Antibody data
- Antibody Data
- Antigen structure
- References [0]
- Comments [0]
- Validations
- Western blot [1]
- Immunohistochemistry [6]
Submit
Validation data
Reference
Comment
Report error
- Product number
- LS-C175455 - Provider product page 
- Provider
- LSBio
- Product name
- MGMT Antibody (clone OTI1B12) LS-C175455
- Antibody type
- Monoclonal
- Description
- Protein A/G purified
- Reactivity
- Human
- Host
- Mouse
- Isotype
- IgG
- Antibody clone number
- OTI1B12
- Storage
- Store at -20°C. Avoid freeze-thaw cycles.
				No comments: Submit comment	
	
			
							
					Enhanced validation
					
									
				
				- Submitted by
- LSBio (provider)
- Enhanced method
- Genetic validation
- Main image
 
- Experimental details
- HEK293T cells were transfected with the pCMV6-ENTRY control (Left lane) or pCMV6-ENTRY MGMT (Right lane) cDNA for 48 hrs and lysed. Equivalent amounts of cell lysates (5 ug per lane) were separated by SDS-PAGE and immunoblotted with anti-MGMT.
							
					Supportive validation
					
									
				
		- Submitted by
- LSBio (provider)
- Enhanced method
- Genetic validation
- Main image
 
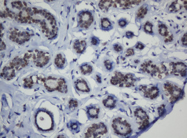
- Experimental details
- IHC of paraffin-embedded Human breast tissue using anti-MGMT mouse monoclonal antibody.
- Submitted by
- LSBio (provider)
- Enhanced method
- Genetic validation
- Main image
 
- Experimental details
- IHC of paraffin-embedded Human thyroid tissue using anti-MGMT mouse monoclonal antibody.
- Submitted by
- LSBio (provider)
- Enhanced method
- Genetic validation
- Main image
 
- Experimental details
- IHC of paraffin-embedded Adenocarcinoma of Human ovary tissue using anti-MGMT mouse monoclonal antibody.
- Submitted by
- LSBio (provider)
- Enhanced method
- Genetic validation
- Main image
 
- Experimental details
- IHC of paraffin-embedded Human thyroid tissue using anti-MGMT mouse monoclonal antibody.
- Submitted by
- LSBio (provider)
- Main image
 
- Experimental details
- IHC of paraffin-embedded Adenocarcinoma of Human ovary tissue using anti-MGMT mouse monoclonal antibody.
- Submitted by
- LSBio (provider)
- Main image
 
- Experimental details
- IHC of paraffin-embedded Human thyroid tissue using anti-MGMT mouse monoclonal antibody.