Antibody data
- Antibody Data
 - Antigen structure
 - References [0]
 - Comments [0]
 - Validations
 - Western blot [1]
 - Immunohistochemistry [1]
 
Submit
Validation data
Reference
Comment
Report error
- Product number
 - TA337911 - Provider product page

 - Provider
 - OriGene
 - Product name
 - Rabbit Polyclonal Anti-TRIOBP Antibody
 - Antibody type
 - Polyclonal
 - Description
 - Rabbit Polyclonal Anti-TRIOBP Antibody
 - Host
 - Rabbit
 - Conjugate
 - Unconjugated
 - Epitope
 - TRIOBP
 - Isotype
 - IgG
 - Antibody clone number
 - NULL
 - Vial size
 - 100 µl
 - Concentration
 - NULL
 
				No comments: Submit comment	
	
			
							
					Supportive validation
					
									
				
				- Submitted by
 - OriGene (provider)
 - Main image
 
- Experimental details
 - WB Suggested Anti-TRIOBP Antibody Titration: 0.2-1 ug/ml; ELISA Titer: 1:62500; Positive Control: Human brain
 - Validation comment
 - WB
 
							
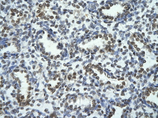
					Supportive validation
					
									
				
		- Submitted by
 - OriGene (provider)
 - Main image
 
- Experimental details
 - Rabbit Anti-TRIOBP Antibody; Paraffin Embedded Tissue: Human alveolar cell; Cellular Data: Epithelial cells of renal tubule; Antibody Concentration: 4.0-8.0 ug/ml; Magnification: 400X
 - Validation comment
 - IHC