Antibody data
- Antibody Data
 - Antigen structure
 - References [0]
 - Comments [0]
 - Validations
 - Western blot [1]
 - Immunohistochemistry [2]
 
Submit
Validation data
Reference
Comment
Report error
- Product number
 - LS-B1778 - Provider product page

 - Provider
 - LSBio
 - Proper citation
 - LifeSpan Cat#LS-B1778, RRID:AB_2113263
 - Product name
 - IHC-plus™ C5AR2 / GPR77 / C5L2 Antibody (aa1-50) LS-B1778
 - Antibody type
 - Polyclonal
 - Description
 - Immunoaffinity purified
 - Reactivity
 - Human
 - Host
 - Rabbit
 - Isotype
 - IgG
 - Storage
 - Short term: store at 4°C. Long term: aliquot and store at -20°C. Avoid freeze-thaw cycles.
 
				No comments: Submit comment	
	
			
							
					Enhanced validation
					
									
				
				- Submitted by
 - LSBio (provider)
 - Enhanced method
 - Genetic validation
 - Main image
 
- Experimental details
 - Western blot ofugPR77 in human testis?cell lysate in the 1) absence and 2) presence of immunizing peptide using antibody at 0.5 ug/ml.
 
							
					Enhanced validation
					
									
				
		- Submitted by
 - LSBio (provider)
 - Enhanced method
 - Genetic validation
 - Main image
 
- Experimental details
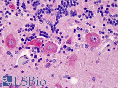
 - Anti-C5L2 antibody IHC of human brain, cerebellum. Immunohistochemistry of formalin-fixed, paraffin-embedded tissue after heat-induced antigen retrieval. Antibody concentration 10 ug/ml.
 
- Submitted by
 - LSBio (provider)
 - Main image
 
- Experimental details
 - Anti-C5L2 antibody IHC of human brain, cerebellum. Immunohistochemistry of formalin-fixed, paraffin-embedded tissue after heat-induced antigen retrieval. Antibody concentration 10 ug/ml.