Antibody data
- Antibody Data
- Antigen structure
- References [0]
- Comments [0]
- Validations
- Western blot [2]
- Immunohistochemistry [5]
Submit
Validation data
Reference
Comment
Report error
- Product number
- LS-C313509 - Provider product page

- Provider
- LSBio
- Product name
- ALDH2 Antibody (aa18-33) LS-C313509
- Antibody type
- Polyclonal
- Description
- Immunogen affinity purified
- Reactivity
- Human, Rabbit, Simian
- Host
- Rabbit
- Storage
- At -20°C for 1 year. After reconstitution, at 4°C for 1 month. It can also be aliquotted and stored frozen at -20°C for a longer time. Avoid freeze-thaw cycles.
No comments: Submit comment
Enhanced validation
- Submitted by
- LSBio (provider)
- Enhanced method
- Genetic validation
- Main image

- Experimental details
- WB of ALDH2 antibody. All lanes: Anti-ALDH2 at 0.5ug/ml. Lane 1: Rat Liver Tissue Lysate at 40ug. Lane 2: Rat Intestine Tissue Lysate at 40ug. Lane 3: Rat Lung Tissue Lysate at 40ug. Lane 4: Rat Kidney Tissue Lysate at 40ug. Predicted bind size: 56KD. Observed bind size: 56KD.
- Submitted by
- LSBio (provider)
- Enhanced method
- Genetic validation
- Main image

- Experimental details
- Anti-ALDH2 antibody, Western blotting Lane 1: Rat Liver Tissue LysateLane 2: Rat Intestine Tissue LysateLane 3: Rat Lung Tissue LysateLane 4: Rat Kidney Tissue Lysate
Supportive validation
- Submitted by
- LSBio (provider)
- Enhanced method
- Genetic validation
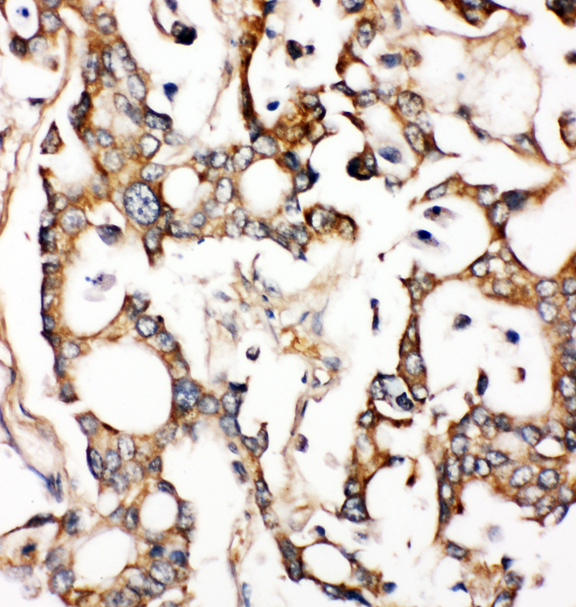
- Main image

- Experimental details
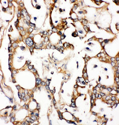
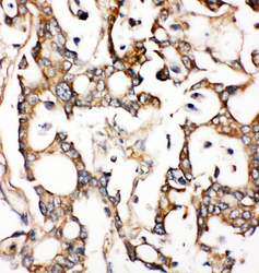
- ALDH2 antibody. IHC(P): Human Liver Cancer Tissue.
- Submitted by
- LSBio (provider)
- Enhanced method
- Genetic validation
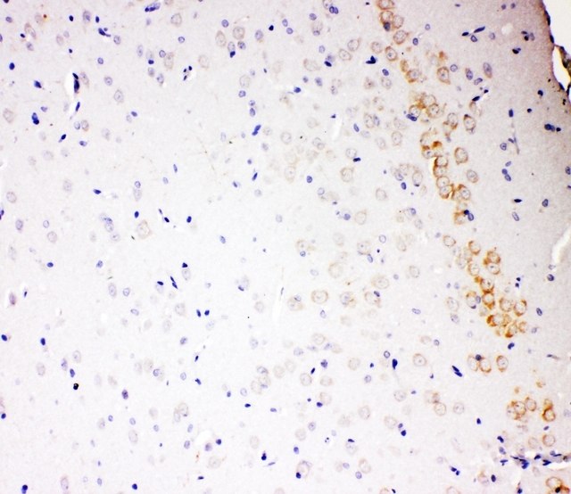
- Main image

- Experimental details
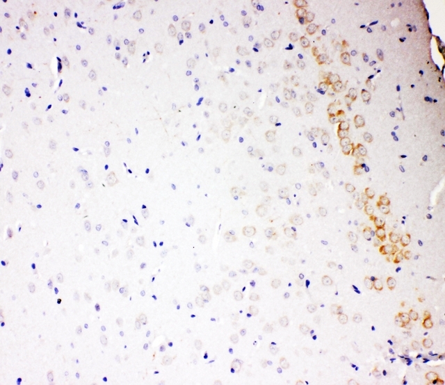
- IHC analysis of ALDH2 using anti-ALDH2 antibody. ALDH2 was detected in paraffin-embedded section of rat brain tissues. Heat mediated antigen retrieval was performed in citrate buffer (pH6, epitope retrieval solution) for 20 mins. The tissue section was blocked with 10% goat serum. The tissue section was then incubated with 1µg/ml rabbit anti-ALDH2 antibody overnight at 4°C. Biotinylated goat anti-rabbit IgG was used as secondary antibody and incubated for 30 minutes at 37°C. The tissue section was developed using Strepavidin-Biotin-Complex (SABC) with DAB as the chromogen.
- Submitted by
- LSBio (provider)
- Enhanced method
- Genetic validation
- Main image

- Experimental details
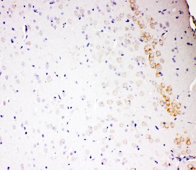
- IHC analysis of ALDH2 using anti-ALDH2 antibody. ALDH2 was detected in paraffin-embedded section of rat brain tissues. Heat mediated antigen retrieval was performed in citrate buffer (pH6, epitope retrieval solution) for 20 mins. The tissue section was blocked with 10% goat serum. The tissue section was then incubated with 1µg/ml rabbit anti-ALDH2 antibody overnight at 4°C. Biotinylated goat anti-rabbit IgG was used as secondary antibody and incubated for 30 minutes at 37°C. The tissue section was developed using Strepavidin-Biotin-Complex (SABC) with DAB as the chromogen.
- Submitted by
- LSBio (provider)
- Enhanced method
- Genetic validation
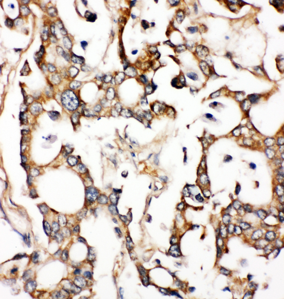
- Main image

- Experimental details
- ALDH2 antibody. IHC(P): Human Liver Cancer Tissue.
- Submitted by
- LSBio (provider)
- Enhanced method
- Genetic validation
- Main image

- Experimental details
- IHC analysis of ALDH2 using anti-ALDH2 antibody. ALDH2 was detected in paraffin-embedded section of rat brain tissues. Heat mediated antigen retrieval was performed in citrate buffer (pH6, epitope retrieval solution) for 20 mins. The tissue section was blocked with 10% goat serum. The tissue section was then incubated with 1µg/ml rabbit anti-ALDH2 antibody overnight at 4°C. Biotinylated goat anti-rabbit IgG was used as secondary antibody and incubated for 30 minutes at 37°C. The tissue section was developed using Strepavidin-Biotin-Complex (SABC) with DAB as the chromogen.