Antibody data
- Antibody Data
- Antigen structure
- References [5]
- Comments [0]
- Validations
- Western blot [1]
- Immunohistochemistry [1]
Submit
Validation data
Reference
Comment
Report error
- Product number
- PAB18469 - Provider product page

- Provider
- Abnova Corporation
- Proper citation
- Abnova Corporation Cat#PAB18469, RRID:AB_10714888
- Product name
- EIF2S1 polyclonal antibody
- Antibody type
- Polyclonal
- Description
- Rabbit polyclonal antibody raised against synthetic peptide of EIF2S1.
- Storage
- Store at -20°C.Aliquot to avoid repeated freezing and thawing.
Submitted references Multifactorial contributions to an acute DNA damage response by BRCA1/BARD1-containing complexes.
Chk2 phosphorylation of BRCA1 regulates DNA double-strand break repair.
BRCA1 is required for common-fragile-site stability via its G2/M checkpoint function.
Involvement of the cohesin protein, Smc1, in Atm-dependent and independent responses to DNA damage.
Functional interactions between BRCA1 and the checkpoint kinase ATR during genotoxic stress.
Greenberg RA, Sobhian B, Pathania S, Cantor SB, Nakatani Y, Livingston DM
Genes & development 2006 Jan 1;20(1):34-46
Genes & development 2006 Jan 1;20(1):34-46
Chk2 phosphorylation of BRCA1 regulates DNA double-strand break repair.
Zhang J, Willers H, Feng Z, Ghosh JC, Kim S, Weaver DT, Chung JH, Powell SN, Xia F
Molecular and cellular biology 2004 Jan;24(2):708-18
Molecular and cellular biology 2004 Jan;24(2):708-18
BRCA1 is required for common-fragile-site stability via its G2/M checkpoint function.
Arlt MF, Xu B, Durkin SG, Casper AM, Kastan MB, Glover TW
Molecular and cellular biology 2004 Aug;24(15):6701-9
Molecular and cellular biology 2004 Aug;24(15):6701-9
Involvement of the cohesin protein, Smc1, in Atm-dependent and independent responses to DNA damage.
Kim ST, Xu B, Kastan MB
Genes & development 2002 Mar 1;16(5):560-70
Genes & development 2002 Mar 1;16(5):560-70
Functional interactions between BRCA1 and the checkpoint kinase ATR during genotoxic stress.
Tibbetts RS, Cortez D, Brumbaugh KM, Scully R, Livingston D, Elledge SJ, Abraham RT
Genes & development 2000 Dec 1;14(23):2989-3002
Genes & development 2000 Dec 1;14(23):2989-3002
No comments: Submit comment
Supportive validation
- Submitted by
- Abnova Corporation (provider)
- Main image

- Experimental details
- Western blot analysis of extracts from K-562 cells untreated or treated with IFN-a (1000 U/mL, 18 hours), using EIF2S1 polyclonal antibody (Cat # PAB18469).Peptide "+" means "peptide blocking".
Supportive validation
- Submitted by
- Abnova Corporation (provider)
- Main image

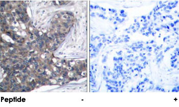
- Experimental details
- Immunohistochemical analysis of paraffin-embedded human breast carcinoma tissue using EIF2S1 polyclonal antibody (Cat # PAB18469).Peptide "+" means "peptide blocking".
- Validation comment
- Immunohistochemistry (Formalin/PFA-fixed paraffin-embedded sections)