.
- Reactivity
- Human
- Host
- Mouse
- Isotype
- IgG
- Vial size
- 0.1 ml
- Concentration
- 1 mg/ml
- Storage
- Store at -20C. Avoid freeze-thaw cycles.
Submitted references Non-NF2 mutations have a key effect on inhibitory immune checkpoints and tumor pathogenesis in skull base meningiomas.
Hao S, Huang G, Feng J, Li D, Wang K, Wang L, Wu Z, Wan H, Zhang L, Zhang J
Journal of neuro-oncology 2019 Aug;144(1):11-20
Journal of neuro-oncology 2019 Aug;144(1):11-20
No comments: Submit comment
Supportive validation
- Submitted by
- Novus Biologicals (provider)
- Main image

- Experimental details
- Western Blot: TDO2 Antibody (OTI2A4) [NBP2-45995] - Analysis of HEK293T cells were transfected with the pCMV6-ENTRY control (Left lane) or pCMV6-ENTRY TDO2.
Supportive validation
- Submitted by
- Novus Biologicals (provider)
- Main image

- Experimental details
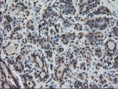
- Immunohistochemistry-Paraffin: TDO2 Antibody (OTI2A4) [NBP2-45995] - Staining of paraffin-embedded Adenocarcinoma of Human endometrium tissue using anti-TDO2 mouse monoclonal antibody. (Heat-induced epitope retrieval by 10mM citric buffer, pH6.0, 100C for 10min.
- Submitted by
- Novus Biologicals (provider)
- Main image

- Experimental details
- Immunohistochemistry-Paraffin: TDO2 Antibody (OTI2A4) [NBP2-45995] - Staining of paraffin-embedded Adenocarcinoma of Human ovary tissue using anti-TDO2 mouse monoclonal antibody. (Heat-induced epitope retrieval by 10mM citric buffer, pH6.0, 100C for 10min.,
- Submitted by
- Novus Biologicals (provider)
- Main image

- Experimental details
- Immunohistochemistry-Paraffin: TDO2 Antibody (OTI2A4) [NBP2-45995] - Staining of paraffin-embedded Carcinoma of Human lung tissue using anti-TDO2 mouse monoclonal antibody. (Heat-induced epitope retrieval by 10mM citric buffer, pH6.0, 100C for 10min.
- Submitted by
- Novus Biologicals (provider)
- Main image

- Experimental details
- Immunohistochemistry-Paraffin: TDO2 Antibody (OTI2A4) [NBP2-45995] - Staining of paraffin-embedded Human prostate tissue within the normal limits using anti-TDO2 mouse monoclonal antibody. (Heat-induced epitope retrieval by 10mM citric buffer, pH6.0, 100C for 10min.
- Submitted by
- Novus Biologicals (provider)
- Main image

- Experimental details
- Immunohistochemistry-Paraffin: TDO2 Antibody (OTI2A4) [NBP2-45995] - Staining of paraffin-embedded Human pancreas tissue within the normal limits using anti-TDO2 mouse monoclonal antibody. (Heat-induced epitope retrieval by 10mM citric buffer, pH6.0, 100C for 10min.
- Submitted by
- Novus Biologicals (provider)
- Main image

- Experimental details
- Immunohistochemistry-Paraffin: TDO2 Antibody (OTI2A4) [NBP2-45995] - Staining of paraffin-embedded Human breast tissue within the normal limits using anti-TDO2 mouse monoclonal antibody. (Heat-induced epitope retrieval by 10mM citric buffer, pH6.0, 100C for 10min.
- Submitted by
- Novus Biologicals (provider)
- Main image

- Experimental details
- Immunohistochemistry-Paraffin: TDO2 Antibody (OTI2A4) [NBP2-45995] - Staining of paraffin-embedded Human tonsil within the normal limits using anti-TDO2 mouse monoclonal antibody. (Heat-induced epitope retrieval by 10mM citric buffer, pH6.0, 100C for 10min.
- Submitted by
- Novus Biologicals (provider)
- Main image

- Experimental details
- Immunohistochemistry-Paraffin: TDO2 Antibody (OTI2A4) [NBP2-45995] - Staining of paraffin-embedded Human colon tissue within the normal limits using anti-TDO2 mouse monoclonal antibody. (Heat-induced epitope retrieval by 10mM citric buffer, pH6.0, 100C for 10min.
- Submitted by
- Novus Biologicals (provider)
- Main image

- Experimental details
- Immunohistochemistry-Paraffin: TDO2 Antibody (OTI2A4) [NBP2-45995] - Staining of paraffin-embedded Human liver tissue within the normal limits using anti-TDO2 mouse monoclonal antibody. (Heat-induced epitope retrieval by 10mM citric buffer, pH6.0, 100C for 10min.