Antibody data
- Antibody Data
- Antigen structure
- References [3]
- Comments [0]
- Validations
- Western blot [1]
- Immunohistochemistry [2]
Submit
Validation data
Reference
Comment
Report error
- Product number
- 14772-1-AP - Provider product page

- Provider
- Proteintech Group
- Proper citation
- Proteintech Cat#14772-1-AP, RRID:AB_2151671
- Product name
- Noggin antibody
- Antibody type
- Polyclonal
- Description
- Noggin antibody (Cat. #14772-1-AP) is a rabbit polyclonal antibody that shows reactivity with human, mouse, rat and has been validated for the following applications: IHC, WB, ELISA.
- Reactivity
- Human, Mouse, Rat
- Host
- Rabbit
- Conjugate
- Unconjugated
- Isotype
- IgG
- Vial size
- 20ul, 150ul
Submitted references Desulfovibrio vulgaris interacts with novel gut epithelial immune receptor LRRC19 and exacerbates colitis.
Cigarette smoke induced neural tube defects by down-regulating noggin expression.
Downregulation of β1,4-galactosyltransferase 5 improves insulin resistance by promoting adipocyte commitment and reducing inflammation.
Xie R, Gu Y, Li M, Li L, Yang Y, Sun Y, Zhou B, Liu T, Wang S, Liu W, Yang R, Su X, Zhong W, Wang B, Cao H
Microbiome 2024 Jan 3;12(1):4
Microbiome 2024 Jan 3;12(1):4
Cigarette smoke induced neural tube defects by down-regulating noggin expression.
Yin C, Cai H, Yang D, Jian Y, Zhang J, Li Z, Wang D
Birth defects research 2021 Jan 1;113(1):5-13
Birth defects research 2021 Jan 1;113(1):5-13
Downregulation of β1,4-galactosyltransferase 5 improves insulin resistance by promoting adipocyte commitment and reducing inflammation.
Li SF, Zhu CS, Wang YM, Xie XX, Xiao LL, Zhang ZC, Tang QQ, Li X
Cell death & disease 2018 Feb 7;9(2):196
Cell death & disease 2018 Feb 7;9(2):196
No comments: Submit comment
Supportive validation
- Submitted by
- Proteintech Group (provider)
- Main image

- Experimental details
- HeLa cells were subjected to SDS PAGE followed by western blot with 14772-1-AP(NOG antibody) at dilution of 1:500
- Sample type
- cell line
Supportive validation
- Submitted by
- Proteintech Group (provider)
- Main image

- Experimental details
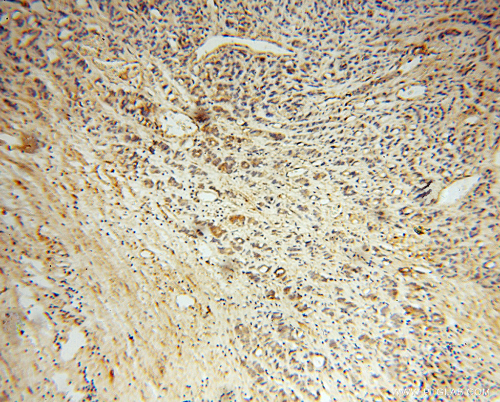
- Immunohistochemical of paraffin-embedded human gliomas using 14772-1-AP(NOG antibody) at dilution of 1:50 (under 10x lens)
- Sample type
- tissue
- Submitted by
- Proteintech Group (provider)
- Main image

- Experimental details
- The Noggin antibody from Proteintech is a rabbit polyclonal antibody to a recombinant protein of human Noggin. This antibody recognizes human,mouse,rat antigen. The Noggin antibody has been validated for the following applications: ELISA, WB, IHC analysis.