Antibody data
- Antibody Data
- Antigen structure
- References [0]
- Comments [0]
- Validations
- Western blot [1]
- Immunohistochemistry [1]
Submit
Validation data
Reference
Comment
Report error
- Product number
- LS-C775193 - Provider product page

- Provider
- LSBio
- Product name
- AXIN2 / Axin 2 Antibody (PE, Atto 594) LS-C775193
- Antibody type
- Polyclonal
- Description
- Peptide Affinity Purified
- Reactivity
- Human, Rat
- Host
- Rabbit
- Conjugate
- Red dye
- Storage
- Store at -20°C.
No comments: Submit comment
Supportive validation
- Submitted by
- LSBio (provider)
- Main image

- Experimental details
- Western blot analysis of Rat Lung showing detection of ~93.5 kDa Axin-2 protein using Rabbit Anti-Axin-2 Polyclonal Antibody. Lane 1: Molecular Weight Ladder (MW). Lane 2: Rat Lung. Load: 15 µg. Block: 5% Skim Milk in 1X TBST. Primary Antibody: Rabbit Anti-Axin-2 Polyclonal Antibody at 1:1000 for 2 hours at RT. Secondary Antibody: Goat Anti-Rabbit IgG: HRP at 1:3000 for 1 hour at RT. Color Development: ECL solution for 5 min at RT. Predicted/Observed Size: ~93.5 kDa.
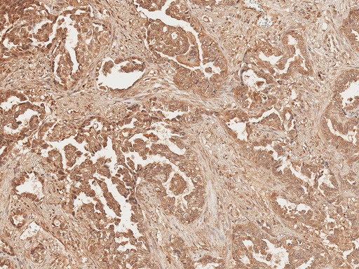
Supportive validation
- Submitted by
- LSBio (provider)
- Main image

- Experimental details
- Immunohistochemistry analysis using Rabbit Anti-Axin-2 Polyclonal Antibody. Tissue: Lung Cancer. Species: Human. Fixation: Formalin Fixed Paraffin-Embedded. Primary Antibody: Rabbit Anti-Axin-2 Polyclonal Antibody at 1:50 for 30 min at RT. Counterstain: Hematoxylin. Magnification: 10X.