Antibody data
- Antibody Data
- Antigen structure
- References [0]
- Comments [0]
- Validations
- Immunohistochemistry [1]
Submit
Validation data
Reference
Comment
Report error
- Product number
- AP31860PU-N - Provider product page

- Provider
- Acris Antibodies GmbH
- Proper citation
- Acris Antibodies GmbH Cat#AP31860PU-N, RRID:AB_11217750
- Product name
- anti Max-like protein X
- Antibody type
- Polyclonal
- Antigen
- Peptide with sequence from the internal region of the protein sequence according to NP_937848.1; NP_937847.1; NP_733752.1.
- Reactivity
- Human, Mouse, Rat, Bovine, Canine
- Host
- Goat
- Vial size
- 0.1 mg
- Concentration
- 0.5 mg/ml
No comments: Submit comment
Supportive validation
- Submitted by
- Acris Antibodies GmbH (provider)
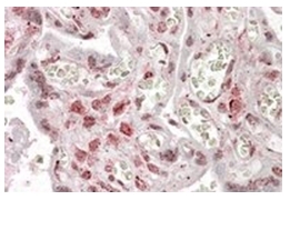
- Main image

- Experimental details
- Staining of paraffin embedded Human Placenta using MLX Antibody Cat.-No AP31860PU-N at 3.8 µg/ml. Steamed antigen retrieval with citrate buffer pH 6, AP-staining.