Antibody data
- Antibody Data
- Antigen structure
- References [0]
- Comments [0]
- Validations
- Immunohistochemistry [2]
Submit
Validation data
Reference
Comment
Report error
- Product number
- LS-C401965 - Provider product page

- Provider
- LSBio
- Product name
- RASA4 / CAPRI Antibody LS-C401965
- Antibody type
- Polyclonal
- Description
- Affinity purification
- Reactivity
- Human, Mouse
- Host
- Rabbit
- Isotype
- IgG
- Storage
- Store at -20°C. Avoid freeze-thaw cycles.
No comments: Submit comment
Supportive validation
- Submitted by
- LSBio (provider)
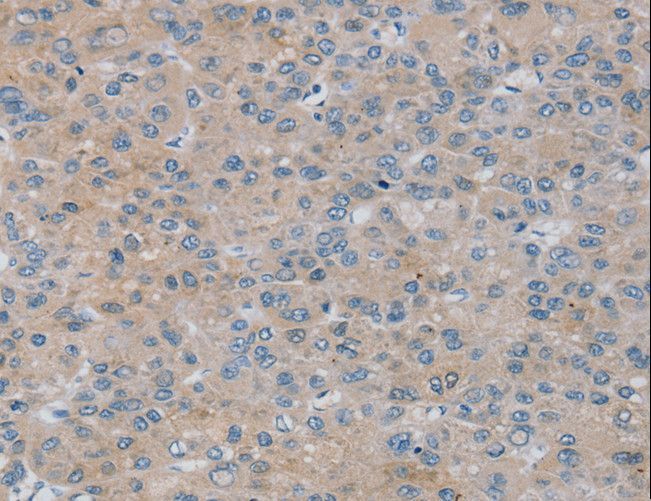
- Main image

- Experimental details
- Immunohistochemistry of paraffin-embedded Human esophagus cancer using RASA4 Polyclonal Antibody at dilution of 1:20.
- Submitted by
- LSBio (provider)
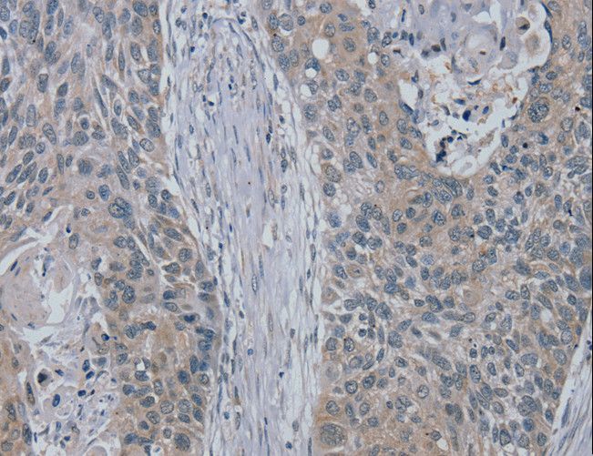
- Main image

- Experimental details
- Immunohistochemistry of paraffin-embedded Human esophagus cancer using RASA4 Polyclonal Antibody at dilution of 1:20.