Antibody data
- Antibody Data
 - Antigen structure
 - References [0]
 - Comments [0]
 - Validations
 - Immunocytochemistry [2]
 - Immunohistochemistry [2]
 
Submit
Validation data
Reference
Comment
Report error
- Product number
 - SP4147P - Provider product page

 - Provider
 - OriGene
 - Product name
 - Frizzled 6 (FZD6) (N-term, Extracel. Dom.) rabbit polyclonal antibody, Aff - Purified
 - Antibody type
 - Polyclonal
 - Description
 - Frizzled 6 (FZD6) (N-term, Extracel. Dom.) rabbit polyclonal antibody, Aff - Purified
 - Host
 - Rabbit
 - Conjugate
 - Unconjugated
 - Epitope
 - FZD6
 - Antibody clone number
 - NULL
 - Vial size
 - 50 µg
 - Concentration
 - 1.0 mg/ml
 
				No comments: Submit comment	
	
			
							
					Supportive validation
					
									
				
				- Submitted by
 - OriGene (provider)
 - Main image
 
- Experimental details
 - Cells expressing vector only - immunostained with target antibody
 - Validation comment
 - IF
 
- Submitted by
 - OriGene (provider)
 - Main image
 
- Experimental details
 - Cells expressing target protein - immunostained with target antibody
 - Validation comment
 - IF
 
							
					Supportive validation
					
									
				
		- Submitted by
 - OriGene (provider)
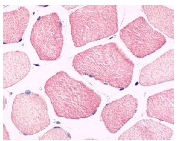
 - Main image
 
- Experimental details
 - Immunohistochemical staining of Skeletal Muscle using anti- FZD6 antibody
 - Validation comment
 - IHC
 
- Submitted by
 - OriGene (provider)
 - Main image
 
- Experimental details
 - Immunohistochemical staining of Pancreas using anti- FZD6 antibody
 - Validation comment
 - IHC