Antibody data
- Antibody Data
- Antigen structure
- References [1]
- Comments [0]
- Validations
- Western blot [4]
- Immunocytochemistry [1]
- Immunoprecipitation [1]
- Immunohistochemistry [2]
Submit
Validation data
Reference
Comment
Report error
- Product number
- H00026227-M01 - Provider product page

- Provider
- Abnova Corporation
- Proper citation
- Abnova Corporation Cat#H00026227-M01, RRID:AB_425928
- Product name
- PHGDH monoclonal antibody (M01), clone 4A3-1D6
- Antibody type
- Monoclonal
- Description
- Mouse monoclonal antibody raised against a full length recombinant PHGDH.
- Antigen sequence
MAFANLRKVLISDSLDPCCRKILQDGGLQVVEKQN
LSKEELIAELQDCEGLIVRSATKVTADVINAAEKL
QVVGRAGTGVDNVDLEAATRKGILVMNTPNGNSLS
AAELTCGMIMCLARQIPQATASMKDGKWERKKFMG
TELNGKTLGILGLGRIGREVATRMQSFGMKTIGYD
PIISPEVSASFGVQQLPLEEIWPLCDFITVHTPLL
PSTTGLLNDNTFAQCKKGVRVVNCARGGIVDEGAL
LRALQSGQCAGAALDVFTEEPPRDRALVDHENVIS
CPHLGASTKEAQSRCGEEIAVQFVDMVKGKSLTGV
VNAQALTSAFSPHTKPWIGLAEALGTLMRAWAGSP
KGTIQVITQGTSLKNAGNCLSPAVIVGLLKEASKQ
ADVNLVNAKLLVKEAGLNVTTSHSPAAPGEQGFGE
CLLAVALAGAPYQAVGLVQGTTPVLQGLNGAVFRP
EVPLRRDLPLLLFRTQTSDPAMLPTMIGLLAEAGV
RLLSYQTSLVSDGETWHVMGISSLLPSLEAWKQHV
TEAFQFHF- Isotype
- IgG
- Antibody clone number
- 4A3-1D6
- Storage
- Store at -20°C or lower. Aliquot to avoid repeated freezing and thawing.
Submitted references Enhanced serine production by bone metastatic breast cancer cells stimulates osteoclastogenesis.
Pollari S, Käkönen SM, Edgren H, Wolf M, Kohonen P, Sara H, Guise T, Nees M, Kallioniemi O
Breast cancer research and treatment 2011 Jan;125(2):421-30
Breast cancer research and treatment 2011 Jan;125(2):421-30
No comments: Submit comment
Supportive validation
- Submitted by
- Abnova Corporation (provider)
- Main image

- Experimental details
- PHGDH monoclonal antibody (M01), clone 4A3-1D6. Western Blot analysis of PHGDH expression in human liver.
- Submitted by
- Abnova Corporation (provider)
- Main image

- Experimental details
- PHGDH monoclonal antibody (M01), clone 4A3-1D6 Western Blot analysis of PHGDH expression in Jurkat ( Cat # L017V1 ).
- Submitted by
- Abnova Corporation (provider)
- Main image

- Experimental details
- PHGDH monoclonal antibody (M01), clone 4A3-1D6. Western Blot analysis of PHGDH expression in A-431 ( Cat # L015V1 ).
- Submitted by
- Abnova Corporation (provider)
- Main image

- Experimental details
- Western Blot analysis of PHGDH expression in transfected 293T cell line by PHGDH monoclonal antibody (M01), clone 4A3-1D6.Lane 1: PHGDH transfected lysate(56.7 KDa).Lane 2: Non-transfected lysate.
Supportive validation
- Submitted by
- Abnova Corporation (provider)
- Main image

- Experimental details
- Immunofluorescence of monoclonal antibody to PHGDH on HeLa cell. [antibody concentration 1 ~ 10 ug/ml]
- Validation comment
- Immunofluorescence
- Protocol
- Protocol
Supportive validation
- Submitted by
- Abnova Corporation (provider)
- Main image

- Experimental details
- Immunoprecipitation of PHGDH transfected lysate using anti-PHGDH monoclonal antibody and Protein A Magnetic Bead (U0007), and immunoblotted with PHGDH MaxPab rabbit polyclonal antibody.
- Validation comment
- Immunoprecipitation
- Protocol
- Protocol
Supportive validation
- Submitted by
- Abnova Corporation (provider)
- Main image

- Experimental details
- Immunoperoxidase of monoclonal antibody to PHGDH on formalin-fixed paraffin-embedded human lymph node. [antibody concentration 1 ~ 10 ug/ml]
- Validation comment
- Immunohistochemistry (Formalin/PFA-fixed paraffin-embedded sections)
- Protocol
- Protocol
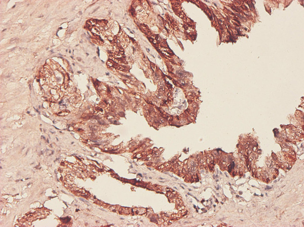
- Submitted by
- Abnova Corporation (provider)
- Main image

- Experimental details
- Immunoperoxidase of monoclonal antibody to PHGDH on formalin-fixed paraffin-embedded human prostate. [antibody concentration 3 ug/ml]
- Validation comment
- Immunohistochemistry (Formalin/PFA-fixed paraffin-embedded sections)
- Protocol
- Protocol