Antibody data
- Antibody Data
- Antigen structure
- References [0]
- Comments [0]
- Validations
- Immunohistochemistry [1]
Submit
Validation data
Reference
Comment
Report error
- Product number
- STJ502262 - Provider product page

- Provider
- St John's Laboratory
- Product name
- Anti-PDE3A antibody (STJ502262)
- Antibody type
- Polyclonal
- Description
- Rabbit polyclonal antibody anti-PDE3A is suitable for use in ELISA, FRET, Immunocytochemistry, Immunofluorescence, Immunohistochemistry, Immunoprecipitation and Western Blot research applications.
- Reactivity
- Human, Mouse, Rat, Simian, Xenopus
- Host
- Rabbit
- Conjugate
- Unconjugated
- Antigen sequence
NA- Epitope
- NA
- Isotype
- IgG
- Antibody clone number
- NA
- Vial size
- NA
- Concentration
- NA
- Storage
- Store at-20°C for long term storage. Avoid freeze-thaw cycles.
- Handling
- NA
No comments: Submit comment
Supportive validation
- Submitted by
- St John's Laboratory (provider)
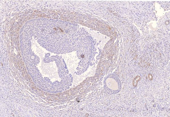
- Main image

- Experimental details
- Immunohistochemistry of human ovarian medulla with Anti-PDE3A primary antibody (STJ502262) at 1:100 dilution in buffer.
- Sample type
- NA
- Validation comment
- NA
- Primary Ab dilution
- NA
- Other comments
- NA
- Secondary Ab
- NA
- Secondary Ab dilution
- NA
- Protocol
- NA