Antibody data
- Antibody Data
- Antigen structure
- References [25]
- Comments [0]
- Validations
- Western blot [3]
- Immunoprecipitation [1]
- Immunohistochemistry [6]
Submit
Validation data
Reference
Comment
Report error
- Product number
- NB100-513 - Provider product page 
- Provider
- Novus Biologicals
- Proper citation
- Novus Cat#NB100-513, RRID:AB_2257070
- Product name
- Rabbit Polyclonal USP7 Antibody
- Antibody type
- Polyclonal
- Description
- Immunogen affinity purified.
- Reactivity
- Human, Mouse, Simian
- Host
- Rabbit
- Isotype
- IgG
- Vial size
- 100 ul
- Concentration
- 1.0 mg/ml
- Storage
- Store at 4C. Do not freeze.
Submitted references		The stress-responsive gene ATF3 regulates the histone acetyltransferase Tip60.
				
High levels of Hdmx promote cell growth in a subset of uveal melanomas.
				
KIAA1530 protein is recruited by Cockayne syndrome complementation group protein A (CSA) to participate in transcription-coupled repair (TCR).
				
UV-sensitive syndrome protein UVSSA recruits USP7 to regulate transcription-coupled repair.
				
Microarray-based identification of age-dependent differences in gene expression of human dermal fibroblasts.
				
The RNA-binding E3 ubiquitin ligase MEX-3C links ubiquitination with MHC-I mRNA degradation.
				
Alternate splicing of the p53 inhibitor HDMX offers a superior prognostic biomarker than p53 mutation in human cancer.
				
The USP7/Dnmt1 complex stimulates the DNA methylation activity of Dnmt1 and regulates the stability of UHRF1.
				
Protein interactions of phosphatase and tensin homologue (PTEN) and its cancer-associated G20E mutant compared by using stable isotope labeling by amino acids in cell culture-based parallel affinity purification.
				
USP7/HAUSP stimulates repair of oxidative DNA lesions.
				
Human cytomegalovirus immediate early gene expression in the osteosarcoma line U2OS is repressed by the cell protein ATRX.
				
Epstein-Barr virus nuclear antigen 1 Hijacks the host kinase CK2 to disrupt PML nuclear bodies.
				
Regulation of ICP0-null mutant herpes simplex virus type 1 infection by ND10 components ATRX and hDaxx.
				
Telomeric DNA mediates de novo PML body formation.
				
USP7 counteracts SCFbetaTrCP- but not APCCdh1-mediated proteolysis of Claspin.
				
HSV ICP0 recruits USP7 to modulate TLR-mediated innate response.
				
The deubiquitinylation and localization of PTEN are regulated by a HAUSP-PML network.
				
Epitope tagging of endogenous genes in diverse human cell lines.
				
The tumour suppressor RASSF1A promotes MDM2 self-ubiquitination by disrupting the MDM2-DAXX-HAUSP complex.
				
Down-regulation of the TGF-beta target gene, PTPRK, by the Epstein-Barr virus encoded EBNA1 contributes to the growth and survival of Hodgkin lymphoma cells.
				
Human cytomegalovirus protein pp71 displaces the chromatin-associated factor ATRX from nuclear domain 10 at early stages of infection.
				
Critical role for Daxx in regulating Mdm2.
				
Loss of HAUSP-mediated deubiquitination contributes to DNA damage-induced destabilization of Hdmx and Hdm2.
				
Structure of the p53 binding domain of HAUSP/USP7 bound to Epstein-Barr nuclear antigen 1 implications for EBV-mediated immortalization.
				
A RING finger ubiquitin ligase is protected from autocatalyzed ubiquitination and degradation by binding to ubiquitin-specific protease USP7.
				
		
	
			Cui H, Guo M, Xu D, Ding ZC, Zhou G, Ding HF, Zhang J, Tang Y, Yan C
Nature communications 2015 Apr 13;6:6752
		Nature communications 2015 Apr 13;6:6752
High levels of Hdmx promote cell growth in a subset of uveal melanomas.
			de Lange J, Teunisse AF, Vries MV, Lodder K, Lam S, Luyten GP, Bernal F, Jager MJ, Jochemsen AG
American journal of cancer research 2012;2(5):492-507
		American journal of cancer research 2012;2(5):492-507
KIAA1530 protein is recruited by Cockayne syndrome complementation group protein A (CSA) to participate in transcription-coupled repair (TCR).
			Fei J, Chen J
The Journal of biological chemistry 2012 Oct 12;287(42):35118-26
		The Journal of biological chemistry 2012 Oct 12;287(42):35118-26
UV-sensitive syndrome protein UVSSA recruits USP7 to regulate transcription-coupled repair.
			Schwertman P, Lagarou A, Dekkers DH, Raams A, van der Hoek AC, Laffeber C, Hoeijmakers JH, Demmers JA, Fousteri M, Vermeulen W, Marteijn JA
Nature genetics 2012 May;44(5):598-602
		Nature genetics 2012 May;44(5):598-602
Microarray-based identification of age-dependent differences in gene expression of human dermal fibroblasts.
			Dekker P, Gunn D, McBryan T, Dirks RW, van Heemst D, Lim FL, Jochemsen AG, Verlaan-de Vries M, Nagel J, Adams PD, Tanke HJ, Westendorp RG, Maier AB
Mechanisms of ageing and development 2012 Jul;133(7):498-507
		Mechanisms of ageing and development 2012 Jul;133(7):498-507
The RNA-binding E3 ubiquitin ligase MEX-3C links ubiquitination with MHC-I mRNA degradation.
			Cano F, Bye H, Duncan LM, Buchet-Poyau K, Billaud M, Wills MR, Lehner PJ
The EMBO journal 2012 Aug 29;31(17):3596-606
		The EMBO journal 2012 Aug 29;31(17):3596-606
Alternate splicing of the p53 inhibitor HDMX offers a superior prognostic biomarker than p53 mutation in human cancer.
			Lenos K, Grawenda AM, Lodder K, Kuijjer ML, Teunisse AF, Repapi E, Grochola LF, Bartel F, Hogendoorn PC, Wuerl P, Taubert H, Cleton-Jansen AM, Bond GL, Jochemsen AG
Cancer research 2012 Aug 15;72(16):4074-84
		Cancer research 2012 Aug 15;72(16):4074-84
The USP7/Dnmt1 complex stimulates the DNA methylation activity of Dnmt1 and regulates the stability of UHRF1.
			Felle M, Joppien S, Németh A, Diermeier S, Thalhammer V, Dobner T, Kremmer E, Kappler R, Längst G
Nucleic acids research 2011 Oct;39(19):8355-65
		Nucleic acids research 2011 Oct;39(19):8355-65
Protein interactions of phosphatase and tensin homologue (PTEN) and its cancer-associated G20E mutant compared by using stable isotope labeling by amino acids in cell culture-based parallel affinity purification.
			Gunaratne J, Goh MX, Swa HL, Lee FY, Sanford E, Wong LM, Hogue KA, Blackstock WP, Okumura K
The Journal of biological chemistry 2011 May 20;286(20):18093-103
		The Journal of biological chemistry 2011 May 20;286(20):18093-103
USP7/HAUSP stimulates repair of oxidative DNA lesions.
			Khoronenkova SV, Dianova II, Parsons JL, Dianov GL
Nucleic acids research 2011 Apr;39(7):2604-9
		Nucleic acids research 2011 Apr;39(7):2604-9
Human cytomegalovirus immediate early gene expression in the osteosarcoma line U2OS is repressed by the cell protein ATRX.
			McFarlane S, Preston CM
Virus research 2011 Apr;157(1):47-53
		Virus research 2011 Apr;157(1):47-53
Epstein-Barr virus nuclear antigen 1 Hijacks the host kinase CK2 to disrupt PML nuclear bodies.
			Sivachandran N, Cao JY, Frappier L
Journal of virology 2010 Nov;84(21):11113-23
		Journal of virology 2010 Nov;84(21):11113-23
Regulation of ICP0-null mutant herpes simplex virus type 1 infection by ND10 components ATRX and hDaxx.
			Lukashchuk V, Everett RD
Journal of virology 2010 Apr;84(8):4026-40
		Journal of virology 2010 Apr;84(8):4026-40
Telomeric DNA mediates de novo PML body formation.
			Brouwer AK, Schimmel J, Wiegant JC, Vertegaal AC, Tanke HJ, Dirks RW
Molecular biology of the cell 2009 Nov;20(22):4804-15
		Molecular biology of the cell 2009 Nov;20(22):4804-15
USP7 counteracts SCFbetaTrCP- but not APCCdh1-mediated proteolysis of Claspin.
			Faustrup H, Bekker-Jensen S, Bartek J, Lukas J, Mailand N
The Journal of cell biology 2009 Jan 12;184(1):13-9
		The Journal of cell biology 2009 Jan 12;184(1):13-9
HSV ICP0 recruits USP7 to modulate TLR-mediated innate response.
			Daubeuf S, Singh D, Tan Y, Liu H, Federoff HJ, Bowers WJ, Tolba K
Blood 2009 Apr 2;113(14):3264-75
		Blood 2009 Apr 2;113(14):3264-75
The deubiquitinylation and localization of PTEN are regulated by a HAUSP-PML network.
			Song MS, Salmena L, Carracedo A, Egia A, Lo-Coco F, Teruya-Feldstein J, Pandolfi PP
Nature 2008 Oct 9;455(7214):813-7
		Nature 2008 Oct 9;455(7214):813-7
Epitope tagging of endogenous genes in diverse human cell lines.
			Kim JS, Bonifant C, Bunz F, Lane WS, Waldman T
Nucleic acids research 2008 Nov;36(19):e127
		Nucleic acids research 2008 Nov;36(19):e127
The tumour suppressor RASSF1A promotes MDM2 self-ubiquitination by disrupting the MDM2-DAXX-HAUSP complex.
			Song MS, Song SJ, Kim SY, Oh HJ, Lim DS
The EMBO journal 2008 Jul 9;27(13):1863-74
		The EMBO journal 2008 Jul 9;27(13):1863-74
Down-regulation of the TGF-beta target gene, PTPRK, by the Epstein-Barr virus encoded EBNA1 contributes to the growth and survival of Hodgkin lymphoma cells.
			Flavell JR, Baumforth KR, Wood VH, Davies GL, Wei W, Reynolds GM, Morgan S, Boyce A, Kelly GL, Young LS, Murray PG
Blood 2008 Jan 1;111(1):292-301
		Blood 2008 Jan 1;111(1):292-301
Human cytomegalovirus protein pp71 displaces the chromatin-associated factor ATRX from nuclear domain 10 at early stages of infection.
			Lukashchuk V, McFarlane S, Everett RD, Preston CM
Journal of virology 2008 Dec;82(24):12543-54
		Journal of virology 2008 Dec;82(24):12543-54
Critical role for Daxx in regulating Mdm2.
			Tang J, Qu LK, Zhang J, Wang W, Michaelson JS, Degenhardt YY, El-Deiry WS, Yang X
Nature cell biology 2006 Aug;8(8):855-62
		Nature cell biology 2006 Aug;8(8):855-62
Loss of HAUSP-mediated deubiquitination contributes to DNA damage-induced destabilization of Hdmx and Hdm2.
			Meulmeester E, Maurice MM, Boutell C, Teunisse AF, Ovaa H, Abraham TE, Dirks RW, Jochemsen AG
Molecular cell 2005 May 27;18(5):565-76
		Molecular cell 2005 May 27;18(5):565-76
Structure of the p53 binding domain of HAUSP/USP7 bound to Epstein-Barr nuclear antigen 1 implications for EBV-mediated immortalization.
			Saridakis V, Sheng Y, Sarkari F, Holowaty MN, Shire K, Nguyen T, Zhang RG, Liao J, Lee W, Edwards AM, Arrowsmith CH, Frappier L
Molecular cell 2005 Apr 1;18(1):25-36
		Molecular cell 2005 Apr 1;18(1):25-36
A RING finger ubiquitin ligase is protected from autocatalyzed ubiquitination and degradation by binding to ubiquitin-specific protease USP7.
			Canning M, Boutell C, Parkinson J, Everett RD
The Journal of biological chemistry 2004 Sep 10;279(37):38160-8
		The Journal of biological chemistry 2004 Sep 10;279(37):38160-8
				No comments: Submit comment	
	
			
							
					Supportive validation
					
									
				
				- Submitted by
- Novus Biologicals (provider)
- Main image
 
- Experimental details
- Western Blot: USP7 Antibody [NB100-513] - Detection of Human and Mouse USP7 by Western Blot (h and m) and Immunoprecipitation (h). Samples: Whole cell lysate from HeLa (5, 15 and 50 ug for WB; 1 mg for IP, 20% of IP loaded), 293T (T; 50 ug) and mouse NIH3T3 (M; 50 ug) cells. Antibodies: Affinity purified rabbit anti-USP7 antibody NB100-513 (lot NB100-513-3) used for WB at 0.1 ug/ml (A) and 1 ug/ml (B) and used for IP at 3 ug/mg lysate. USP7 was also immunoprecipitated by a previous lot (lot NB100-513-2) of this antibody. Detection: Chemiluminescence with exposure times of 10 seconds (A) and 1 second (B).
- Submitted by
- Novus Biologicals (provider)
- Main image
 
- Experimental details
- Western Blot: USP7 Antibody [NB100-513] - Whole cell lysate (50 ug) from HeLa, HEK293T, and mouse NIH 3T3 cells prepared using NETN lysis buffer. Antibody: Affinity purified rabbit anti-USP7 antibody used for WB at 0.1 ug/ml. Detection: chemiluminescence with an exposure time of 1 second.
- Submitted by
- Novus Biologicals (provider)
- Main image
 
- Experimental details
- Western Blot: USP7 Antibody [NB100-513] - Samples: Whole cell lysate (10 ug) from HEK293T, RKO, Hep-G2, Jurkat, HeLa, TCMK-1, and NIH 3T3 cells prepared using NETN lysis buffer. Antibody: Affinity purified rabbit anti-USP7 antibody used for WB at 0.04 ug/ml. Detection: Chemiluminescence with an exposure time of 10 seconds
							
					Supportive validation
					
									
				
				- Submitted by
- Novus Biologicals (provider)
- Main image
 
- Experimental details
- Immunoprecipitation: USP7 Antibody [NB100-513] - Detection of human USP7 by western blot of immunoprecipitates. Samples: Whole cell lysate (0.5 or 1.0 mg per IP reaction; 20% of IP loaded) from HeLa cells prepared using NETN lysis buffer. Antibodies: Affinity purified rabbit anti-USP7 antibody NB100-513 (lot NB100-513-8) used for IP at 6 ug per reaction. USP7 was also immunoprecipitated by a previous lot of this antibody (lot NB100-513-7) and another rabbit anti-USP7 antibody. For blotting immunoprecipitated USP7, NB100-513 was used at 1 ug/ml. Detection: Chemiluminescence with an exposure time of 1 second.
							
					Supportive validation
					
									
				
		- Submitted by
- Novus Biologicals (provider)
- Main image
 
- Experimental details
- Immunohistochemistry-Paraffin: USP7 Antibody [NB100-513] - FFPE sections of human ovarian carcinoma. Antibodies: Affinity purified rabbit anti-USP7 (left) and (right) used at a dilution of 1:1,000 (1ug/ml). Detection: DAB
- Submitted by
- Novus Biologicals (provider)
- Main image
 
- Experimental details
- Immunohistochemistry-Paraffin: USP7 Antibody [NB100-513] - FFPE sections of mouse renal cell carcinoma. Antibodies: Affinity purified rabbit anti-USP7 (left) and (right) used at a dilution of 1:1,000 (1ug/ml). Detection: DAB
- Submitted by
- Novus Biologicals (provider)
- Main image
 
- Experimental details
- Immunohistochemistry-Paraffin: USP7 Antibody [NB100-513] - FFPE section of human breast adenocarcinoma. Antibody used at a dilution of 1:100. Detection: Green-fluorescent Anti-rabbit IgG FITC conjugated used at a dilution of 1:100.
- Submitted by
- Novus Biologicals (provider)
- Main image
 
- Experimental details
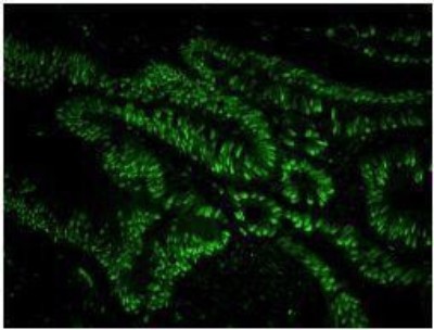
- Immunohistochemistry-Paraffin: USP7 Antibody [NB100-513] - FFPE section of human colon adenocarcinoma. Antibody used at a dilution of 1:100. Detection: Green-fluorescent Anti-rabbit IgG FITC conjugated used at a dilution of 1:100
- Submitted by
- Novus Biologicals (provider)
- Main image
 
- Experimental details
- Immunohistochemistry-Paraffin: USP7 Antibody [NB100-513] - Sample: FFPE section of mouse renal cell carcinoma. Antibody: Affinity purified rabbit anti-USP7 used at 1:5,000 (0.2ug/ml). Detection: DAB
- Submitted by
- Novus Biologicals (provider)
- Main image
 
- Experimental details
- Immunohistochemistry-Paraffin: USP7 Antibody [NB100-513] - Sample: FFPE section of human ovarian carcinoma. Antibody: Affinity purified rabbit anti-USP7 used at 1:5,000 (0.2ug/ml). Detection: DAB