STJ24066
antibody from St John's Laboratory
		Targeting: HNRNPU
		
		C1orf199, FLJ30202, FLJ37978, HNRNPU-AS1, HNRPU, NCRNA00201, SAF-A	
	
	
	
	Antibody data
- Antibody Data
 - Antigen structure
 - References [0]
 - Comments [0]
 - Validations
 - Western blot [1]
 - Immunohistochemistry [4]
 - Chromatin Immunoprecipitation [1]
 
Submit
Validation data
Reference
Comment
Report error
- Product number
 - STJ24066 - Provider product page

 - Provider
 - St John's Laboratory
 - Product name
 - Anti-HNRNPU antibody (608-825) (STJ24066)
 - Antibody type
 - Polyclonal
 - Description
 - Rabbit polyclonal antibody anti-HNRNPU (608-825) is suitable for use in Western Blot, Immunohistochemistry, Immunofluorescence and Immunoprecipitation.
 - Reactivity
 - Human, Mouse, Rat
 - Host
 - Rabbit
 - Conjugate
 - Unconjugated
 - Antigen sequence
 NA- Epitope
 - NA
 - Isotype
 - IgG
 - Antibody clone number
 - NA
 - Vial size
 - NA
 - Concentration
 - NA
 - Storage
 - Store in a freezer at-20°C and avoid freeze-thaw cycles.
 - Handling
 - NA
 
				No comments: Submit comment	
	
			
							
					Supportive validation
					
									
				
		
				- Submitted by
 - St John's Laboratory (provider)
 - Main image
 
- Experimental details
 - Western blot analysis of extracts of various cell lines, using hnRNP U antibody (STJ24066) at 1:3000 dilution. Secondary antibody: HRP Goat Anti-rabbit IgG (H+L) at 1:10000 dilution. Lysates/proteins: 25ug per lane. Blocking buffer: 3% nonfat dry milk in TBST. Detection: ECL Basic Kit. Exposure time: 90s.
 - Sample type
 - NA
 - Validation comment
 - NA
 - Primary Ab dilution
 - NA
 - Other comments
 - NA
 - Secondary Ab
 - NA
 - Secondary Ab dilution
 - NA
 - Protocol
 - NA
 
							
					Supportive validation
					
									
				
Supportive validation
Supportive validation
Supportive validation
		
				- Submitted by
 - St John's Laboratory (provider)
 - Main image
 
- Experimental details
 - Immunofluorescence analysis of C6 cells using hnRNP U antibody (STJ24066) at dilution of 1:100. Blue: DAPI for nuclear staining.
 - Sample type
 - NA
 - Validation comment
 - NA
 - Primary Ab dilution
 - NA
 - Other comments
 - NA
 - Secondary Ab
 - NA
 - Secondary Ab dilution
 - NA
 - Protocol
 - NA
 
Supportive validation
- Submitted by
 - St John's Laboratory (provider)
 - Main image
 
- Experimental details
 - Immunohistochemistry of paraffin-embedded mouse brain using hnRNP U rabbit polyclonal antibody (STJ24066) at dilution of 1:50 (40x lens).
 - Sample type
 - NA
 - Validation comment
 - NA
 - Primary Ab dilution
 - NA
 - Other comments
 - NA
 - Secondary Ab
 - NA
 - Secondary Ab dilution
 - NA
 - Protocol
 - NA
 
Supportive validation
- Submitted by
 - St John's Laboratory (provider)
 - Main image
 
- Experimental details
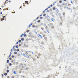
 - Immunohistochemistry of paraffin-embedded Rat testis using hnRNP U rabbit polyclonal antibody (STJ24066) at dilution of 1:50 (40x lens).
 - Sample type
 - NA
 - Validation comment
 - NA
 - Primary Ab dilution
 - NA
 - Other comments
 - NA
 - Secondary Ab
 - NA
 - Secondary Ab dilution
 - NA
 - Protocol
 - NA
 
Supportive validation
- Submitted by
 - St John's Laboratory (provider)
 - Main image
 
- Experimental details
 - Immunohistochemistry of paraffin-embedded Human esophageal cancer using hnRNP U rabbit polyclonal antibody (STJ24066) at dilution of 1:50 (40x lens).
 - Sample type
 - NA
 - Validation comment
 - NA
 - Primary Ab dilution
 - NA
 - Other comments
 - NA
 - Secondary Ab
 - NA
 - Secondary Ab dilution
 - NA
 - Protocol
 - NA
 
							
					Supportive validation
					
									
				
		
		- Submitted by
 - St John's Laboratory (provider)
 - Main image
 
- Experimental details
 - Immunoprecipitation analysis of 300ug extracts of Jurkat cells using 3ug hnRNP U antibody (STJ24066). Western blot was performed from the immunoprecipitate using hnRNP U antibody (STJ24066) at a dilition of 1:1000.
 - Sample type
 - NA
 - Validation comment
 - NA
 - Primary Ab dilution
 - NA
 - Other comments
 - NA
 - Secondary Ab
 - NA
 - Secondary Ab dilution
 - NA
 - Protocol
 - NA