Antibody data
- Antibody Data
- Antigen structure
- References [0]
- Comments [0]
- Validations
- Western blot [2]
- Immunohistochemistry [5]
Submit
Validation data
Reference
Comment
Report error
- Product number
- NBP1-85645 - Provider product page

- Provider
- Novus Biologicals
- Proper citation
- Novus Cat#NBP1-85645, RRID:AB_11032786
- Product name
- Rabbit Polyclonal PDE3A Antibody
- Antibody type
- Polyclonal
- Description
- Immunogen affinity purified. Specificity of human PDE3A antibody verified on a Protein Array containing target protein plus 383 other non-specific proteins.
- Reactivity
- Human
- Host
- Rabbit
- Isotype
- IgG
- Vial size
- 0.1 ml
- Storage
- Store at 4C short term. Aliquot and store at -20C long term. Avoid freeze-thaw cycles.
No comments: Submit comment
Supportive validation
- Submitted by
- Novus Biologicals (provider)
- Main image

- Experimental details
- Western Blot: PDE3A Antibody [NBP1-85645] - Analysis in human cell line HELA.
- Submitted by
- Novus Biologicals (provider)
- Main image

- Experimental details
- Western Blot: PDE3A Antibody [NBP1-85645] - Analysis in human cell lines HeLa and HEK293 using Anti-PDE3A antibody. Corresponding PDE3A RNA-seq data are presented for the same cell lines. Loading control: Anti-HSP90B1.
Supportive validation
- Submitted by
- Novus Biologicals (provider)
- Main image

- Experimental details
- Immunohistochemistry-Paraffin: PDE3A Antibody [NBP1-85645] - Staining of human colon shows strong cytoplasmic positivity in glandular cells.
- Submitted by
- Novus Biologicals (provider)
- Main image

- Experimental details
- Immunohistochemistry-Paraffin: PDE3A Antibody [NBP1-85645] - Staining of human heart muscle shows moderate cytoplasmic positivity in cardiomyocytes.
- Submitted by
- Novus Biologicals (provider)
- Main image

- Experimental details
- Immunohistochemistry-Paraffin: PDE3A Antibody [NBP1-85645] - Staining of human liver shows no positivity in hepatocytes as expected.
- Submitted by
- Novus Biologicals (provider)
- Main image

- Experimental details
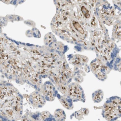
- Immunohistochemistry-Paraffin: PDE3A Antibody [NBP1-85645] - Staining of human placenta shows moderate cytoplasmic positivity in endothelial cells.
- Submitted by
- Novus Biologicals (provider)
- Main image

- Experimental details
- Immunohistochemistry-Paraffin: PDE3A Antibody [NBP1-85645] - Staining of human rectum shows moderate cytoplasmic positivity in glandular cells.