Antibody data
- Antibody Data
- Antigen structure
- References [0]
- Comments [0]
- Validations
- Immunocytochemistry [2]
- Immunohistochemistry [6]
Submit
Validation data
Reference
Comment
Report error
- Product number
- PA5-57605 - Provider product page

- Provider
- Invitrogen Antibodies
- Product name
- VSIG1 Polyclonal Antibody
- Antibody type
- Polyclonal
- Antigen
- Recombinant protein fragment
- Description
- Immunogen sequence: KAKAKAKERN SKTIAELEPM TKINPRGESE AMPREDATQL EVTLPSSIHE TGPDTIQEPD Highest antigen sequence identity to the following orthologs: Mouse - 46%, Rat - 45%.
- Reactivity
- Human
- Host
- Rabbit
- Isotype
- IgG
- Vial size
- 100 μL
- Concentration
- 0.7 mg/mL
- Storage
- Store at 4°C short term. For long term storage, store at -20°C, avoiding freeze/thaw cycles.
No comments: Submit comment
Supportive validation
- Submitted by
- Invitrogen Antibodies (provider)
- Main image

- Experimental details
- Immunofluorescent staining of VSIG1 in human cell line PC-3 using a VSIG1 Polyclonal Antibody (Product # PA5-57605) shows localization to cytosol and vesicles.
- Submitted by
- Invitrogen Antibodies (provider)
- Main image

- Experimental details
- Immunofluorescent staining of VSIG1 in human cell line PC-3 using a VSIG1 Polyclonal Antibody (Product # PA5-57605) shows localization to cytosol and vesicles.
Supportive validation
- Submitted by
- Invitrogen Antibodies (provider)
- Main image

- Experimental details
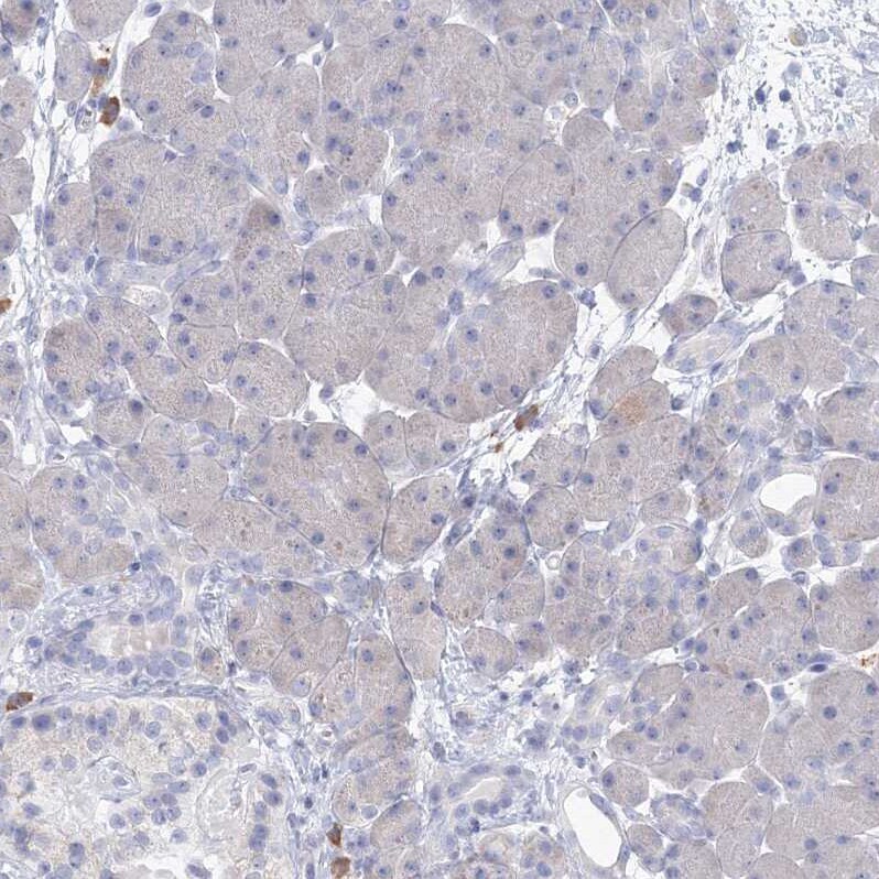
- Immunohistochemical analysis of VSIG1 in human pancreas using VSIG1 Polyclonal Antibody (Product # PA5-57605) shows no membranous positivity in exocrine glandular cells as expected.
- Submitted by
- Invitrogen Antibodies (provider)
- Main image

- Experimental details
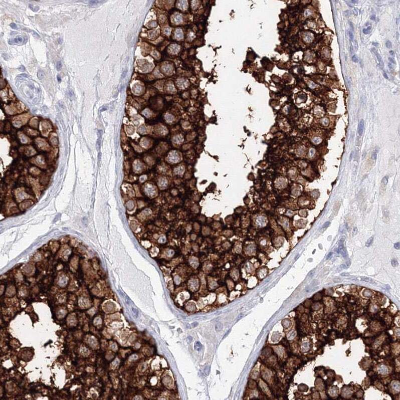
- Immunohistochemical analysis of VSIG1 in human testis using VSIG1 Polyclonal Antibody (Product # PA5-57605) shows strong membranous positivity in cells in seminiferous ducts.
- Submitted by
- Invitrogen Antibodies (provider)
- Main image

- Experimental details
- Immunohistochemical staining of VSIG1 in human stomach and liver tissues using VSIG1 Polyclonal Antibody (Product # PA5-57605). Corresponding VSIG1 RNA-seq data are presented for the same tissues.
- Submitted by
- Invitrogen Antibodies (provider)
- Main image

- Experimental details
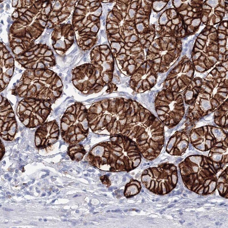
- Immunohistochemical staining of VSIG1 in human stomach using VSIG1 Polyclonal Antibody (Product # PA5-57605) shows high expression.
- Submitted by
- Invitrogen Antibodies (provider)
- Main image

- Experimental details
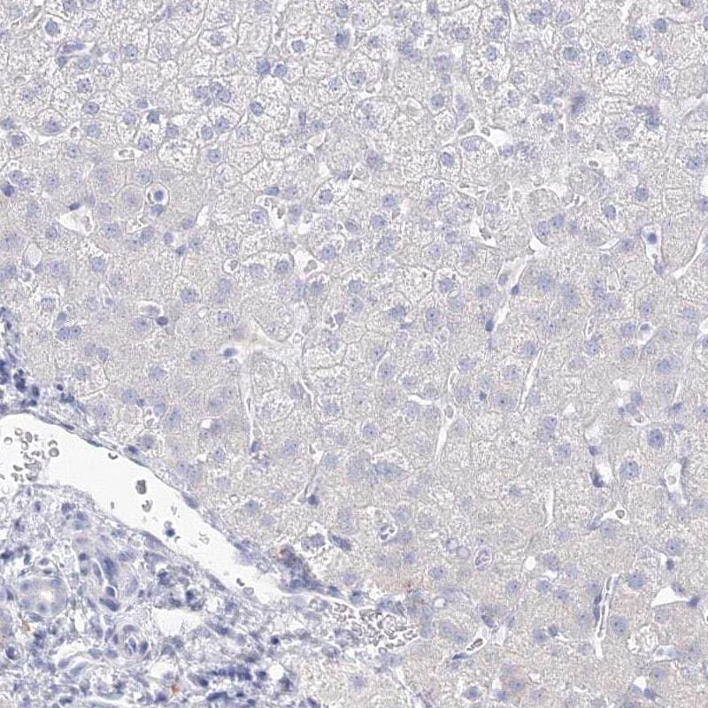
- Immunohistochemical staining of VSIG1 in human liver using VSIG1 Polyclonal Antibody (Product # PA5-57605) shows low expression as expected.
- Submitted by
- Invitrogen Antibodies (provider)
- Main image

- Experimental details
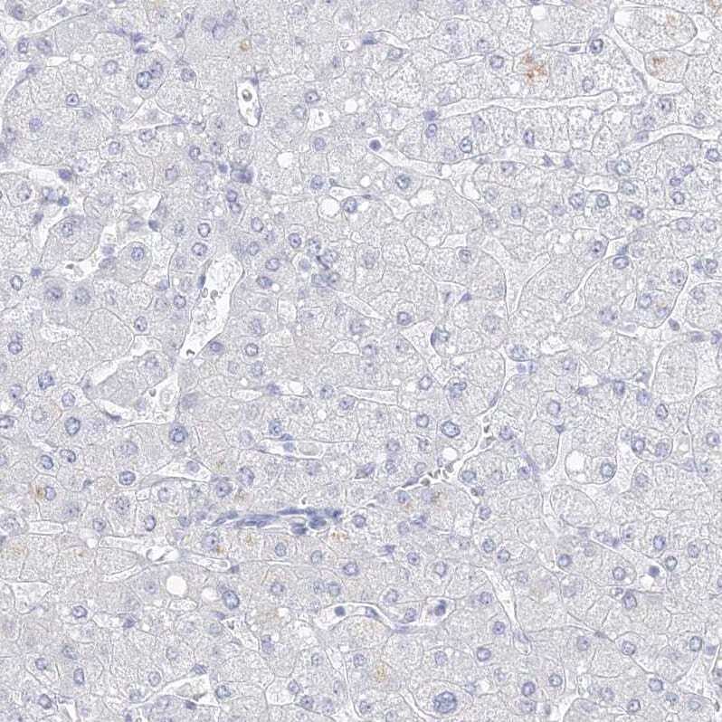
- Immunohistochemical analysis of VSIG1 in human liver using VSIG1 Polyclonal Antibody (Product # PA5-57605) shows no membranous positivity in hepatocytes as expected.