Antibody data
- Antibody Data
- Antigen structure
- References [0]
- Comments [0]
- Validations
- Western blot [1]
- Immunocytochemistry [1]
- Immunohistochemistry [1]
Submit
Validation data
Reference
Comment
Report error
- Product number
- TA306700 - Provider product page

- Provider
- OriGene
- Product name
- Rabbit Polyclonal Gle1 Antibody
- Antibody type
- Polyclonal
- Description
- Rabbit Polyclonal Gle1 Antibody
- Host
- Rabbit
- Conjugate
- Unconjugated
- Epitope
- GLE1
- Isotype
- IgG
- Antibody clone number
- NULL
- Vial size
- 100 µg
- Concentration
- 1ug/ul
No comments: Submit comment
Supportive validation
- Submitted by
- OriGene (provider)
- Main image

- Experimental details
- Western blot analysis of Gle1 in mouse brain tissue lysate with Gle1 antibody at (A) 1 and (B) 2 ug/ml.
- Validation comment
- WB
Supportive validation
- Submitted by
- OriGene (provider)
- Main image

- Experimental details
- Immunofluorescence of gle1 in mouse brain tissue with gle1 antibody at 5 ug/mL.
- Validation comment
- IF
Supportive validation
- Submitted by
- OriGene (provider)
- Main image

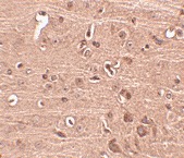
- Experimental details
- Immunohistochemistry of Gle1 in mouse brain tissue with Gle1 antibody at 2.5 ug/ml.
- Validation comment
- IHC