ADI-SPA-890-D
antibody from Enzo Life Sciences
Targeting: P4HB
DSI, ERBA2L, GIT, P4Hbeta, PDI, PDIA1, PO4DB, PO4HB, PROHB
Antibody data
- Antibody Data
- Antigen structure
- References [13]
- Comments [0]
- Validations
- Immunocytochemistry [2]
Submit
Validation data
Reference
Comment
Report error
- Product number
- ADI-SPA-890-D - Provider product page

- Provider
- Enzo Life Sciences
- Proper citation
- Enzo Life Sciences Cat#ADI-SPA-890-D, RRID:AB_2039452
- Product name
- PDI, pAb
- Antibody type
- Polyclonal
- Antigen
- Purifed from natural sources
- Description
- Protein A affinity purified. Liquid. In PBS containing 50% glycerol and 0.09% sodium azide.
Submitted references On the role of protein disulfide isomerase in the retrograde cell transport of secreted phospholipases A2.
Insufficient glucose supply is linked to hypothermia upon cold exposure in high-fat diet-fed mice lacking PEMT.
Characterization and mechanism of stress-induced translocation of 78-kilodalton glucose-regulated protein (GRP78) to the cell surface.
Impaired ERAD and ER stress are early and specific events in polyglutamine toxicity.
Membrane topography of human phosphatidylethanolamine N-methyltransferase.
Upstream of growth and differentiation factor 1 (uog1), a mammalian homolog of the yeast longevity assurance gene 1 (LAG1), regulates N-stearoyl-sphinganine (C18-(dihydro)ceramide) synthesis in a fumonisin B1-independent manner in mammalian cells.
Conserved furin cleavage site not essential for secretion and integration of ZP3 into the extracellular egg coat of transgenic mice.
Maturation of lipoprotein lipase in the endoplasmic reticulum. Concurrent formation of functional dimers and inactive aggregates.
Partitioning of the matrix fraction of the Golgi apparatus during mitosis in animal cells.
Trafficking of lysosomal cathepsin B-green fluorescent protein to the surface of thyroid epithelial cells involves the endosomal/lysosomal compartment.
Type Ialpha phosphatidylinositol 4-phosphate 5-kinase is a putative target for increased intracellular phosphatidic acid.
Protein-disulfide isomerase (PDI) in FRTL5 cells. pH-dependent thyroglobulin/PDI interactions determine a novel PDI function in the post-endoplasmic reticulum of thyrocytes.
Specificity in substrate binding by protein folding catalysts: tyrosine and tryptophan residues are the recognition motifs for the binding of peptides to the pancreas-specific protein disulfide isomerase PDIp.
Oberčkal J, Kovačič L, Šribar J, Leonardi A, Dolinar K, Pucer Janež A, Križaj I
PloS one 2015;10(3):e0120692
PloS one 2015;10(3):e0120692
Insufficient glucose supply is linked to hypothermia upon cold exposure in high-fat diet-fed mice lacking PEMT.
Gao X, van der Veen JN, Fernandez-Patron C, Vance JE, Vance DE, Jacobs RL
Journal of lipid research 2015 Sep;56(9):1701-10
Journal of lipid research 2015 Sep;56(9):1701-10
Characterization and mechanism of stress-induced translocation of 78-kilodalton glucose-regulated protein (GRP78) to the cell surface.
Tsai YL, Zhang Y, Tseng CC, Stanciauskas R, Pinaud F, Lee AS
The Journal of biological chemistry 2015 Mar 27;290(13):8049-64
The Journal of biological chemistry 2015 Mar 27;290(13):8049-64
Impaired ERAD and ER stress are early and specific events in polyglutamine toxicity.
Duennwald ML, Lindquist S
Genes & development 2008 Dec 1;22(23):3308-19
Genes & development 2008 Dec 1;22(23):3308-19
Membrane topography of human phosphatidylethanolamine N-methyltransferase.
Shields DJ, Lehner R, Agellon LB, Vance DE
The Journal of biological chemistry 2003 Jan 31;278(5):2956-62
The Journal of biological chemistry 2003 Jan 31;278(5):2956-62
Upstream of growth and differentiation factor 1 (uog1), a mammalian homolog of the yeast longevity assurance gene 1 (LAG1), regulates N-stearoyl-sphinganine (C18-(dihydro)ceramide) synthesis in a fumonisin B1-independent manner in mammalian cells.
Venkataraman K, Riebeling C, Bodennec J, Riezman H, Allegood JC, Sullards MC, Merrill AH Jr, Futerman AH
The Journal of biological chemistry 2002 Sep 20;277(38):35642-9
The Journal of biological chemistry 2002 Sep 20;277(38):35642-9
Conserved furin cleavage site not essential for secretion and integration of ZP3 into the extracellular egg coat of transgenic mice.
Zhao M, Gold L, Ginsberg AM, Liang LF, Dean J
Molecular and cellular biology 2002 May;22(9):3111-20
Molecular and cellular biology 2002 May;22(9):3111-20
Maturation of lipoprotein lipase in the endoplasmic reticulum. Concurrent formation of functional dimers and inactive aggregates.
Ben-Zeev O, Mao HZ, Doolittle MH
The Journal of biological chemistry 2002 Mar 22;277(12):10727-38
The Journal of biological chemistry 2002 Mar 22;277(12):10727-38
Partitioning of the matrix fraction of the Golgi apparatus during mitosis in animal cells.
Seemann J, Pypaert M, Taguchi T, Malsam J, Warren G
Science (New York, N.Y.) 2002 Feb 1;295(5556):848-51
Science (New York, N.Y.) 2002 Feb 1;295(5556):848-51
Trafficking of lysosomal cathepsin B-green fluorescent protein to the surface of thyroid epithelial cells involves the endosomal/lysosomal compartment.
Linke M, Herzog V, Brix K
Journal of cell science 2002 Dec 15;115(Pt 24):4877-89
Journal of cell science 2002 Dec 15;115(Pt 24):4877-89
Type Ialpha phosphatidylinositol 4-phosphate 5-kinase is a putative target for increased intracellular phosphatidic acid.
Jones DR, Sanjuan MA, Mérida I
FEBS letters 2000 Jul 7;476(3):160-5
FEBS letters 2000 Jul 7;476(3):160-5
Protein-disulfide isomerase (PDI) in FRTL5 cells. pH-dependent thyroglobulin/PDI interactions determine a novel PDI function in the post-endoplasmic reticulum of thyrocytes.
Mezghrani A, Courageot J, Mani JC, Pugniere M, Bastiani P, Miquelis R
The Journal of biological chemistry 2000 Jan 21;275(3):1920-9
The Journal of biological chemistry 2000 Jan 21;275(3):1920-9
Specificity in substrate binding by protein folding catalysts: tyrosine and tryptophan residues are the recognition motifs for the binding of peptides to the pancreas-specific protein disulfide isomerase PDIp.
Ruddock LW, Freedman RB, Klappa P
Protein science : a publication of the Protein Society 2000 Apr;9(4):758-64
Protein science : a publication of the Protein Society 2000 Apr;9(4):758-64
No comments: Submit comment
Supportive validation
- Submitted by
- Enzo Life Sciences (provider)
- Main image

- Experimental details
- Western Blot Analysis of PDI: Lane 1: MWM, Lane 2: PDI (human), (recombinant) (His-tag) (Prod. No.ADI-SPP-891), Lane 3: HeLa, (cell lysate) (Prod. No.ADI-LYC-HL100), Lane 4: Rat Testis Tissue Lysate, Lane 5: Mouse Spleen Tissue Lysate.
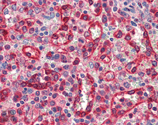
- Submitted by
- Enzo Life Sciences (provider)
- Main image

- Experimental details
- Immunohistochemistry analysis of human spleen tissue stained with PDI, pAb at 10µg/ml.