Antibody data
- Antibody Data
 - Antigen structure
 - References [0]
 - Comments [0]
 - Validations
 - Western blot [1]
 - Immunohistochemistry [1]
 
Submit
Validation data
Reference
Comment
Report error
- Product number
 - AP21832PU-N - Provider product page

 - Provider
 - Acris Antibodies GmbH
 - Proper citation
 - Acris Antibodies GmbH Cat#AP21832PU-N, RRID:AB_10753677
 - Product name
 - anti GPR77 / C5L2
 - Antibody type
 - Polyclonal
 - Antigen
 - A portion of amino acids 1-50 of human GPR77
 - Reactivity
 - Human, Simian
 - Host
 - Rabbit
 - Vial size
 - 0.1 mg
 - Concentration
 - 0,5 mg/ml
 
				No comments: Submit comment	
	
			
							
					Supportive validation
					
									
				
				- Submitted by
 - Acris Antibodies GmbH (provider)
 - Main image
 
- Experimental details
 - Western blot analysis of GPR77 in human testis cell lysate in the 1) absence and 2) presence of immunizing peptide using AP21832PU-N at 0.5 µg/ml.
 
							
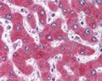
					Supportive validation
					
									
				
		- Submitted by
 - Acris Antibodies GmbH (provider)
 - Main image
 
- Experimental details
 - IHC analysis of human liver using AP21832PU-N at 10 µg/ml.