Antibody data
- Antibody Data
- Antigen structure
- References [36]
- Comments [0]
- Validations
- Western blot [1]
- Immunohistochemistry [2]
Submit
Validation data
Reference
Comment
Report error
- Product number
- 14744-1-AP - Provider product page

- Provider
- Proteintech Group
- Proper citation
- Proteintech Cat#14744-1-AP, RRID:AB_2162941
- Product name
- PDHB antibody
- Antibody type
- Polyclonal
- Description
- PDHB antibody (Cat. #14744-1-AP) is a rabbit polyclonal antibody that shows reactivity with human, mouse, rat and has been validated for the following applications: IHC, IP, WB, ELISA.
- Reactivity
- Human, Mouse, Rat
- Host
- Rabbit
- Conjugate
- Unconjugated
- Isotype
- IgG
- Vial size
- 20ul, 150ul
Submitted references TGFβ-activated PDHB promotes mitochondrial pyruvate metabolism and contributes to human endoderm differentiation via ATP-dependent BRG1.
Integrative metabolomics and lipidomics reveal Jian-Pi-Yi-Shen formula improves adenine-induced CKD rats by regulating intrarenal glycolipid metabolism.
CHCHD2 mutant mice link mitochondrial deficits to PD pathophysiology.
Activation of PI3K-AKT pathway prevents steroid-induced osteonecrosis of the femoral head via inhibiting Cuproptosis.
Mitochondria-localized MBD2c facilitates mtDNA transcription and drug resistance.
Harnessing tissue-derived mitochondria-rich extracellular vesicles (Ti-mitoEVs) to boost mitochondrial biogenesis for regenerative medicine.
Isoacteoside alleviates hepatocellular carcinoma progression by inhibiting PDHB-mediated reprogramming of glucose metabolism.
miR-1343-3p regulating OGDHL/PDHB-pyruvate glucose metabolic reprogramming against gastric cancer cell proliferation.
Herbal Composition Inhibits Mitochondrial Oxidative Phosphorylation to Prevent HER2-Positive Breast Cancer and Identifies Potential Active Compounds.
A repurposed AMP binding domain reveals mitochondrial protein AMPylation as a regulator of cellular metabolism.
Construction and validation of a bioinformatics‑based screen for cuproptosis‑related genes and risk model for Alzheimer's disease.
NOTCH1 mitochondria localization during heart development promotes mitochondrial metabolism and the endothelial-to-mesenchymal transition in mice.
Clinical features and molecular landscape of cuproptosis signature-related molecular subtype in gastric cancer.
Molecular characterization and clinical relevance of metabolic signature subtypes in gastric cancer.
Hypoxia induces mitochondrial protein lactylation to limit oxidative phosphorylation.
Analysis of the potential biological value of pyruvate dehydrogenase E1 subunit β in human cancer.
Bioinformatics reveals diagnostic potential of cuproptosis-related genes in the pathogenesis of sepsis.
Demystifying the landscape of endometrial immune microenvironment in luteal-phase from cuprotosis: Implications for the mechanism and treatment of RPL.
ITGB1-mediated molecular landscape and cuproptosis phenotype induced the worse prognosis in diffuse gastric cancer.
Bioinformatics-Based Analysis of Key Genes in Steroid-Induced Osteonecrosis of the Femoral Head That Are Associated with Copper Metabolism.
Pyruvate dehydrogenase B regulates myogenic differentiation via the FoxP1-Arih2 axis.
PKM2-mediated neuronal hyperglycolysis enhances the risk of Parkinson's disease in diabetic rats.
Cuproptosis related gene PDHB is identified as a biomarker inversely associated with the progression of clear cell renal cell carcinoma.
Beneficial effects of aloperine on inflammation and oxidative stress by suppressing necroptosis in lipopolysaccharide-induced acute lung injury mouse model.
Phosphorylation of PDHA by AMPK Drives TCA Cycle to Promote Cancer Metastasis.
Maintaining Iron Homeostasis Is the Key Role of Lysosomal Acidity for Cell Proliferation.
Enhanced Glycogen Metabolism Supports the Survival and Proliferation of HPV-Infected Keratinocytes in Condylomata Acuminata.
The SIAH2-NRF1 axis spatially regulates tumor microenvironment remodeling for tumor progression.
ABT737 reverses cisplatin resistance by targeting glucose metabolism of human ovarian cancer cells.
Utilizing Optimized Tools to Investigate PTM Crosstalk: Identifying Potential PTM Crosstalk of Acetylated Mitochondrial Proteins.
(Pro)renin Receptor Inhibition Reprograms Hepatic Lipid Metabolism and Protects Mice From Diet-Induced Obesity and Hepatosteatosis.
RIP3 targets pyruvate dehydrogenase complex to increase aerobic respiration in TNF-induced necroptosis.
Pyruvate dehydrogenase has a major role in mast cell function, and its activity is regulated by mitochondrial microphthalmia transcription factor.
CDC5L drives FAH expression to promote metabolic reprogramming in melanoma.
Critical roles of mitochondria in brain activities of torpid Myotis ricketti bats revealed by a proteomic approach.
Early changes in the liver-soluble proteome from mice fed a nonalcoholic steatohepatitis inducing diet.
Meng L, Lv J, Yi Y, Lan X, Yan C, Zhu L, Yang J, Jiang W
Nature communications 2026 Feb 17;17(1)
Nature communications 2026 Feb 17;17(1)
Integrative metabolomics and lipidomics reveal Jian-Pi-Yi-Shen formula improves adenine-induced CKD rats by regulating intrarenal glycolipid metabolism.
Liu X, Li H, Xu Y, Peng Y, Wu S, Ye X, Yang Y, Lu J
Journal of chromatography. B, Analytical technologies in the biomedical and life sciences 2026 Apr 1;1273:124957
Journal of chromatography. B, Analytical technologies in the biomedical and life sciences 2026 Apr 1;1273:124957
CHCHD2 mutant mice link mitochondrial deficits to PD pathophysiology.
Liao SC, Kano K, Phanse S, Nguyen M, Margolis E, Fu Y, X Meng J, Moutaoufik MT, Chatterton Z, Saccon T, Broderick K, Aoki H, Simms J, Suteja FX, Sei Y, Huang EJ, McAvoy K, Manfredi G, Halliday G, Babu M, Nakamura K
Science advances 2025 Nov 14;11(46):eadu0726
Science advances 2025 Nov 14;11(46):eadu0726
Activation of PI3K-AKT pathway prevents steroid-induced osteonecrosis of the femoral head via inhibiting Cuproptosis.
Gao S, Zhu H, Chen H, Lu H, Wen M, Fan Y, Yang D, Li H
Scientific reports 2025 Mar 15;15(1):8950
Scientific reports 2025 Mar 15;15(1):8950
Mitochondria-localized MBD2c facilitates mtDNA transcription and drug resistance.
Hao Y, Zhou Z, Liu R, Shen S, Liu H, Zhou Y, Sun Y, Mao Q, Zhang T, Li ST, Liu Z, Chu Y, Sun L, Gao P, Zhang H
Nature chemical biology 2025 Jun;21(6):926-938
Nature chemical biology 2025 Jun;21(6):926-938
Harnessing tissue-derived mitochondria-rich extracellular vesicles (Ti-mitoEVs) to boost mitochondrial biogenesis for regenerative medicine.
Lou P, Zhou X, Zhang Y, Xie Y, Wang Y, Wang C, Liu S, Wan M, Lu Y, Liu J
Science advances 2025 Jul 18;11(29):eadt1318
Science advances 2025 Jul 18;11(29):eadt1318
Isoacteoside alleviates hepatocellular carcinoma progression by inhibiting PDHB-mediated reprogramming of glucose metabolism.
Zhao L, Qi H, Liu W, Lv H, Li P, Liu W, Sun R, Wang Q, Wang X
Communications biology 2025 Feb 8;8(1):205
Communications biology 2025 Feb 8;8(1):205
miR-1343-3p regulating OGDHL/PDHB-pyruvate glucose metabolic reprogramming against gastric cancer cell proliferation.
Hou X, Zhang Z, Cao M, Du Y, Wang X
Discover oncology 2025 Dec 20;17(1):139
Discover oncology 2025 Dec 20;17(1):139
Herbal Composition Inhibits Mitochondrial Oxidative Phosphorylation to Prevent HER2-Positive Breast Cancer and Identifies Potential Active Compounds.
Zhao Y, Hu W, Wang X, Ren Z, Gong Y, Liu L, Sun Y
International journal of molecular sciences 2025 Dec 12;26(24)
International journal of molecular sciences 2025 Dec 12;26(24)
A repurposed AMP binding domain reveals mitochondrial protein AMPylation as a regulator of cellular metabolism.
Gonzalez A, Pon A, Servage K, Pawłowski K, Han Y, Sreelatha A
Nature communications 2025 Aug 23;16(1):7863
Nature communications 2025 Aug 23;16(1):7863
Construction and validation of a bioinformatics‑based screen for cuproptosis‑related genes and risk model for Alzheimer's disease.
Hu R, Xiao Z, Qiao M, Liu C, Wu G, Wang Y, Dong M, Huang Z
Molecular medicine reports 2024 Nov;30(5)
Molecular medicine reports 2024 Nov;30(5)
NOTCH1 mitochondria localization during heart development promotes mitochondrial metabolism and the endothelial-to-mesenchymal transition in mice.
Wang J, Zhao R, Xu S, Zhou XY, Cai K, Chen YL, Zhou ZY, Sun X, Shi Y, Wang F, Gui YH, Tao H, Zhao JY
Nature communications 2024 Nov 16;15(1):9945
Nature communications 2024 Nov 16;15(1):9945
Clinical features and molecular landscape of cuproptosis signature-related molecular subtype in gastric cancer.
Chong W, Ren H, Chen H, Xu K, Zhu X, Liu Y, Sang Y, Li H, Liu J, Ye C, Shang L, Jing C, Li L
iMeta 2024 Jun;3(3):e190
iMeta 2024 Jun;3(3):e190
Molecular characterization and clinical relevance of metabolic signature subtypes in gastric cancer.
Chen H, Jing C, Shang L, Zhu X, Zhang R, Liu Y, Wang M, Xu K, Ma T, Jing H, Wang Z, Li X, Chong W, Li L
Cell reports 2024 Jul 23;43(7):114424
Cell reports 2024 Jul 23;43(7):114424
Hypoxia induces mitochondrial protein lactylation to limit oxidative phosphorylation.
Mao Y, Zhang J, Zhou Q, He X, Zheng Z, Wei Y, Zhou K, Lin Y, Yu H, Zhang H, Zhou Y, Lin P, Wu B, Yuan Y, Zhao J, Xu W, Zhao S
Cell research 2024 Jan;34(1):13-30
Cell research 2024 Jan;34(1):13-30
Analysis of the potential biological value of pyruvate dehydrogenase E1 subunit β in human cancer.
Rong Y, Liu SH, Tang MZ, Wu ZH, Ma GR, Li XF, Cai H
World journal of gastrointestinal oncology 2024 Jan 15;16(1):144-181
World journal of gastrointestinal oncology 2024 Jan 15;16(1):144-181
Bioinformatics reveals diagnostic potential of cuproptosis-related genes in the pathogenesis of sepsis.
Sun Z, Zhao Q, Zhang J, Hu Y, Qu J, Gao H, Peng Z
Heliyon 2024 Jan 15;10(1):e22664
Heliyon 2024 Jan 15;10(1):e22664
Demystifying the landscape of endometrial immune microenvironment in luteal-phase from cuprotosis: Implications for the mechanism and treatment of RPL.
Zhao X, Wang S, Du T, Jiang Y, Zhao Y, Ma Y, Shen D, Shen Y, Ma J
Gene 2024 Apr 20;903:148191
Gene 2024 Apr 20;903:148191
ITGB1-mediated molecular landscape and cuproptosis phenotype induced the worse prognosis in diffuse gastric cancer.
Zhu X, Chen H, Li H, Ren H, Ye C, Xu K, Liu J, Du F, Zhang Z, Liu Y, Xie X, Wang M, Ma T, Chong W, Shang L, Li L
Frontiers in oncology 2023;13:1115510
Frontiers in oncology 2023;13:1115510
Bioinformatics-Based Analysis of Key Genes in Steroid-Induced Osteonecrosis of the Femoral Head That Are Associated with Copper Metabolism.
Qi B, Li C, Cai X, Pu L, Guo M, Tang Z, Bu P, Xu Y
Biomedicines 2023 Mar 13;11(3)
Biomedicines 2023 Mar 13;11(3)
Pyruvate dehydrogenase B regulates myogenic differentiation via the FoxP1-Arih2 axis.
Jiang X, Ji S, Yuan F, Li T, Cui S, Wang W, Ye X, Wang R, Chen Y, Zhu S
Journal of cachexia, sarcopenia and muscle 2023 Feb;14(1):606-621
Journal of cachexia, sarcopenia and muscle 2023 Feb;14(1):606-621
PKM2-mediated neuronal hyperglycolysis enhances the risk of Parkinson's disease in diabetic rats.
Zhao Y, Wang Y, Wu Y, Tao C, Xu R, Chen Y, Qian L, Xu T, Lian X
Journal of pharmaceutical analysis 2023 Feb;13(2):187-200
Journal of pharmaceutical analysis 2023 Feb;13(2):187-200
Cuproptosis related gene PDHB is identified as a biomarker inversely associated with the progression of clear cell renal cell carcinoma.
Wang H, Yang Z, He X, Guo F, Sun H, Xu S, Xu C, Wang Z, Wen H, Teng Z, Wang Y, Han Z
BMC cancer 2023 Aug 28;23(1):804
BMC cancer 2023 Aug 28;23(1):804
Beneficial effects of aloperine on inflammation and oxidative stress by suppressing necroptosis in lipopolysaccharide-induced acute lung injury mouse model.
Cui YR, Qu F, Zhong WJ, Yang HH, Zeng J, Huang JH, Liu J, Zhang MY, Zhou Y, Guan CX
Phytomedicine : international journal of phytotherapy and phytopharmacology 2022 Jun;100:154074
Phytomedicine : international journal of phytotherapy and phytopharmacology 2022 Jun;100:154074
Phosphorylation of PDHA by AMPK Drives TCA Cycle to Promote Cancer Metastasis.
Cai Z, Li CF, Han F, Liu C, Zhang A, Hsu CC, Peng D, Zhang X, Jin G, Rezaeian AH, Wang G, Zhang W, Pan BS, Wang CY, Wang YH, Wu SY, Yang SC, Hsu FC, D'Agostino RB Jr, Furdui CM, Kucera GL, Parks JS, Chilton FH, Huang CY, Tsai FJ, Pasche B, Watabe K, Lin HK
Molecular cell 2020 Oct 15;80(2):263-278.e7
Molecular cell 2020 Oct 15;80(2):263-278.e7
Maintaining Iron Homeostasis Is the Key Role of Lysosomal Acidity for Cell Proliferation.
Weber RA, Yen FS, Nicholson SPV, Alwaseem H, Bayraktar EC, Alam M, Timson RC, La K, Abu-Remaileh M, Molina H, Birsoy K
Molecular cell 2020 Feb 6;77(3):645-655.e7
Molecular cell 2020 Feb 6;77(3):645-655.e7
Enhanced Glycogen Metabolism Supports the Survival and Proliferation of HPV-Infected Keratinocytes in Condylomata Acuminata.
Gu Z, Zhang H, Guo X, Cao Y
The Journal of investigative dermatology 2020 Aug;140(8):1513-1523.e5
The Journal of investigative dermatology 2020 Aug;140(8):1513-1523.e5
The SIAH2-NRF1 axis spatially regulates tumor microenvironment remodeling for tumor progression.
Ma B, Cheng H, Mu C, Geng G, Zhao T, Luo Q, Ma K, Chang R, Liu Q, Gao R, Nie J, Xie J, Han J, Chen L, Ma G, Zhu Y, Chen Q
Nature communications 2019 Mar 4;10(1):1034
Nature communications 2019 Mar 4;10(1):1034
ABT737 reverses cisplatin resistance by targeting glucose metabolism of human ovarian cancer cells.
Xu Y, Gao W, Zhang Y, Wu S, Liu Y, Deng X, Xie L, Yang J, Yu H, Su J, Sun L
International journal of oncology 2018 Sep;53(3):1055-1068
International journal of oncology 2018 Sep;53(3):1055-1068
Utilizing Optimized Tools to Investigate PTM Crosstalk: Identifying Potential PTM Crosstalk of Acetylated Mitochondrial Proteins.
Horita H, Law A, Middleton K
Proteomes 2018 May 22;6(2)
Proteomes 2018 May 22;6(2)
(Pro)renin Receptor Inhibition Reprograms Hepatic Lipid Metabolism and Protects Mice From Diet-Induced Obesity and Hepatosteatosis.
Ren L, Sun Y, Lu H, Ye D, Han L, Wang N, Daugherty A, Li F, Wang M, Su F, Tao W, Sun J, Zelcer N, Mullick AE, Danser AHJ, Jiang Y, He Y, Ruan X, Lu X
Circulation research 2018 Mar 2;122(5):730-741
Circulation research 2018 Mar 2;122(5):730-741
RIP3 targets pyruvate dehydrogenase complex to increase aerobic respiration in TNF-induced necroptosis.
Yang Z, Wang Y, Zhang Y, He X, Zhong CQ, Ni H, Chen X, Liang Y, Wu J, Zhao S, Zhou D, Han J
Nature cell biology 2018 Feb;20(2):186-197
Nature cell biology 2018 Feb;20(2):186-197
Pyruvate dehydrogenase has a major role in mast cell function, and its activity is regulated by mitochondrial microphthalmia transcription factor.
Sharkia I, Hadad Erlich T, Landolina N, Assayag M, Motzik A, Rachmin I, Kay G, Porat Z, Tshori S, Berkman N, Levi-Schaffer F, Razin E
The Journal of allergy and clinical immunology 2017 Jul;140(1):204-214.e8
The Journal of allergy and clinical immunology 2017 Jul;140(1):204-214.e8
CDC5L drives FAH expression to promote metabolic reprogramming in melanoma.
Gu Z, Zhang H, Li Y, Shen S, Yin X, Zhang W, Cheng R, Zhang Y, Zhang X, Chen H, Huang B, Cao Y
Oncotarget 2017 Dec 26;8(69):114328-114343
Oncotarget 2017 Dec 26;8(69):114328-114343
Critical roles of mitochondria in brain activities of torpid Myotis ricketti bats revealed by a proteomic approach.
Zhang Y, Pan YH, Yin Q, Yang T, Dong D, Liao CC, Zhang S
Journal of proteomics 2014 Jun 13;105:266-84
Journal of proteomics 2014 Jun 13;105:266-84
Early changes in the liver-soluble proteome from mice fed a nonalcoholic steatohepatitis inducing diet.
Thomas A, Stevens AP, Klein MS, Hellerbrand C, Dettmer K, Gronwald W, Oefner PJ, Reinders J
Proteomics 2012 May;12(9):1437-51
Proteomics 2012 May;12(9):1437-51
No comments: Submit comment
Supportive validation
- Submitted by
- Proteintech Group (provider)
- Main image

- Experimental details
- human heart tissue were subjected to SDS PAGE followed by western blot with 14744-1-AP(PDHB antibody) at dilution of 1:300
- Sample type
- tissue
Supportive validation
Supportive validation
- Submitted by
- Proteintech Group (provider)
- Main image

- Experimental details
- The PDHB antibody from Proteintech is a rabbit polyclonal antibody to a recombinant protein of human PDHB. This antibody recognizes human,mouse,rat antigen. The PDHB antibody has been validated for the following applications: ELISA, WB, IHC analysis.
Supportive validation
- Submitted by
- Proteintech Group (provider)
- Main image

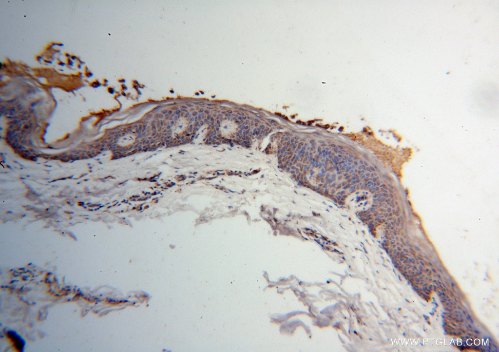
- Experimental details
- Immunohistochemical of paraffin-embedded human skin cancer using 14744-1-AP(PDHB antibody) at dilution of 1:100 (under 10x lens)
- Sample type
- tissue