Antibody data
- Antibody Data
- Antigen structure
- References [0]
- Comments [0]
- Validations
- Western blot [2]
- Immunohistochemistry [3]
Submit
Validation data
Reference
Comment
Report error
- Product number
- LS-C380241 - Provider product page

- Provider
- LSBio
- Product name
- ANAPC5 / APC5 Antibody (aa1-250) LS-C380241
- Antibody type
- Polyclonal
- Description
- Immunoaffinity purified
- Reactivity
- Human
- Host
- Rabbit
- Isotype
- IgG
- Storage
- Short term: -20°C; Long term: -80°C; Avoid freeze-thaw cycles.
No comments: Submit comment
Enhanced validation
- Submitted by
- LSBio (provider)
- Enhanced method
- Genetic validation
- Main image

- Experimental details
- Western blot. All lanes: ANAPC5 antibody at 2 ug/ml. Lane 1: 293T whole cell lysate. Lane 2: NIH3T3 whole cell lysate. Secondary antibody: Goat polyclonal to rabbit at 1:10000 dilution. Predicted band size: 85 kDa. Observed band size: 85 kDa Immunohistochemistry.
- Submitted by
- LSBio (provider)
- Enhanced method
- Genetic validation
- Main image

- Experimental details
- Western blot All lanes: ANAPC5 antibody at 2µg/ml Lane 1: 293T whole cell lysate Lane 2: NIH/3T3 whole cell lysate Secondary Goat polyclonal to rabbit IgG at 1/10000 dilution Predicted band size: 86, 26, 73 kDa Observed band size: 86 kDa
Supportive validation
- Submitted by
- LSBio (provider)
- Enhanced method
- Genetic validation
- Main image

- Experimental details
- Immunohistochemistry of paraffin-embedded human placenta using antibody at 1:100 dilution.
- Submitted by
- LSBio (provider)
- Enhanced method
- Genetic validation
- Main image

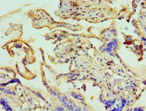
- Experimental details
- Immunohistochemistry of paraffin-embedded human placenta using antibody at 1:100 dilution.
- Submitted by
- LSBio (provider)
- Enhanced method
- Genetic validation
- Main image

- Experimental details
- Immunohistochemistry of paraffin-embedded human placenta using antibody at 1:100 dilution.