Antibody data
- Antibody Data
- Antigen structure
- References [0]
- Comments [0]
- Validations
- Western blot [1]
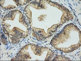
- Immunohistochemistry [1]
- Flow cytometry [1]
Submit
Validation data
Reference
Comment
Report error
- Product number
- ABIN2022991 - Provider product page

- Provider
- antibodies-online
- Product name
- anti-Eukaryotic Translation Initiation Factor 2 Subunit 1 (EIF2S1) antibody
- Antibody type
- Monoclonal
- Antigen
- Full length human recombinant protein of human EIF2S1 (NP_004085) produced in HEK293T cell.
- Description
- Purified from mouse ascites fluids by Protein A/G affinity chromatography.
- Reactivity
- Human
- Host
- Mouse
- Isotype
- IgG
- Antibody clone number
- 1H1
- Vial size
- 0.1 mL
- Storage
- For short-term storage, store at 4°C or aliquot into working amounts and store at -20°C. For long-term storage, store at -70°C (aliquotted).
- Handling
- Avoid repeated freeze-thaw cycles.
No comments: Submit comment
Supportive validation
- Submitted by
- antibodies-online (provider)
- Main image

- Experimental details
- Image(s): Western Blotting
Supportive validation
- Submitted by
- antibodies-online (provider)
- Main image

- Experimental details
- Image(s): Immunohistochemistry
Supportive validation
- Submitted by
- antibodies-online (provider)
- Main image

- Experimental details
- Image(s): Flow cytometry