NBP2-01764
antibody from Novus Biologicals
Targeting: RUVBL2
ECP51, INO80J, Reptin52, RVB2, TIH2, TIP48, TIP49b
Antibody data
- Antibody Data
- Antigen structure
- References [0]
- Comments [0]
- Validations
- Western blot [4]
- Immunohistochemistry [4]
- Flow cytometry [1]
Submit
Validation data
Reference
Comment
Report error
- Product number
- NBP2-01764 - Provider product page

- Provider
- Novus Biologicals
- Product name
- Mouse Monoclonal RUVBL2 Antibody
- Antibody type
- Monoclonal
- Description
- Affinity purified.
- Reactivity
- Human, Mouse, Rat, Canine, Simian
- Host
- Mouse
- Isotype
- IgG
- Vial size
- 0.1 ml
- Concentration
- 0.6 mg/ml
- Storage
- Store at -20C. Avoid freeze-thaw cycles.
No comments: Submit comment
Supportive validation
- Submitted by
- Novus Biologicals (provider)
- Main image

- Experimental details
- Western Blot: RUVBL2 Antibody (1A6) [NBP2-01764] - HEK293T cells were transfected with the pCMV6-ENTRY control (Left lane) or pCMV6-ENTRY RUVBL2 (Right lane) cDNA for 48 hrs and lysed. Equivalent amounts of cell lysates (5 ug per lane) were separated by SDS-PAGE and immunoblotted with anti-RUVBL2.
- Submitted by
- Novus Biologicals (provider)
- Main image

- Experimental details
- Western Blot: RUVBL2 Antibody (1A6) [NBP2-01764] Analysis of extracts (35ug) from 9 different cell lines by using anti-RUVBL2 monoclonal antibody.
- Submitted by
- Novus Biologicals (provider)
- Main image

- Experimental details
- Western Blot: RUVBL2 Antibody (1A6) [NBP2-01764] - Analysis of extracts (10ug) from 9 Human tissue by using anti-RUVBL2 monoclonal antibody at 1:200 (1: Testis; 2: Omentum; 3: Uterus; 4: Breast; 5: Brain; 6: Liver; 7: Ovary; 8: Thyroid gland; 9: colon).
- Submitted by
- Novus Biologicals (provider)
- Main image

- Experimental details
- Western Blot: RUVBL2 Antibody (1A6) [NBP2-01764] - Analysis of extracts (10ug) from a mouse cell line and 3 different mouse tissues by using antiRUVBL2 monoclonal antibody.(1:200)
Supportive validation
- Submitted by
- Novus Biologicals (provider)
- Main image

- Experimental details
- Immunohistochemistry-Paraffin: RUVBL2 Antibody (1A6) [NBP2-01764] - Staining of paraffin-embedded Adenocarcinoma of Human endometrium tissue using anti-RUVBL2 mouse monoclonal antibody.
- Submitted by
- Novus Biologicals (provider)
- Main image

- Experimental details
- Immunohistochemistry-Paraffin: RUVBL2 Antibody (1A6) [NBP2-01764] - Staining of paraffin-embedded Carcinoma of Human bladder tissue using anti-RUVBL2 mouse monoclonal antibody.
- Submitted by
- Novus Biologicals (provider)
- Main image

- Experimental details
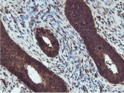
- Immunohistochemistry-Paraffin: RUVBL2 Antibody (1A6) [NBP2-01764] - Staining of paraffin-embedded Human endometrium tissue using anti-RUVBL2 mouse monoclonal antibody.
- Submitted by
- Novus Biologicals (provider)
- Main image

- Experimental details
- Immunohistochemistry-Paraffin: RUVBL2 Antibody (1A6) [NBP2-01764] - Staining of paraffin-embedded Human tonsil using anti-RUVBL2 mouse monoclonal antibody.
Supportive validation
- Submitted by
- Novus Biologicals (provider)
- Main image

- Experimental details
- Flow Cytometry: RUVBL2 Antibody (1A6) [NBP2-01764] - HEK293T cells transfected with either overexpression plasmid (Red) or empty vector control plasmid (Blue) were immunostained by anti-RUVBL2 antibody, and then analyzed by flow cytometry.