Antibody data
- Antibody Data
- Antigen structure
- References [0]
- Comments [0]
- Validations
- Western blot [1]
- Immunocytochemistry [1]
- Immunohistochemistry [1]
Submit
Validation data
Reference
Comment
Report error
- Product number
- AP13469a - Provider product page

- Provider
- Abcepta
- Proper citation
- Abgent Cat#AP13469a, RRID:AB_10892219
- Product name
- EIF2S1 Antibody (N-term)
- Antibody type
- Polyclonal
- Antigen
- Synthetic peptide
- Description
- Peptide Affinity Purified Rabbit Polyclonal Antibody (Pab)
- Reactivity
- Mouse
- Host
- Rabbit
- Isotype
- IgG
- Vial size
- 400 µl
- Concentration
- 0.31 mg/ml
- Storage
- Maintain refrigerated at 2-8°C for up to 6 months. For long term storage store at -20°C in small aliquots to prevent freeze-thaw cycles.
No comments: Submit comment
Supportive validation
- Submitted by
- Abcepta (provider)
- Main image

- Experimental details
- EIF2S1 Antibody (N-term) (Cat. #AP13469a) western blot analysis in mouse bladder tissue lysates (35ug/lane).This demonstrates the EIF2S1 antibody detected the EIF2S1 protein (arrow).
- Primary Ab dilution
- 1:1000
Supportive validation
- Submitted by
- Abcepta (provider)
- Main image

- Experimental details
- Confocal immunofluorescent analysis of EIF2S1 Antibody (N-term) (Cat#AP13469a) with Hela cell followed by Alexa Fluor 488-conjugated goat anti-rabbit lgG (green). DAPI was used to stain the cell nuclear (blue).
- Primary Ab dilution
- 1:10~50
Supportive validation
- Submitted by
- Abcepta (provider)
- Main image

- Experimental details
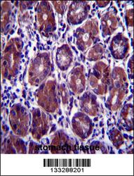
- EIF2S1 Antibody (N-term) (Cat. #AP13469a)immunohistochemistry analysis in formalin fixed and paraffin embedded human stomach tissue followed by peroxidase conjugation of the secondary antibody and DAB staining.This data demonstrates the use of EIF2S1 Antibody (N-term) for immunohistochemistry. Clinical relevance has not been evaluated.
- Primary Ab dilution
- 1:10~50