Antibody data
- Antibody Data
- Antigen structure
- References [0]
- Comments [0]
- Validations
- Western blot [1]
- Immunocytochemistry [1]
- Immunohistochemistry [1]
Submit
Validation data
Reference
Comment
Report error
- Product number
- AP02522PU-S - Provider product page

- Provider
- Acris Antibodies GmbH
- Proper citation
- Acris Antibodies GmbH Cat#AP02522PU-S, RRID:AB_1615162
- Product name
- anti EIF2A / EIF2S1 pSer51
- Antibody type
- Polyclonal
- Antigen
- Synthetic phosphopeptide derived from Human eIF2A around the phosphorylation site of Serine 51 (E-L-SP-R-R).
- Reactivity
- Human, Mouse, Rat
- Host
- Rabbit
- Vial size
- 50 µl
- Concentration
- 1.0 mg/ml
No comments: Submit comment
Supportive validation
- Submitted by
- Acris Antibodies GmbH (provider)
- Main image

- Experimental details
- Western blot analysis of extracts from K562 cells untreated (Lane 1) or treated with IFN-alpha (Lane 2) using AP02522PU elF2A antibody pSer51
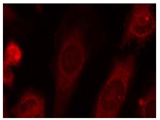
Supportive validation
- Submitted by
- Acris Antibodies GmbH (provider)
- Main image

- Experimental details
- Immunofluorescence staining of methanol-fixed HeLa cells using AP02522PU eIF2A antibody pSer51
Supportive validation
- Submitted by
- Acris Antibodies GmbH (provider)
- Main image

- Experimental details
- Immunohistochemical analysis of Paraffin-Embedded Human breast carcinoma tissue using AP02522PU eIF2A antibody pSer51