Antibody data
- Antibody Data
- Antigen structure
- References [0]
- Comments [0]
- Validations
- Western blot [1]
- Immunohistochemistry [4]
Submit
Validation data
Reference
Comment
Report error
- Product number
- LS-C407650 - Provider product page

- Provider
- LSBio
- Product name
- SLC4A1 / Band 3 / AE1 Antibody (aa28-365) LS-C407650
- Antibody type
- Polyclonal
- Description
- Immunogen affinity purified
- Reactivity
- Human, Mouse, Rat
- Host
- Rabbit
- Storage
- At -20°C for 1 year. After reconstitution, at 4°C for 1 month. It can also be aliquotted and stored frozen at -20°C for a longer time. Avoid freeze-thaw cycles.
No comments: Submit comment
Enhanced validation
- Submitted by
- LSBio (provider)
- Enhanced method
- Genetic validation
- Main image

- Experimental details
- Band 3 antibody Western blot. All lanes: Anti Band 3 at 0.5 ug/ml. Lane 1: Rat Brain Tissue Lysate at 50 ug. Lane 2: Rat Kidney Tissue Lysate at 50 ug. Lane 3: Rat Liver Tissue Lysate at 50 ug. Lane 4: Rat Spleen Tissue Lysate at 50 ug. Lane 5: Human Placenta Tissue Lysate at 50 ug. Predicted band size: 102 kD. Observed band size: 102 kD.
Supportive validation
- Submitted by
- LSBio (provider)
- Enhanced method
- Genetic validation
- Main image

- Experimental details
- Band 3 antibody IHC-paraffin. IHC(P): Rat Kidney Tissue.
- Submitted by
- LSBio (provider)
- Enhanced method
- Genetic validation
- Main image

- Experimental details
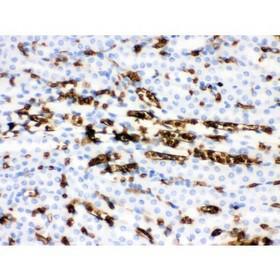
- Band 3 antibody IHC-paraffin. IHC(P): Human Placenta Tissue.
- Submitted by
- LSBio (provider)
- Enhanced method
- Genetic validation
- Main image

- Experimental details
- Band 3 antibody IHC-paraffin. IHC(P): Mouse Kidney Tissue.
- Submitted by
- LSBio (provider)
- Enhanced method
- Genetic validation
- Main image

- Experimental details
- Band 3 antibody IHC-frozen. IHC(F): Human Placenta Tissue.