Antibody data
- Antibody Data
- Antigen structure
- References [0]
- Comments [0]
- Validations
- Western blot [1]
- Immunocytochemistry [1]
- Immunohistochemistry [1]
Submit
Validation data
Reference
Comment
Report error
- Product number
- OAGA00360 - Provider product page

- Provider
- Aviva Systems Biology
- Product name
- FBXL6 antibody
- Antibody type
- Polyclonal
- Reactivity
- Human
- Host
- Rabbit
- Isotype
- IgG
- Vial size
- 100µl
- Storage
- Keep as concentrated solution. Aliquot and store at -20°C or below. Avoid multiple freeze-thaw cycles.
No comments: Submit comment
Supportive validation
- Submitted by
- Aviva Systems Biology (provider)
- Main image

- Experimental details
- Sample(30 ?g of whole cell lysate)A:HeLa S3 10% SDS PAGEOAGA00360 diluted at 1:1500
Supportive validation
- Submitted by
- Aviva Systems Biology (provider)
- Main image

- Experimental details
- FBL6 antibody [C3], C-term detects FBXL6 protein at cytoplasm by immunofluorescent analysis. Sample: HeLa cells were fixed in ice-cold MeOH for 5 min.Green: FBXL6 protein stained by FBL6 antibody [C3], C-term (OAGA00360) diluted at 1:500.Blue: Hoechst 33342 staining.
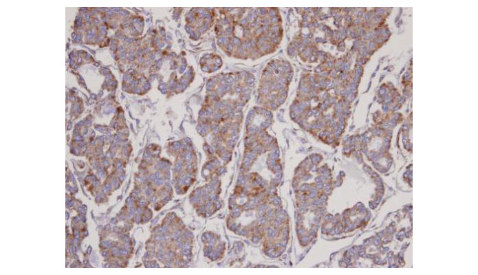
Supportive validation
- Submitted by
- Aviva Systems Biology (provider)
- Main image

- Experimental details
- Immunohistochemical analysis of paraffin-embedded Thyroid Ca, using FBL6(OAGA00360) antibody at 1:100 dilution.