OAAF02889
antibody from Aviva Systems Biology
Targeting: CELSR2
ADGRC2, CDHF10, EGFL2, Flamingo1, KIAA0279, MEGF3
Antibody data
- Antibody Data
- Antigen structure
- References [0]
- Comments [0]
- Validations
- Immunocytochemistry [1]
- Immunohistochemistry [1]
Submit
Validation data
Reference
Comment
Report error
- Product number
- OAAF02889 - Provider product page

- Provider
- Aviva Systems Biology
- Product name
- CELSR2 Antibody
- Antibody type
- Polyclonal
- Reactivity
- Human, Mouse, Rat
- Host
- Rabbit
- Vial size
- 100µg
- Storage
- Store at -20°C/1 year
No comments: Submit comment
Supportive validation
- Submitted by
- Aviva Systems Biology (provider)
- Main image

- Experimental details
- Immunofluorescence analysis of COS-7 cells, using CELSR2 antibody. The picture on the right is treated with the synthesized peptide.
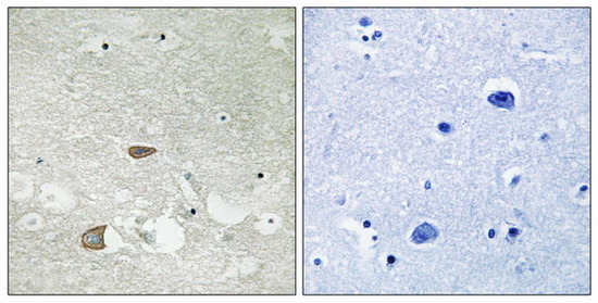
Supportive validation
- Submitted by
- Aviva Systems Biology (provider)
- Main image

- Experimental details
- Immunohistochemistry analysis of paraffin-embedded human brain tissue using CELSR2 antibody. The picture on the right is treated with the synthesized peptide.