Antibody data
- Antibody Data
- Antigen structure
- References [0]
- Comments [0]
- Validations
- Western blot [1]
- Immunocytochemistry [1]
- Immunohistochemistry [1]
Submit
Validation data
Reference
Comment
Report error
- Product number
- GTX104866 - Provider product page

- Provider
- GeneTex
- Proper citation
- GeneTex Cat#GTX104866, RRID:AB_1240804
- Product name
- FBL6 antibody [C3], C-term
- Antibody type
- Polyclonal
- Reactivity
- Human
- Host
- Rabbit
- Storage
- Keep as concentrated solution. Aliquot and store at -20°C or below. Avoid multiple freeze-thaw cycles.
No comments: Submit comment
Supportive validation
- Submitted by
- GeneTex (provider)
- Main image

- Experimental details
- Sample(30 μg of whole cell lysate)A:HeLa S3(GTX14654) 10% SDS PAGEGTX104866 diluted at 1:1500
Supportive validation
- Submitted by
- GeneTex (provider)
- Main image

- Experimental details
- FBL6 antibody [C3], C-term detects FBXL6 protein at cytoplasm by immunofluorescent analysis. Sample: HeLa cells were fixed in ice-cold MeOH for 5 min.Green: FBXL6 protein stained by FBL6 antibody [C3], C-term (GTX104866) diluted at 1:500.Blue: Hoechst 33342 staining.
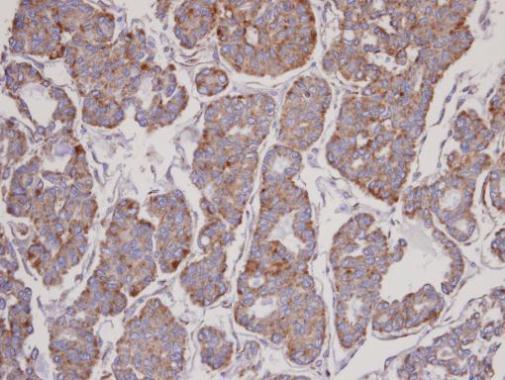
Supportive validation
- Submitted by
- GeneTex (provider)
- Main image

- Experimental details
- Immunohistochemical analysis of paraffin-embedded human thyroid cancer, using FBL6(GTX104866) antibody at 1:100 dilution.