PA5-114508
antibody from Invitrogen Antibodies
Targeting: P4HB
DSI, ERBA2L, GIT, P4Hbeta, PDI, PDIA1, PO4DB, PO4HB, PROHB
Antibody data
- Antibody Data
- Antigen structure
- References [0]
- Comments [0]
- Validations
- Western blot [1]
- Immunohistochemistry [4]
Submit
Validation data
Reference
Comment
Report error
- Product number
- PA5-114508 - Provider product page

- Provider
- Invitrogen Antibodies
- Product name
- PDI Polyclonal Antibody
- Antibody type
- Polyclonal
- Antigen
- Synthetic peptide
- Description
- Positive controls that may be used include: Rat Small Intestine Tissue Lysate
- Reactivity
- Human, Mouse, Rat
- Host
- Rabbit
- Isotype
- IgG
- Vial size
- 100 μg
- Concentration
- 1 mg/mL
- Storage
- Store at 4°C short term. For long term storage, store at -20°C, avoiding freeze/thaw cycles.
No comments: Submit comment
Supportive validation
- Submitted by
- Invitrogen Antibodies (provider)
- Main image

- Experimental details
- Western Blot analysis of PDIA1 in rat small intestine tissue lysate with PDI Polyclonal Antibody (Product # PA5-114508) at (A) 1 and (B) 2 µg/mL.
Supportive validation
- Submitted by
- Invitrogen Antibodies (provider)
- Main image

- Experimental details
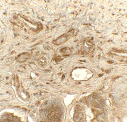
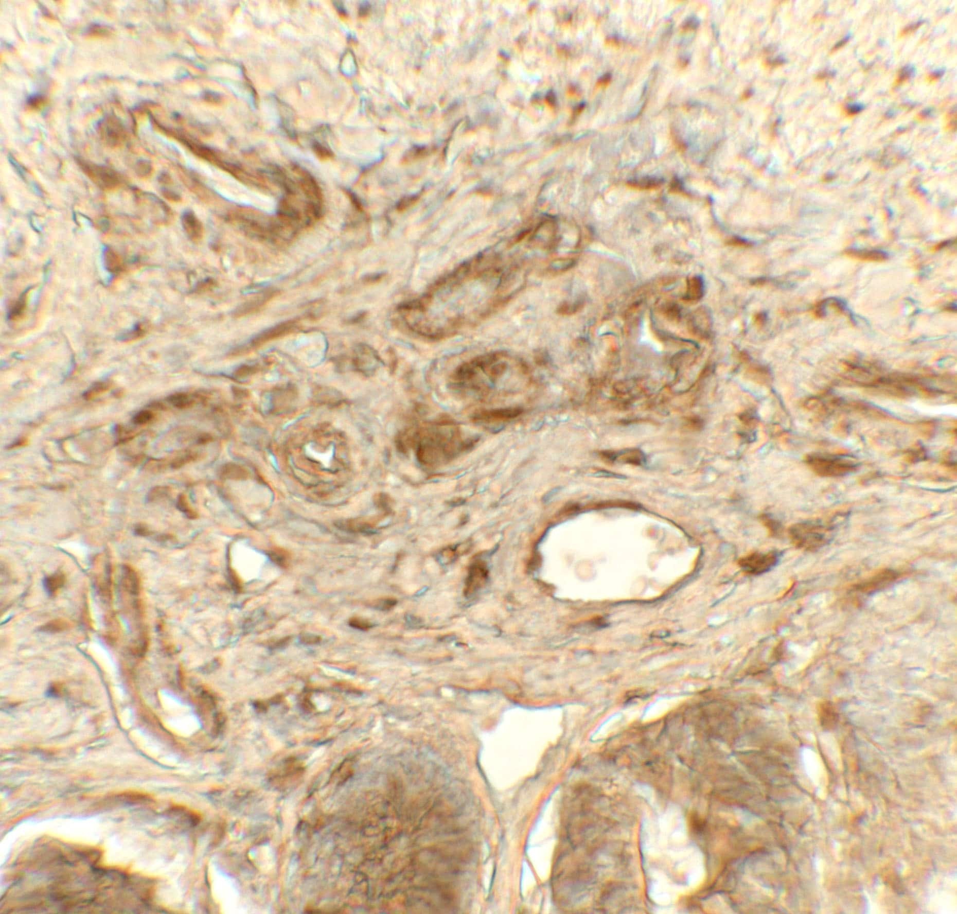
- Immunohistochemistry of PDIA1 in rat small intestine tissue with PDI Polyclonal Antibody (Product # PA5-114508) at 5 µg/mL.
- Submitted by
- Invitrogen Antibodies (provider)
- Main image

- Experimental details
- Immunofluorescence of PDIA1 in rat small intestine tissue with PDI Polyclonal Antibody (Product # PA5-114508) at 20 µg/mL.
- Submitted by
- Invitrogen Antibodies (provider)
- Main image

- Experimental details
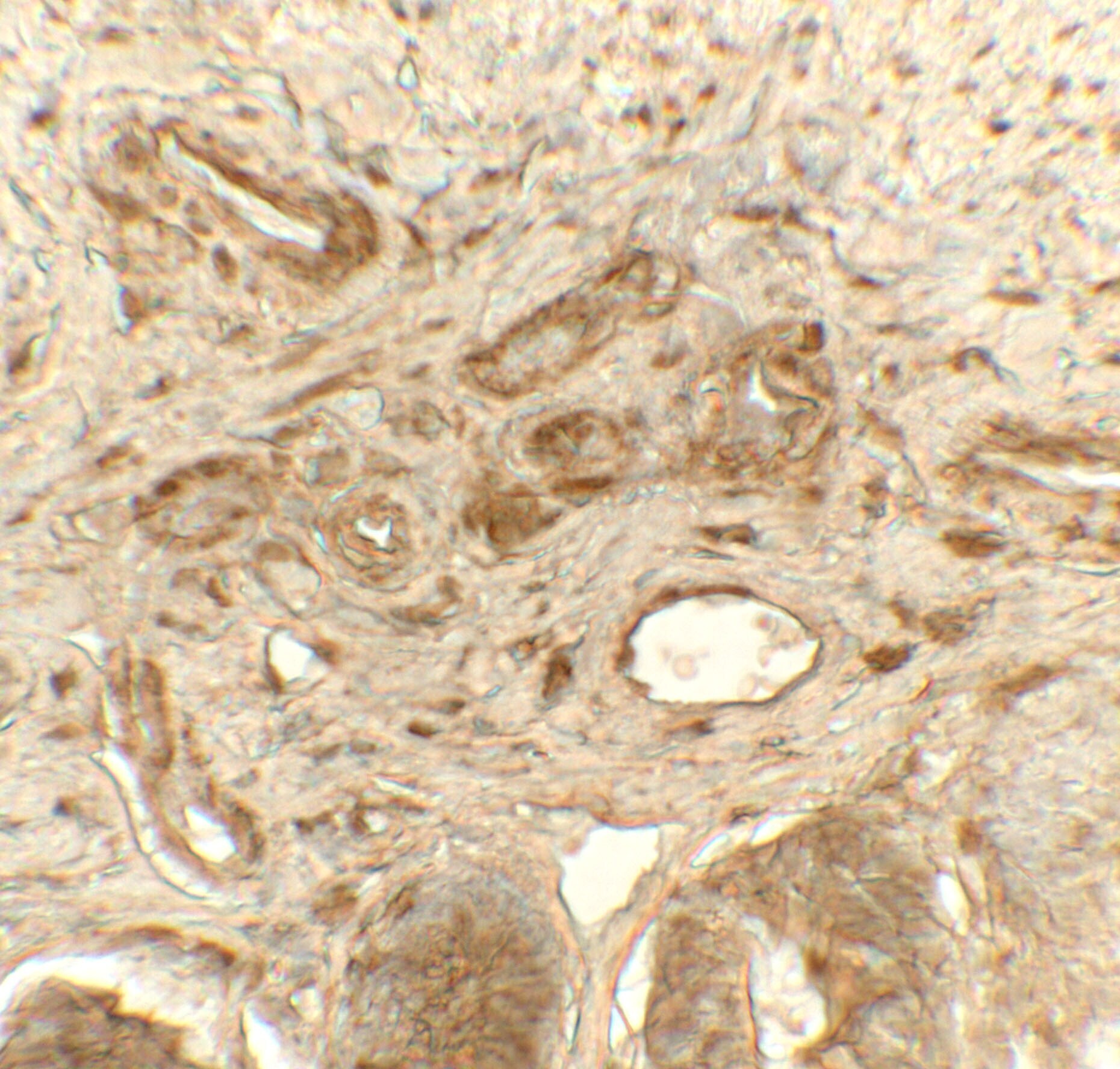
- Immunohistochemistry of PDIA1 in rat small intestine tissue with PDI Polyclonal Antibody (Product # PA5-114508) at 5 µg/mL.
- Submitted by
- Invitrogen Antibodies (provider)
- Main image

- Experimental details
- Immunofluorescence of PDIA1 in rat small intestine tissue with PDI Polyclonal Antibody (Product # PA5-114508) at 20 µg/mL.